拜博口腔网

  • 植牙是不是不能做 ct

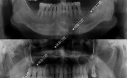
    植牙是不是不能做 ct

    “植牙不能做CT”这一说法是完全错误的,植牙前不仅需要做CT检查,而且CT是植牙术前评估中不可或缺的关键步骤,植牙作为一种精密的外科手术,其成功与否依赖于对口腔内部解剖结构的精确掌握,而CT检查能够提供传统X光片无法比拟的三维影像信息,直接...

    2025-12-28
    46 0 0
  • 种牙前必须拍CT吗?这些检查到底有啥用?

    种牙前必须拍CT吗?这些检查到底有啥用?

    种牙前通常需要拍CT,这是确保种植手术成功、规避风险的关键步骤,虽然部分患者可能认为通过口腔检查或普通X光片即可评估种植条件,但CT的三维成像能提供普通检查无法企及的细节,直接影响种植方案的设计、手术的安全性和远期效果,以下从多个维度详细解...

    2025-12-21
    253 0 0
  • 种牙会影响CT检查结果准确性吗?CT成像又是否会对种牙方案制定产生干扰?

    种牙会影响CT检查结果准确性吗?CT成像又是否会对种牙方案制定产生干扰?

    种牙(种植牙)本身对进行CT检查没有直接影响,但种植体(特别是金属种植体)的存在会影响CT图像的质量,以下是详细解释:种植体对CT图像的主要影响:金属伪影原因:种植牙的种植体(植入牙槽骨的部分)通常由钛合金制成,这是一种高密度的金属材料,...

    2025-12-10
    75 0 0
  • 种植牙要拍ct吗

    种植牙要拍ct吗

    是的,种植牙前通常需要拍摄CT(锥形束CT,CBCT),这几乎是现代种植牙手术的标准流程和必要步骤,为什么种植牙前必须拍CT?主要原因如下:精确评估牙槽骨状况:骨量评估:CT能提供牙槽骨的三维立体图像,精确测量种植区域的骨高度、骨宽度、骨...

    2025-11-26
    56 0 0
  • 种植牙一定要拍CT吗?

    种植牙一定要拍CT吗?

    种植牙强烈建议拍CT,在绝大多数情况下是必要的,而不是“一定要”这个绝对化的词语,但可以说,在现代种植牙的标准流程中,CT检查已成为不可或缺的关键环节,以下是为什么CT对于种植牙如此重要的详细解释:精确评估骨量(高度、宽度、密度):核心问题...

    2025-11-25
    71 0 0
  • 种植牙后不能做ct

    种植牙后不能做ct

    种植牙后通常是可以做CT检查的,尤其是口腔专用的小视野锥形束CT(CBCT),“不能做CT”这个说法是不准确的,甚至可能是有害的误解,以下是详细的解释:📍1.为什么有人认为“不能做CT”?(误解来源)金属伪影:种植体(牙根部分)通常由...

    2025-11-25
    31 0 0
  • 牙齿矫正不做CT,会影响矫正效果吗?

    牙齿矫正不做CT,会影响矫正效果吗?

    牙齿矫正(正畸)是否需要做CT(通常指锥形束CT,CBCT),取决于具体病例的复杂程度、医生的专业判断以及当地医疗规范的要求,对于绝大多数常规的牙齿矫正病例,不做CT是可行的;但对于一些复杂或存在潜在风险的病例,不做CT可能会增加风险或影响...

    2025-11-21
    103 0 0
  • 现在做CT,种植牙会有影响吗?

    现在做CT,种植牙会有影响吗?

    种植牙本身通常不会完全阻止你做CT检查,但它确实可能对CT图像产生一定影响,主要表现为金属伪影,这种影响通常是可控的,并且经验丰富的医生通常能够识别并处理这些伪影,以下是详细的解释:金属伪影的产生原因:种植牙的种植体(植入牙槽骨的部分)通...

    2025-11-07
    73 0 0
  • 最新!本市医保卡做CT能享优惠吗?

    最新!本市医保卡做CT能享优惠吗?

    做CT用市医保卡能省多少钱?2024最新报销政策+使用指南,看完少花冤枉钱!最近总收到后台私信:“最近咳嗽不止,医生建议做肺部CT,用市医保卡能报销吗?要自费多少?”“体检想做CT检查,医保卡能优惠吗?”别急!作为深耕医疗医保政策多年的专...

    2025-11-01
    125 0 0
  • 种植牙拍CT的费用是多少?

    种植牙拍CT的费用是多少?

    种植牙前拍摄CT(通常指锥形束CT,CBCT)的费用因地区、医院/诊所级别、设备型号、是否包含其他服务(如报告解读、方案设计)等因素而异,价格范围大致在300元到1500元人民币之间,以下是影响价格的主要因素和更详细的说明:📍1.设备类...

    2025-10-28
    91 0 0
  • 1 / 2
  • 1
  • 2