拜博口腔网

  • 中老年种牙,这些关键注意事项你get对了吗?

    中老年种牙,这些关键注意事项你get对了吗?

    中老年群体由于年龄增长、口腔卫生习惯或既往牙齿疾病等问题,常出现牙齿缺失情况,种植牙作为目前公认的牙齿缺失修复理想方式,凭借其美观、稳固、咀嚼功能接近天然牙等优势,成为越来越多中老年人的选择,但中老年人群身体机能、口腔条件与年轻人存在差异,...

    2025-12-24
    43 0 0
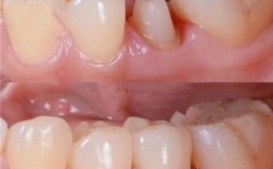
  • 奥齿泰种牙的详细步骤有哪些?每一步要注意什么?

    奥齿泰种牙的详细步骤有哪些?每一步要注意什么?

    奥齿泰种植系统是韩国知名种植体品牌,凭借良好的生物相容性、稳定的初期成功率和较高的性价比,成为临床常用的种植体之一,其种植牙过程需严格遵循口腔医学规范,结合患者口腔实际情况分阶段进行,具体步骤如下:术前准备与全面评估种植牙是精细的口腔外科手...

    2025-12-24
    45 0 0
  • c锉如何正确使用?新手操作步骤与注意事项详解

    c锉如何正确使用?新手操作步骤与注意事项详解

    C锉是一种横截面呈C形的特殊锉刀,主要用于金属、塑料等材料的凹槽修整、圆弧加工、窄缝打磨以及精密模具的细节处理,其独特的C形设计使其能够贴合曲面、内角等复杂表面,在机械制造、模具加工、工艺品制作等领域应用广泛,掌握C锉的正确使用方法,不仅能...

    2025-12-24
    39 0 0
  • 口腔喷砂方法如何操作?步骤与注意事项有哪些?

    口腔喷砂方法如何操作?步骤与注意事项有哪些?

    喷砂方法是口腔医学中一种常用的预防性与治疗性技术,主要通过高压气流将特定的颗粒状物质(喷砂粉)喷射至牙齿表面,利用物理摩擦作用去除色素、菌斑、软垢及牙面粗糙区域,达到清洁、美白、抛光及增强修复体固位效果的目的,该技术因其高效、微创、舒适度高...

    2025-12-24
    52 0 0
  • 基牙预备常用方法有哪些?操作步骤及临床注意事项是什么?

    基牙预备常用方法有哪些?操作步骤及临床注意事项是什么?

    基牙预备是口腔修复治疗中的关键步骤,指根据修复体的类型、材料特性及患者口腔条件,对拟作为修复基础的基牙进行牙体切割,形成特定形态和空间的过程,其核心目的是为修复体提供足够的固位力与抗力,同时保护牙髓、牙周等周围组织,确保修复体长期稳定与功能...

    2025-12-23
    53 0 0
  • 牙齿戴冠的方法有哪些?详细步骤和注意事项是什么?

    牙齿戴冠的方法有哪些?详细步骤和注意事项是什么?

    牙齿戴冠是口腔修复中常见的治疗方式,主要用于恢复牙齿的形态、功能及美观,适用于牙齿大面积缺损、根管治疗后、牙体严重磨损、牙齿变色或形态异常等情况,戴冠过程需严格遵循医疗规范,结合患者口腔状况和需求,分步骤完成,以确保修复效果和长期使用稳定性...

    2025-12-23
    56 0 0
  • 正畸吊扎方法的具体操作步骤、技巧及注意事项是怎样的?

    正畸吊扎方法的具体操作步骤、技巧及注意事项是怎样的?

    正畸吊扎是固定矫治技术中的关键环节,指通过特定材料将弓丝固定于托槽槽沟内,维持弓丝与托槽的紧密贴合,确保矫治力有效传递,引导牙齿按预设方向移动,其操作细节直接影响矫治效率与口腔健康,需结合病例特点、托槽类型及治疗阶段选择合适方法,常用正畸吊...

    2025-12-23
    71 0 0
  • 正畸蜡怎么用?正确使用步骤与注意事项详解?

    正畸蜡怎么用?正确使用步骤与注意事项详解?

    正畸蜡是正畸治疗中常用的辅助工具,主要用于缓解矫治器(如托槽、弓丝、带环等)对口腔黏膜产生的摩擦、压迫刺激,预防或减轻口腔溃疡、疼痛等不适,其材质多为医用级蜂蜡或高分子聚合物,具有无毒、无味、黏性适中、易塑形的特点,能形成物理屏障,保护黏膜...

    2025-12-23
    63 0 0
  • 排龈膏使用方法

    排龈膏使用方法

    排龈膏是牙科修复过程中常用的辅助材料,主要用于在牙体预备后、修复体粘接前,通过物理或化学作用排开牙龈组织,暴露牙体预备边缘,确保修复体边缘密合度,减少微渗漏,提升修复效果及使用寿命,其使用方法需严格遵循规范操作,以确保安全有效,使用前准备患...

    2025-12-23
    51 0 0
  • 如何做美容冠矫正?效果和注意事项有哪些?

    如何做美容冠矫正?效果和注意事项有哪些?

    美容冠矫正方法是一种结合牙齿修复与美学改善的快速牙齿矫正技术,主要通过在牙齿表面制作并佩戴定制化的牙冠(即“美容冠”),解决牙齿缺损、变色、畸形、间隙过大等问题,实现牙齿形态、色泽与功能的同时改善,与传统牙齿矫正(如戴牙套)不同,美容冠无需...

    2025-12-22
    42 0 0