正畸治疗中,口内照片是连接患者与医生的重要桥梁,它不仅是医生制定方案、监控进展的专业工具,更是患者直观了解自己牙齿变化、参与治疗决策的关键窗口,从患者角度看,每一次口内照片拍摄,都是一次与自己牙齿“对话”的过程——它让抽象的“牙齿不齐”变得具体,让漫长的治疗周期变得可感,甚至成为矫正之路上的“成长记录”。
拍口内照片,到底在拍什么?
口内照片并非简单的“牙齿留影”,而是从多个维度记录牙齿的真实状态,对患者而言,了解拍摄内容能帮助自己更好地配合医生,也能在后续对比中清晰看到变化,以下是常见的拍摄部位及患者视角的观察要点:

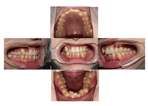
| 拍摄部位 | 患者视角观察要点 | 医生拍摄目的 |
|---|---|---|
| 正面像 | 观察牙齿是否左右对称,中线(门牙缝隙中心线)是否与面部中线对齐,门牙是否有倾斜、扭转,嘴唇放松时露出的牙齿量是否合适。 | 评估牙齿中线对称性、唇齿关系,判断面部美观协调性。 |
| 右侧像 | 聚焦右侧牙齿排列,看后牙是否有“咬不住”或“咬太深”的情况,脸颊内侧是否有溃疡或托槽摩擦痕迹。 | 检查右侧后牙咬合关系(如深覆合、深覆盖),观察口腔软组织健康状况。 |
| 左侧像 | 同右侧像,对比两侧牙齿排列和咬合是否对称,避免出现“一边整齐一边乱”的情况。 | 同右侧像,确保两侧矫正进度一致,避免咬合偏斜。 |
| 上颌咬合像 | 抬头向上看,观察上牙弓形态,牙齿是否有拥挤、稀疏,牙弓是否过窄或过宽,与下牙的覆盖情况。 | 评估上牙弓发育情况,判断是否需要扩弓或调整牙齿位置。 |
| 下颌咬合像 | 低头向下看,观察下牙排列,是否有“地包天”(反颌)或“龅牙”(深覆盖),后牙是否有“错位”咬合。 | 分析下牙弓与上牙弓的匹配度,制定咬合矫正方案。 |
| 牙齿局部像 | 针对特定牙齿(如拔牙后的间隙、移动困难的牙根、龋齿或修复体),拍摄清晰细节。 | 监控关键牙齿的移动进度,处理局部问题(如牙根吸收、托槽脱落)。 |
拍摄时,患者会经历什么?
很多患者第一次拍口内照片时会紧张,担心不适或疼痛,只要掌握技巧,拍摄过程会很顺利。
拍摄前的准备:医生通常会让患者先漱口,清除食物残渣;若有佩戴隐形牙套,需提前摘下;避免拍摄前喝深色饮料(如咖啡、可乐),防止牙齿染色影响照片清晰度。
拍摄中的配合:医生会用口镜、拉钩等工具轻轻拉开嘴唇和脸颊,患者需要保持张口状态(约3-4指宽),头部放松,避免晃动,拍摄时舌头自然放松抵住上颚,不要伸舌或顶住牙齿,以免遮挡视野,初诊患者可能因张口时间稍长(单张照片1-2秒,全套约6-10张)感到脸颊酸胀,或因刺激喉咙产生恶心感,此时可深呼吸,用鼻子代替嘴巴呼吸,医生也会根据情况调整拍摄节奏。
拍摄后的感受:口内照片拍摄无创、无辐射,结束后不会有任何不适,患者可在医生显示器上查看照片,直观看到自己牙齿的“真实面貌”——比如第一次发现某颗牙的“小扭转”,或意识到后牙咬合的“深问题”,这种“具象化”的认知往往比医生的口头描述更让人印象深刻。

这些照片,对患者意味着什么?
口内照片不仅是医生的“工作笔记”,更是患者的“矫正日记”,它的价值贯穿治疗始终:
基准记录:从“看不懂”到“看得见”
初诊时的口内照片是矫正的“起点”,很多患者之前只能通过镜子模糊看到牙齿表面,而照片能清晰暴露牙齿排列、咬合、牙根位置等细节,患者可能以为“只是门牙不齐”,但照片显示后牙存在“锁颌”,这解释了为什么咀嚼总感觉“使不上劲”——这种“顿悟”能帮助患者理解矫正的必要性,更主动配合治疗。
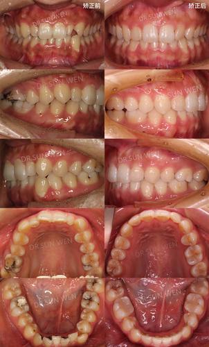
进度跟踪:每一步变化都有“证据”
矫正过程中,每3-6个月会拍摄一次口内照片,对比初诊照片,患者能直观看到牙齿的移动:拥挤的牙齿逐渐排齐,歪斜的门牙慢慢归位,后牙咬合从“错位”到“紧密贴合”,这种“可视化进步”是增强治疗信心的关键,尤其当矫正进入“平台期”(牙齿移动变慢)时,对比照片能提醒患者:看似没变化,其实牙齿正在悄悄“蜕变”。
问题预警:避免“小问题”变“大麻烦”
医生通过定期照片监控,能及时发现潜在问题:比如牙根是否吸收、托槽是否脱落、咬合是否干扰等,患者若在复诊时看到某颗牙的“异常照片”(如牙根变短),会更容易理解医生调整方案的原因(如暂停加力、更换矫正方式),避免因“没感觉”而延误处理。

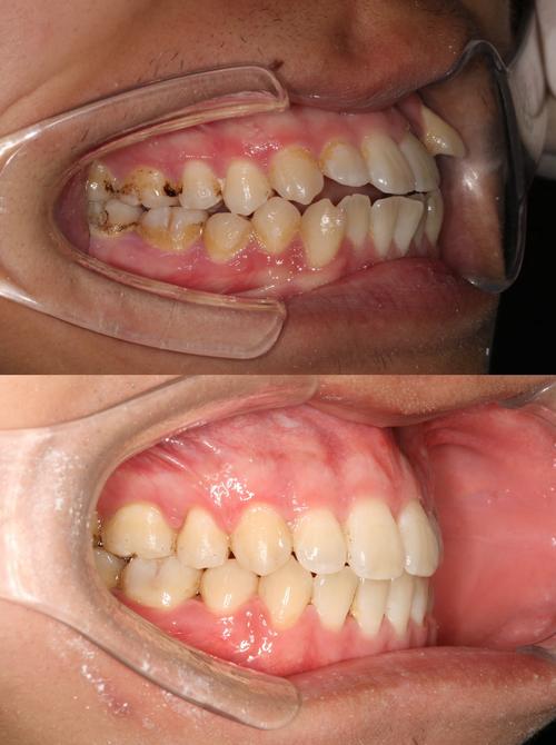
成果纪念:从“不敢笑”到“自信笑”
矫正结束后的口内对比照,是牙齿蜕变的“终极见证”,患者会惊讶于曾经的“乱牙”如何变成整齐的“皓齿”,这种变化不仅是生理上的,更是心理上的——很多人因此敢于露齿大笑,社交自信显著提升,这些照片也成为矫正之路的珍贵纪念,多年后翻看,仍能感受到当初坚持的意义。
患者拍摄时需要注意什么?
为了让照片更清晰、拍摄更顺利,患者可注意以下几点:
- 拍摄前:避免进食有色食物或咀嚼口香糖,保持口腔清洁;若戴隐形牙套,需按医生要求佩戴或摘除。
- 拍摄中:听从医生指令,保持头部稳定,避免突然闭口或伸舌;若感到恶心,可举手示意,医生会暂停调整。
- 拍摄后:若有不适(如牙龈出血、托槽摩擦),及时告知医生;查看照片时,可主动询问医生关注重点(如“这张咬合照片显示什么问题?”),加深对自己牙齿状况的了解。
相关问答FAQs
问题1:正畸口内照片会涉及隐私吗?如何保护?
解答:正规医疗机构会对患者照片严格保密,存储在加密的医疗系统中,仅用于正畸治疗方案的制定、监控和存档,不会外泄或用于其他用途,拍摄时,医生会注意遮挡患者面部非必要区域(如鼻子、眼睛),仅保留口腔部分,患者若仍有顾虑,可在治疗前与医院签署隐私保护协议,明确照片使用范围。
问题2:每次复诊都要拍口内照片,太麻烦了,有必要吗?
解答:非常有必要,口内照片是医生监控牙齿移动、判断矫正效果的核心依据,能发现肉眼不易察觉的细节(如牙根角度微调、咬合干扰早期迹象),及时调整方案避免偏差(如因加力过快导致牙根吸收),对比照片让患者直观看到进步,增强治疗动力,若跳过拍摄,医生可能仅凭口腔检查判断,易遗漏潜在问题,影响最终矫正效果。
