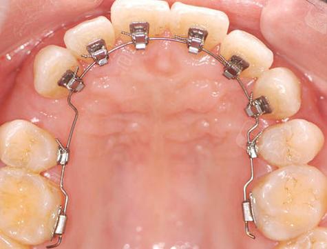
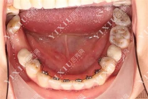
舌侧矫正作为一种将托槽和弓丝粘接在牙齿内侧的隐形正畸技术,近年来因兼顾美观与精准性备受关注,尤其在调整牙齿咬合方面展现出独特优势,牙齿咬合是上下颌牙齿在接触时的相对关系,理想的咬合应具备稳定的接触点、均匀的受力分布及协调的咀嚼功能,而咬合不良(如深覆合、深覆盖、反颌、开颌等)不仅影响面部美观,还可能导致颞下颌关节紊乱、牙齿磨损、消化功能下降等问题,舌侧矫正通过个性化设计和技术优势,可有效重建咬合平衡,其核心在于对牙齿三维移动的精准控制,以及对咬合功能与面部肌肉协调性的综合考量。
舌侧矫正调整咬合的原理,依托于数字化技术与个性化方案设计,与传统唇侧矫正不同,舌侧托槽体积更小、形态更贴合牙齿内表面,需通过口内扫描获取牙齿数据,结合3D打印技术制作个性化托槽和弓丝,医生在设计方案时,会重点分析患者的咬合轨迹、牙尖交错位及下颌运动范围,通过模拟牙齿移动路径,逐步调整牙齿的倾斜度、转矩及垂直高度,最终实现上下牙弓的匹配,针对深覆合(上牙覆盖下牙过多),舌侧矫正可通过压低上前牙或伸长下后牙,改善垂直向咬合关系;对于反颌(“地包天”),则通过内收下前牙或推进上前牙,调整水平向咬合偏差,这种“精准到每颗牙”的控制力,使得咬合调整更符合个体生理功能需求。

与传统唇侧矫正相比,舌侧矫正在咬合调整中具有显著优势,传统矫正的托槽位于唇侧,力量传递易受口腔软组织干扰,且对牙齿转矩的控制精度有限,尤其在复杂咬合问题(如扭转牙、长轴倾斜)的调整中可能出现偏差,而舌侧矫正因托槽粘接在牙齿内侧,远离面部肌肉和唇颊软组织,减少了外力干扰,且通过个性化弓丝的弯制,可实现牙齿在唇舌向、近远中向及垂直向的同步移动,确保咬合接触点的均匀分布,舌侧矫正的数字化设计能提前预测咬合重建后的效果,避免传统矫正中可能出现的“咬合过高”“咬合干扰”等问题,降低颞下颌关节的适应负担。
以下为常见咬合问题及舌侧矫正的调整策略:
| 咬合问题类型 | 临床表现 | 舌侧矫正核心调整策略 |
|-------------------|-----------------------------|-------------------------------------------------|
| 深覆合 | 上前牙切端覆盖下前牙切端>1/3,可能伴随下颌后缩 | 压低上前牙(使用高转矩托槽+垂直曲弓丝),伸长下后牙(配合后牙区颌垫) |
| 深覆盖 | 上前牙切端突出于下前牙切端水平距离≥4mm | 内收上前牙(滑动法或关闭曲法),必要时配合支抗钉增强后牙稳定性 |
| 反颌(地包天) | 下前牙切端位于上前牙切端唇侧,可能为牙性或骨性 | 下前牙唇向移动+上前牙舌向移动,严重骨性反颌需联合正颌手术 |
| 开颌 | 上下牙在牙尖交错位时无垂直接触,前牙或后牙区出现缝隙 | 压低后牙(使用摇椅形弓丝),前牙区垂直牵引,纠正不良习惯(如吐舌) |
舌侧矫正对咬合的调整效果,不仅依赖于技术本身,还需患者的积极配合,由于托槽位于牙齿内侧,初期可能出现发音障碍、舌部不适等问题,需通过适应性训练(如朗读、舌部运动)逐步改善;口腔清洁难度增加,需使用正畸专用牙刷、冲牙器及牙线,避免托槽周围食物残渣堆积,影响牙齿移动和咬合稳定,矫正期间需定期复诊(通常4-6周一次),医生会根据牙齿移动情况调整弓丝力度,确保咬合重建按计划进行。
值得注意的是,舌侧矫正并非适用于所有咬合问题,对于严重骨性畸形、牙齿过度倾斜或口腔空间严重不足的患者,可能需联合传统矫正或正颌治疗,舌侧矫正对医生技术要求较高,需具备扎实的正畸理论和丰富的临床经验,才能精准把握牙齿移动的力学规律,避免咬合调整中出现“过度矫正”或“矫正不足”的情况。

相关问答FAQs
Q1:舌侧矫正调整咬合的时间比传统矫正长吗?
A1:不一定,矫正时间主要取决于咬合问题的复杂程度和牙齿移动速度,简单咬合不良(如轻度深覆盖)与传统矫正时间相近(1-2年);复杂咬合问题(如伴有牙齿严重扭转或骨性因素)可能需要更长时间,但舌侧矫正的精准控制可缩短部分调整周期,且因美观性高,患者配合度通常更高,间接保障了矫正效率。
Q2:舌侧矫正结束后,咬合会反弹吗?如何预防?
A2:任何正畸治疗均存在反弹风险,但舌侧矫正通过精准的咬合重建,可显著降低反弹概率,预防反弹需做到两点:一是严格佩戴保持器(舌侧保持器或透明保持器),通常要求全天佩戴至少6个月,之后夜间长期佩戴;二是纠正不良口腔习惯(如咬唇、吐舌、偏咀嚼),避免异常咬合力对新咬合关系的干扰,定期复查(每3-6个月一次)也有助于及时发现并处理潜在问题。

