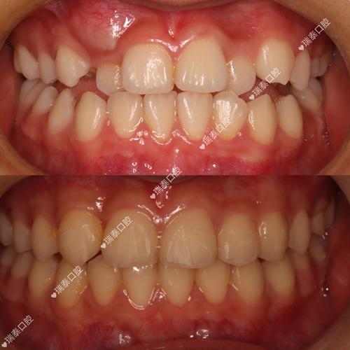
牙齿矫正结束后,原本期待整齐紧密的牙列却出现了缝隙,这种情况确实不少见,也让不少矫正者感到困惑甚至焦虑,矫正后出现缝隙的原因多样,处理方法也需根据具体情况而定,不必过度担忧,但也不能忽视,本文将从缝隙产生的原因、处理方法及预防措施等方面进行详细说明,帮助大家全面了解这一问题。
牙齿矫正后出现缝隙的常见原因
牙齿矫正的核心是通过外力引导牙齿移动到理想位置,而移动过程中及移动结束后,牙齿、牙周组织、咬合关系等仍可能处于动态调整状态,缝隙的出现往往是多种因素共同作用的结果。

矫正设计方案中的“预留空间”
部分矫正案例在设计时就需要预留缝隙,最常见的是拔牙矫正,当牙齿拥挤严重时,医生可能会通过拔除1-2颗牙齿(通常为前磨牙)为剩余牙齿创造移动空间,若矫正过程中拔牙间隙未完全关闭,或医生设计时故意保留少量空间(如下前牙为避免唇倾而预留的代偿性空间),矫正结束后就可能出现缝隙,对于存在“深覆合”“深覆盖”等问题的情况,有时需要通过少量伸长或压低牙齿来调整咬合,也可能在邻牙间形成暂时性缝隙。
牙齿移动过程中的“生理性调整”
矫正结束后,牙齿从移动状态到稳定需要时间,牙槽骨的改建、牙周膜的重建、邻牙接触点的重新适应等都会影响牙齿的最终位置,矫正中牙齿被排齐后,邻牙接触点可能过小,导致牙齿轻微“回弹”或移位,形成微小缝隙;或是咬合干扰导致牙齿在适应过程中出现位置微调,尤其是在咀嚼功能尚未完全恢复前,这种生理性调整较为常见。
牙周组织健康问题
牙周是牙齿的“地基”,若矫正期间或结束后存在牙周炎症(如牙龈炎、牙周炎)、牙槽骨吸收或牙龈萎缩,会导致牙齿支持力不足,出现移位和缝隙,矫正过程中口腔卫生维护不当,牙菌斑堆积引发牙周炎,牙槽骨破坏后牙齿失去稳定,即使矫正结束也可能逐渐出现缝隙;部分患者天生牙龈较薄,矫正过程中牙齿移动易导致牙龈退缩,暴露牙根间隙,形成“黑三角”(即牙齿邻间牙龈缺失导致的三角形缝隙)。
保持器佩戴不当
矫正结束后,牙齿并非完全稳定,牙周组织需要3-6个月甚至更长时间才能充分改建并固定位置,若此时未严格佩戴保持器(如过早减少佩戴时间、完全不戴,或保持器与牙齿不贴合),牙齿在肌肉力量(如唇肌、舌肌)或咬合力作用下可能发生反弹,导致缝隙重现或出现新缝隙,尤其是对于拔牙矫正或原本存在牙齿稀疏的案例,保持器的重要性更为突出。

牙齿本身形态异常
部分牙齿天生形态异常,如牙齿邻面过小、锥形牙(牙齿呈圆锥形,邻面接触点小)、过小牙(牙齿体积明显小于正常牙)等,即使矫正排齐后,因牙齿本身无法完全占据空间,也可能遗留缝隙,若矫正前存在龋齿(蛀牙)或牙齿缺损,未及时修复,矫正后牙齿间也可能因形态不匹配出现缝隙。
牙齿矫正后缝隙的处理方法
缝隙的大小、位置、成因及患者的美观需求,共同决定了处理方式,以下是针对不同情况的常见处理方案,可通过表格对比更清晰:
| 处理方法 | 适用缝隙大小 | 优点 | 缺点 | 注意事项 |
|---|---|---|---|---|
| 观察与保持器调整 | <0.5mm(生理性缝隙) | 无创、无需额外治疗 | 缝隙关闭缓慢,可能不彻底 | 需严格佩戴保持器,定期复查(每3-6个月) |
| 复合树脂修复 | 5-1.5mm | 微创、便捷、费用低、颜色可匹配 | 树脂可能磨损、变色,需定期维护 | 适合前牙区,需磨除少量牙体,需保证口腔卫生 |
| 瓷贴面/全瓷冠 | 1-2mm或前牙美学需求 | 美观、强度高、耐磨、稳定性好 | 需磨除牙体(贴面磨除少,全瓷冠磨除多)、费用较高 | 适合牙体形态异常或对美观要求高者,需保护牙体 |
| 二次正畸治疗 | >2mm或复杂移位情况 | 根治缝隙、可同时调整咬合 | 矫正周期长(3-6个月)、费用较高、需再次佩戴保持器 | 适合矫正设计问题或牙齿严重移位者,需重新设计方案 |
生理性缝隙:观察与保持器干预
对于<0.5mm的微小缝隙,尤其是矫正后3-6个月内出现的,多属于牙齿适应过程中的生理性调整,此时可通过严格保持佩戴保持器(如哈雷保持器、隐形保持器全天佩戴,逐渐过渡到夜间佩戴),利用保持器的轻微加力引导牙齿自行移动,缝隙可能逐渐关闭,若6个月后缝隙仍未消失,可考虑进一步修复。
小缝隙(0.5-1.5mm):复合树脂修复
复合树脂修复是处理小缝隙的常用方法,医生通过磨除牙齿邻面少量牙体,用与牙齿颜色匹配的树脂材料填补缝隙,再雕刻抛光恢复牙齿形态,该方法微创、便捷,费用较低,适合前牙区影响美观的缝隙,但需注意,树脂长期使用可能出现磨损、染色或脱落,需定期检查维护,且修复后需加强口腔卫生,避免树脂边缘继发龋齿。

中等缝隙(1-2mm):瓷贴面或全瓷冠
若缝隙较大或对美观要求较高(如前牙区),瓷贴面或全瓷冠是理想选择,瓷贴面只需磨除牙齿唇侧少量牙体(通常0.5-1mm),用薄瓷层覆盖牙齿表面,既能关闭缝隙,又能改善牙齿颜色、形态;全瓷冠则需磨除更多牙体(通常1.5-2mm),覆盖整个牙冠,适合同时存在牙齿缺损或严重变色的情况,两者均具有美观、强度高、耐磨的优点,但费用较高,且需磨除部分健康牙体,需谨慎选择。
大缝隙(>2mm)或复杂情况:二次正畸治疗
若缝隙较大(如拔牙间隙未完全关闭)、牙齿存在明显移位或咬合异常,可能需要通过二次正畸治疗重新调整牙齿位置,医生会根据具体情况设计矫正方案(如隐形牙套、固定矫正),通过轻力移动牙齿关闭缝隙,同时优化咬合关系,二次矫正周期通常为3-6个月,结束后仍需严格佩戴保持器,防止复发。
如何预防矫正后出现缝隙?
缝隙的预防需贯穿矫正全过程,从方案设计到保持器维护,每个环节都至关重要。
矫正前:全面评估与方案沟通
矫正前需进行全面的口腔检查,包括牙周状况(牙周探诊、牙片评估牙槽骨)、牙齿形态(邻面接触点、牙齿大小)、咬合关系等,与医生充分沟通,若有牙周问题,需先治疗牙周炎,待牙周稳定后再开始矫正;若存在牙齿形态异常,可在矫正前或矫正中通过修复手段(如树脂充填)调整邻面接触点,减少缝隙风险。
矫正中:加强口腔卫生与定期复诊
矫正期间佩戴牙套(如托槽、钢丝)易堆积食物残渣,需加强口腔卫生,使用正畸专用牙刷、牙缝刷、冲牙器等清洁工具,避免牙周炎症,定期复诊(通常4-6周一次),让医生及时调整矫正力度,监控牙齿移动情况,确保拔牙间隙关闭、牙齿排列整齐,避免因移动过快或过慢导致缝隙。
矫正后:严格佩戴保持器与长期维护
矫正结束后是预防缝隙的关键时期,需严格佩戴保持器:前3-6个月全天佩戴(进食、刷牙时取下),之后过渡到夜间长期佩戴(至少1-2年,部分案例需终身佩戴),保持良好的口腔习惯,避免用牙开瓶、咬硬物等,定期进行口腔检查和洗牙(每6个月一次),维护牙周健康,防止牙齿移位。
相关问答FAQs
问题1:矫正后出现缝隙,不处理会自己关上吗?
解答:是否自行关闭取决于缝隙大小和原因。<0.5mm的生理性缝隙,若严格佩戴保持器,部分可通过牙齿自行调整逐渐关闭(通常需3-6个月);但若缝隙>0.5mm,或因牙周问题、保持器佩戴不当导致,通常不会自行关闭,需及时就医处理,否则缝隙可能增大或引发其他问题(如食物嵌塞、牙周炎症)。
问题2:缝隙关闭后,如何防止复发?
解答:缝隙复发的主要原因是牙齿不稳定和牙周支持不足,预防需做到:①终身佩戴保持器(尤其是夜间),即使感觉缝隙关闭后也不可随意停戴;②维护牙周健康,定期洗牙,控制牙菌斑,避免牙周炎;③避免不良习惯(如咬唇、吐舌、夜磨牙等),减少异常咬合力对牙齿的影响;④定期复查(每3-6个月),让医生监控牙齿位置,发现问题及时调整。
