拜博口腔网

  • 口腔科印模材调拌方法,如何正确操作步骤与技巧掌握?

    口腔科印模材调拌方法,如何正确操作步骤与技巧掌握?

    📍一、核心原则(适用于所有印模材)严格遵循产品说明书:这是最重要的!不同品牌、不同类型的印模材(甚至同一品牌不同型号)的粉水比、调拌时间、操作时间、温度要求都不同,务必阅读并遵守说明书上的具体要求,精确的粉水比:使用量勺或天量精确称量...

    2025-12-02
    1 0 0
  • 拜博口腔医院的图片能展示哪些诊疗环境与服务细节?

    拜博口腔医院的图片能展示哪些诊疗环境与服务细节?

    高清实景全解析,从环境到案例一文看透!当牙齿问题找上门,选择一家专业、靠谱的口腔医院是关键,很多人在搜索“拜博口腔医院的图片”时,其实是想通过直观的视觉信息了解医院的真实情况——环境是否舒适?设备是否先进?医生团队是否专业?治疗效果是否有保...

    2025-12-02
    1 0 0
  • 两天让牙齿变白的方法

    两天让牙齿变白的方法

    我理解你想在短时间内让牙齿看起来更白的心情!两天时间确实非常紧张,因为牙齿美白(尤其是去除深层色素)通常需要更长时间和专业处理,通过一些临时性、表面性的清洁和护理方法,可以在一定程度上让牙齿看起来更亮、更干净,减少色素沉着带来的暗沉感,为重...

    2025-12-02
    1 0 0
  • 正畸牵引钩如何正确使用?操作步骤与注意事项有哪些?

    正畸牵引钩如何正确使用?操作步骤与注意事项有哪些?

    正畸牵引钩是正畸治疗中常用的一种小型附件,主要用于施加特定的力量来移动牙齿、纠正位置或辅助其他治疗,它的使用需要由专业的正畸医生在诊所内完成,患者通常无法自行操作或调整,以下是正畸牵引钩使用方法的详细说明:适应症(什么时候需要用牵引钩?)...

    2025-12-02
    1 0 0
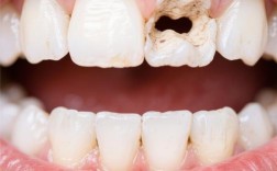
  • 登泰克嵌体泥如何正确使用?

    登泰克嵌体泥如何正确使用?

    以下是登泰克嵌体泥(类似产品)的一般使用方法步骤,请务必在使用前仔细阅读并遵循产品包装内的具体说明书,因为不同产品可能在细节上略有差异,🧰一、准备工作材料与器械准备:登泰克嵌体泥(粉剂/液剂或A糊剂/B糊剂)调拌纸(玻璃板或专用调拌...

    2025-12-02
    1 0 0
  • 颚骨萎缩该选正畸还是种牙?不同情况如何科学抉择?

    颚骨萎缩该选正畸还是种牙?不同情况如何科学抉择?

    这是一个非常重要且复杂的问题,颚骨(牙槽骨)萎缩后选择正畸还是种牙,没有绝对的对错,关键在于具体评估患者的口腔状况、缺牙情况、骨量、全身健康状况以及个人需求和期望,两者各有优缺点,有时甚至需要结合使用,以下是对两种选择的详细分析,帮助你理...

    2025-12-02
    1 0 0
  • 泰康拜博口腔开运店,究竟其是口腔诊所还是开运空间的独特定位呢?

    泰康拜博口腔开运店,究竟其是口腔诊所还是开运空间的独特定位呢?

    专业口腔守护+笑容焕新,解锁你的“开运”密码在追求健康与美丽的当下,口腔健康不仅关乎“吃嘛嘛香”的基本需求,更与个人形象、自信状态乃至“好运气”息息相关——一口整齐洁白的牙齿能让人笑容更舒展,社交更自信,职场更顺遂,作为泰康拜博口腔全国连锁...

    2025-12-02
    1 0 0
  • 北京口腔医院儿童正畸,如何选择适合孩子的矫正方案?

    北京口腔医院儿童正畸,如何选择适合孩子的矫正方案?

    守护孩子笑容的“齿”刻关键,家长必读指南当孩子咧嘴一笑,牙齿歪歪扭扭、排列不齐,或是“地包天”“龅牙”等问题显现,很多家长会陷入焦虑:“孩子多大该开始正畸?北京口腔医院作为权威机构,儿童正畸靠谱吗?过程会不会很痛苦?”作为深耕口腔领域多年的...

    2025-12-02
    1 0 0
  • 上海牙齿正畸价格是多少

    上海牙齿正畸价格是多少

    上海牙齿正畸的价格差异非常大,没有一个固定的“标准答案”,因为它受到多种关键因素的影响,我可以为你提供一个大致的价格范围和影响因素分析,帮助你更好地了解市场行情:📍影响上海牙齿正畸价格的主要因素矫正方式/矫治器类型:这是最核心的影响因素...

    2025-12-02
    3 0 0
  • 拜博口腔健祥旗舰院的服务、技术、环境到底有多好?值得选择吗?

    拜博口腔健祥旗舰院的服务、技术、环境到底有多好?值得选择吗?

    拜博口腔健祥旗舰院2024全攻略:医保报销、特色服务与技术实力解析在口腔健康日益受到重视的今天,选择一家专业、可靠且符合医保政策的口腔机构,成为不少患者就诊前的核心诉求,作为拜博口腔在区域内的标杆院区,拜博口腔健祥旗舰院凭借其强大的专家团队...

    2025-12-02
    2 0 0
  • 点击查看更多