拜博口腔网

  • 22岁矫正牙齿晚吗?现在矫正还来得及吗?

    22岁矫正牙齿晚吗?现在矫正还来得及吗?

    22岁矫正牙齿并不晚,很多人误以为矫正牙齿是“青少年的专属”,但实际上牙齿矫正的核心是牙齿移动,而牙齿移动的能力与年龄无绝对关系,关键在于口腔健康状况和个人矫正需求,成年人的颌骨发育虽已停止,但牙齿周围的牙槽骨仍具有改建能力,只要牙周健康,...

    2026-01-20
    1 0 0
  • 南京牙齿矫正要花多少钱?价格受哪些因素影响?

    南京牙齿矫正要花多少钱?价格受哪些因素影响?

    南京牙齿矫正的费用并没有一个固定统一的数字,它会因矫正方式、牙齿复杂程度、医生资质、医院类型等多种因素产生较大差异,整体大致范围在1.5万到8万元不等,为了让大家更清晰地了解具体费用构成和影响因素,下面从多个维度进行详细说明,影响南京牙齿矫...

    2026-01-20
    2 0 0
  • 德国牙齿矫正费用多少?价格受哪些因素影响?

    德国牙齿矫正费用多少?价格受哪些因素影响?

    德国牙齿矫正费用受矫正方式、医生资质、地区差异及病例复杂度等多重因素影响,整体范围较广,需结合具体需求综合判断,以下从主流矫正类型、价格构成、影响因素及支付方式等维度展开分析,帮助全面了解相关成本,主流矫正类型及价格参考德国牙齿矫正技术成熟...

    2026-01-20
    2 0 0
  • 矫正牙齿期间,饮食要注意什么?适合吃的食物有哪些,需要避开的又有哪些?

    矫正牙齿期间,饮食要注意什么?适合吃的食物有哪些,需要避开的又有哪些?

    矫正牙齿期间,合理的饮食不仅能保护矫正装置、避免托槽脱落或弓丝变形,还能为牙齿移动提供充足营养,促进口腔健康,由于矫正器可能会增加食物嵌塞和清洁难度,饮食选择需兼顾“软、易清洁、营养均衡”三大原则,同时避免可能损坏装置或影响矫正效果的食物,...

    2026-01-20
    1 0 0
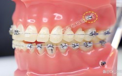
  • 牙齿矫正打骨钉图片能看清哪些关键矫正细节?

    牙齿矫正打骨钉图片能看清哪些关键矫正细节?

    在牙齿矫正过程中,骨钉(又称微种植钉、支抗钉)是一种常见的辅助工具,尤其对于需要复杂牙齿移动或控制支抗的患者而言,它能提供稳定的“锚点”,帮助牙齿按照预设方案精准移动,虽然无法直接展示图片,但通过文字描述结合不同阶段的场景,可以清晰呈现骨钉...

    2026-01-20
    1 0 0
  • 牙齿矫正手术有哪些常见类型?

    牙齿矫正手术有哪些常见类型?

    牙齿矫正并非单一方法,而是涵盖非手术正畸治疗与手术矫正两大类,大众熟知的戴牙套、隐形牙套属于非手术正畸,主要针对牙齿排列问题;而部分因颌骨发育异常、严重牙周问题或牙齿埋伏等情况,则需要通过手术辅助矫正,以达到功能与美学的统一,以下详细介绍常...

    2026-01-20
    1 0 0
  • 株洲牙齿矫正价格表具体包含哪些项目及费用?

    株洲牙齿矫正价格表具体包含哪些项目及费用?

    牙齿矫正是改善口腔健康与面部美观的重要方式,株洲作为湖南省重要城市,牙齿矫正服务需求持续增长,不少市民在选择矫正时,会关注价格问题,但牙齿矫正费用并非固定数值,受多种因素影响,本文将详细解析株洲牙齿矫正的价格构成、不同矫正方式的参考范围及影...

    2026-01-20
    2 0 0
  • 西安小白兔牙齿矫正靠谱吗?效果和价格怎么样?

    西安小白兔牙齿矫正靠谱吗?效果和价格怎么样?

    西安小白兔口腔作为西北地区颇具影响力的连锁口腔机构,在牙齿矫正领域积累了丰富的临床经验和良好的口碑,其凭借专业的医生团队、先进的矫正技术以及规范化的服务流程,成为许多西安市民牙齿矫正的首选,牙齿矫正不仅是改善外观的美学需求,更是关乎口腔健康...

    2026-01-20
    2 0 0
  • 牙齿矫正真的会伤害牙齿吗?

    牙齿矫正真的会伤害牙齿吗?

    牙齿矫正作为一种常见的口腔治疗手段,通过施加持续、轻柔的力引导牙齿移动,最终达到排列整齐、咬合功能良好的目的,由于矫正过程涉及牙齿、牙根、牙槽骨、牙周组织等多结构的改建,若操作不当、护理不足或个体差异影响,确实可能对牙齿及相关组织造成一定伤...

    2026-01-20
    3 0 0
  • 武汉爱齿尔牙齿矫正效果如何?专业度与口碑靠谱吗?

    武汉爱齿尔牙齿矫正效果如何?专业度与口碑靠谱吗?

    武汉爱齿尔作为武汉地区专注于牙齿矫正的专业机构,多年来凭借严谨的诊疗体系、先进的矫正技术以及个性化的服务方案,帮助众多患者解决了牙齿排列不齐、咬合异常等问题,重获健康自信的笑容,牙齿矫正不仅是改善外观的美学需求,更是维护口腔健康的重要手段,...

    2026-01-20
    3 0 0
  • 点击查看更多