南京作为新一线城市,近年来居民对口腔健康的重视程度显著提升,牙齿矫正已成为许多青少年和成年人的“变美刚需”,无论是龅牙、地包天,还是牙齿拥挤、稀疏,通过专业的牙齿矫正不仅能改善面部轮廓,更能提升咀嚼功能和自信心,在南京,牙齿矫正的选择丰富,但也需要从矫正方式、机构选择、费用预算、流程细节等多个维度综合考量,才能确保矫正效果与体验兼顾。
常见牙齿矫正方式及适用人群
牙齿矫正技术已发展多年,目前主流的矫正方式各有特点,需根据个人口腔状况、美观需求和生活习惯选择。

传统金属托槽矫正
这是最经典、应用最广的矫正方式,通过金属托槽和弓丝施加力量,移动牙齿至理想位置。优点:性价比高,适用范围广(包括复杂错颌畸形),技术成熟;缺点:美观性较差,口腔清洁难度稍高,初期可能有明显异物感。适合人群:青少年、对美观要求不高、预算有限或需复杂矫正的患者。
陶瓷托槽矫正
托槽材质为透明陶瓷,与牙齿颜色接近,远观不易察觉。优点:兼顾美观与强度,矫正效果与金属托槽相当;缺点:价格高于金属托槽,陶瓷材质脆性较大,需避免啃咬硬物。适合人群:对美观有一定要求,但预算有限或需较强矫正力的患者。
自锁托槽矫正
在传统托槽基础上增加“闭锁装置”,减少弓丝与托槽的摩擦力。优点:矫正时间可缩短(约缩短3-6个月),复诊间隔延长(6-8周一次),疼痛感较轻;缺点:价格较高,初期适应期可能有口腔黏膜刺激。适合人群:学业/工作繁忙、希望缩短矫正时间或对疼痛敏感的患者。
隐形矫正
通过一系列透明牙套逐步移动牙齿,可自行摘戴。优点:美观性极佳(几乎隐形),口腔清洁方便,饮食无限制;缺点:价格较高,对患者自律性要求高(需每天佩戴20-22小时),复杂病例矫正效果可能受限。主流品牌:隐适美(Invisalign)、时代天使(Angelalign)、正雅(Smartee)等。适合人群:成年白领、对美观要求高、自律性强且错颌畸形不复杂的患者。

舌侧矫正
将托槽粘贴在牙齿内侧,完全隐形。优点:美观性“天花板”,适合对形象要求极高的患者;缺点:价格昂贵(约10万-15万元),矫正难度大,初期发音影响明显,口腔清洁复杂。适合人群:高收入、对美观极致追求(如演员、主播)且能接受较高技术门槛的患者。
不同矫正方式对比表
| 矫正方式 | 优点 | 缺点 | 参考费用(南京) | 适合人群 |
|---|---|---|---|---|
| 传统金属托槽 | 性价比高,适用范围广 | 美观性差,清洁难度高 | 5万-3万元 | 青少年、预算有限者 |
| 陶瓷托槽 | 美观较好,强度高 | 价格较高,脆性大 | 2万-4万元 | 对美观有要求的中轻度患者 |
| 自锁托槽 | 缩短矫正时间,复诊间隔长 | 价格较高,初期可能有刺激 | 5万-4.5万元 | 时间紧张、对疼痛敏感者 |
| 隐形矫正 完全隐形,清洁方便,饮食自由 | 价格高,自律性要求高 | 3万-8万元(品牌差异大) | 成年人、美观需求高者 | |
| 舌侧矫正 | 美观性最佳,完全隐形 | 价格昂贵,技术难度大,清洁复杂 | 10万-15万元 | 对形象要求极高的高收入群体 |
南京牙齿矫正:如何选择机构与医生?
南京的口腔医疗机构可分为公立医院、连锁私立齿科和本土诊所三类,各有优劣,选择时需综合评估资质、医生技术和售后服务。
公立医院 vs 私立机构
- 公立医院(如江苏省口腔医院、南京市口腔医院):
优势:医生团队专业权威,复杂病例(如骨性错颌、需正颌手术)处理经验丰富,收费透明(无隐形消费);劣势:挂号难(专家号需排队数月),服务体验一般,复诊时间固定,排队时间长。 - 连锁私立齿科(如瑞尔齿科、马泷齿科、拜博口腔):
优势:服务环境好,预约灵活,提供个性化服务(如专属客服、定期回访),引进先进设备(如iTero口扫、3D矫正方案模拟);劣势:价格较高,部分机构可能存在过度推销,医生水平参差不齐(需注意选择连锁品牌的核心门店)。 - 本土诊所:
优势:价格相对亲民,熟悉本地患者需求;劣势:技术和设备可能不如公立医院和连锁机构,医生资质需仔细核实。
医生选择:矫正效果的核心
无论选择哪种机构,医生的技术和经验直接决定矫正效果,建议重点关注:
- 资质:是否为口腔正畸专业硕士/博士毕业,是否有中华口腔医学会正畸专业委员会(COS)认证(如“专科会员”“委员”);
- 案例:要求查看医生过往的相似案例(尤其是与自己错颌类型相似的),观察矫正效果和稳定性;
- 沟通:医生是否能清晰解释矫正方案、风险和预期效果,是否耐心解答疑问(如拔牙必要性、矫正周期等)。
南京牙齿矫正费用构成与影响因素
牙齿矫正费用并非单一数字,需结合矫正方式、病例难度、机构等级和附加治疗综合计算。

费用构成
- 基础费用:包括检查费(取模、拍片)、方案设计费、矫正器费用(托槽/牙套)、复诊费;
- 附加治疗费:若需拔牙(通常拔4颗前磨牙以提供空间)、骨钉(支抗钉)植入、牙周治疗、根管治疗等,会产生额外费用(拔牙约500-1000元/颗,骨钉约1000-3000元/颗);
- 保持器费用:矫正结束后需佩戴保持器(哈雷保持器约1000-2000元,透明保持器约500-1500元/副),部分机构会包含在总费用中,部分需单独购买。
影响费用的关键因素
- 病例难度:简单拥挤排齐费用较低(约1.5万-3万元),骨性畸形、开颌、深覆合等复杂病例可能需正颌手术联合矫正,费用可达10万-20万元;
- 机构等级:公立医院普通医生比私立机构便宜20%-30%,但专家号费用可能接近私立;
- 品牌溢价:隐形矫正中,隐适美价格最高(约5万-8万元),时代天使次之(约3万-5万元),正雅等国产品牌性价比更高(约2万-4万元)。
南京牙齿矫正全流程:从初诊到保持
牙齿矫正通常需1.5-3年,流程可分为以下阶段:
初诊检查(1-2次)
- 挂号选择正畸医生,进行口腔检查(牙齿松动度、龋齿、牙周状况);
- 拍片:曲面断层片(观察全口牙齿、牙根、骨骼)、头颅侧位片(分析骨骼关系、制定矫正方案)、CBCT(复杂病例需用,查看骨量、神经位置);
- 取模:用硅橡胶或口扫设备获取牙齿模型,用于方案设计和后期对比。
方案设计与沟通(1周-2周)
医生根据检查结果制定方案,包括:是否拔牙、矫正方式、预计周期、费用明细;患者需确认方案,若有疑问及时沟通(如拔牙的必要性、对脸型的影响等)。
矫正器安装(1-3小时)
- 传统/陶瓷/自锁托槽:用酸蚀剂清洁牙齿表面,涂抹粘接剂,将托槽粘贴,最后穿入弓丝;
- 隐形矫正:根据方案定制牙套,领取后需按顺序佩戴,每副戴10-14天;
- 舌侧矫正:需在口腔内数字化设计托槽位置,医生手工粘贴,耗时较长(约3-5小时)。
复诊调整(每4-8周一次)
- 托槽矫正:每次复诊医生会调整弓丝力度,更换橡皮圈(关闭间隙、调整咬合);
- 隐形矫正:每1-2个月复诊一次,医生检查牙齿移动情况,领取下一阶段牙套;
- 复诊期间需注意口腔卫生,托槽周围易积攒食物残渣,需使用牙缝刷、冲牙器清洁。
矫正结束与保持器佩戴
- 当牙齿移动至理想位置,拆除托槽/牙套,佩戴保持器;
- 保持器是防止复发的重要步骤,前6个月需全天佩戴(除吃饭、刷牙),之后逐渐过渡到夜间佩戴,建议长期佩戴(至少2年)。
矫正期间的注意事项
- 口腔卫生:托槽矫正者需使用正畸专用牙刷(如U型刷)、牙缝刷,每天至少刷牙3次,配合漱口水,避免牙龈炎、龋齿;
- 饮食调整:避免啃硬物(坚果、螃蟹壳)、黏性食物(口香糖、年糕),托槽矫正者需将食物切成小块,隐形矫正者摘下牙套后才能进食;
- 疼痛管理:初戴矫正器或复诊后3-5天,牙齿可能出现酸胀疼痛,可吃软食(粥、面条),遵医嘱服用止痛药(如布洛芬);
- 紧急情况处理:托槽脱落或弓丝刺嘴,可用正畸蜡覆盖,及时联系医生处理,切勿自行调整。
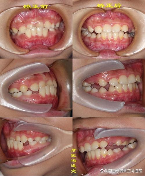
不同人群矫正案例参考
- 青少年案例(14岁,牙齿拥挤+龅牙):选择传统金属自锁托槽,拔除4颗前磨牙,矫正周期2年,结束后牙齿排列整齐,侧貌改善明显,自信心提升;
- 成年案例(28岁,轻度牙齿稀疏):选择时代天使隐形矫正,未拔牙,矫正周期1.5年,牙齿缝隙关闭,笑容更自然,因牙套可摘戴,不影响工作社交。
相关问答FAQs
Q1:南京牙齿矫正一般需要多长时间?
A:矫正时间因人而异,通常为1.5-3年,简单病例(如轻度拥挤)可能1-1.5年,复杂病例(如骨性畸形、需拔牙)可能2-3年,隐形矫正因每副牙套力度固定,时间与传统托槽相近;自锁托槽可缩短3-6个月,保持器佩戴时间至少2年,建议终身夜间佩戴以防复发。
Q2:牙齿矫正过程中会疼吗?如何缓解?
A:矫正过程中疼痛多为“酸胀感”,而非剧烈疼痛,通常出现在初戴矫正器、复诊后3-5天,属于牙齿移动的正常生理反应,缓解方法包括:① 饮食清淡,吃温凉、软质食物(如酸奶、粥);② 避免用患侧咀嚼;③ 遵医嘱服用布洛芬等止痛药;④ 使用正畸蜡(托槽边缘刺激黏膜时用),疼痛一般会逐渐缓解,若持续加剧或出现肿痛,需及时复诊。
