拜博口腔网

  • 舌侧矫正对牙齿咬合的调整效果具体如何?

    舌侧矫正对牙齿咬合的调整效果具体如何?

    舌侧矫正作为一种将托槽和弓丝粘接在牙齿内侧的隐形正畸技术,近年来因兼顾美观与精准性备受关注,尤其在调整牙齿咬合方面展现出独特优势,牙齿咬合是上下颌牙齿在接触时的相对关系,理想的咬合应具备稳定的接触点、均匀的受力分布及协调的咀嚼功能,而咬合不...

    2026-01-22
    41 0 0
  • 正畸口内照片患者角度

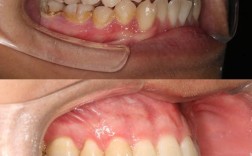
    正畸口内照片患者角度

    正畸治疗中,口内照片是连接患者与医生的重要桥梁,它不仅是医生制定方案、监控进展的专业工具,更是患者直观了解自己牙齿变化、参与治疗决策的关键窗口,从患者角度看,每一次口内照片拍摄,都是一次与自己牙齿“对话”的过程——它让抽象的“牙齿不齐”变得...

    2025-12-20
    199 0 0
  • 下巴翘矫正牙齿能改善下巴形态吗?

    下巴翘矫正牙齿能改善下巴形态吗?

    “下巴翘矫正牙齿”这个说法通常指的是通过矫正牙齿来改善下巴前突(俗称“地包天”或“反颌)的外观,但需要明确一点:矫正牙齿(正畸治疗)的主要目标是排齐牙齿、调整咬合关系、改善口腔功能和健康,而改变下巴形态是附带效果,且效果因人而异,并非所有情...

    2025-10-28
    62 0 0
  • 1 / 1
  • 1