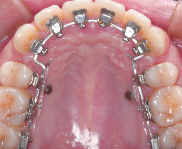
牙齿矫正粘托槽是正畸治疗中的关键步骤,托槽作为牙齿移动的“锚点”,其精准粘接直接影响矫正效果与治疗进程,托槽通常由金属、陶瓷或树脂制成,通过专用粘接剂固定于牙齿唇颊面,与弓丝配合施加力量,引导牙齿按预定方向移动至理想位置,这一过程看似简单,实则需要医生精细操作与患者密切配合,涉及材料选择、技术规范及术后护理等多个环节。
粘托槽前的准备与流程
粘托槽前,医生需完成多项准备工作:首先通过口腔检查、X光片及模型分析,确定牙齿移动方案;其次根据患者牙齿形态、矫正需求(如美观、舒适度)选择托槽类型,例如金属托槽强度高、适用范围广,陶瓷托槽接近牙齿颜色更美观,自锁托槽则可减少摩擦力、缩短复诊间隔,随后进行口腔清洁,用抛光膏去除牙齿表面色素及菌斑,再用棉球隔湿,确保牙齿表面干燥,避免唾液污染影响粘接强度。

粘接时,医生先用酸蚀剂处理牙齿表面(通常为30%-40%磷酸酸蚀30秒),以形成微小孔隙,增强粘接剂与牙齿的机械嵌合力;冲洗吹干后,涂布底剂(如含硅烷偶联剂的树脂底剂),提高粘接剂与牙面的化学结合力;随后将专用粘接剂(多为光固化树脂)涂于托槽底板,精准放置于牙齿预定位置,用探针调整位置后,用光固化灯照射20-40秒使树脂完全固化,最后去除多余粘接剂,检查托槽边缘是否密合、有无悬突,整个过程需在干燥环境下操作,避免唾液或血液污染,否则易导致托槽脱落。
不同材质托槽的优缺点对比
为帮助患者根据自身需求选择,以下为常见托槽类型的对比:
| 托槽类型 | 材质 | 优点 | 缺点 | 适用人群 |
|---|---|---|---|---|
| 金属托槽 | 不锈钢 | 强度高、价格低、粘接牢固 | 美观度差、可能刺激口腔黏膜 | 对价格敏感、需复杂移动的患者 |
| 陶瓷托槽 | 氧化铝/锆陶瓷 | 接近牙齿颜色、美观度高 | 脆性大、易崩瓷、价格较高 | 成年人、对美观要求高的患者 |
| 自锁托槽 | 金属/陶瓷+弹性夹 | 摩擦力小、复诊间隔延长(6-8周)、疼痛感轻 | 结构复杂、价格更高、清洁难度大 | 对舒适度要求高、学业/工作繁忙者 |
粘托槽后的注意事项
托槽粘接完成后,患者需注意以下几点,以保障矫正效果:
- 饮食调整:术后2小时内禁食,24小时内避免食用过硬(如坚果、牛肉干)、过黏(如口香糖、年糕)或高温食物,防止托槽脱落或粘接剂失效,建议以温凉软食为主,细嚼慢咽,避免用前牙啃咬食物(如苹果、玉米)。
- 口腔清洁:托槽周围易存留食物残渣,需使用正畸专用牙刷(小头软毛)、牙线穿引器及冲牙器每日清洁,至少早晚各1次,每次刷牙3分钟,确保托槽边缘无软垢堆积,预防牙龈炎、龋坏。
- 复诊与观察:严格按照医生约定时间复诊(通常4-6周一次),不可擅自延长或缩短间隔,若发现托槽脱落、弓丝刺嘴或口腔溃疡,可用正畸蜡覆盖托槽尖锐处,并及时联系医生处理,避免影响矫正进度。
- 疼痛管理:粘托槽后1-3天可能出现牙齿酸痛、咀嚼无力,属正常现象,可通过进食软食、局部冷敷或遵医嘱服用止痛药缓解;若疼痛持续加重或伴有肿胀,需警惕感染可能,应及时就诊。
常见问题与处理
托槽脱落是粘接后最常见的问题,多因咬硬物、粘接剂未完全固化或口腔咀嚼力量过大导致,若托槽完全脱落,需保存脱落部件,用湿棉球覆盖牙齿表面,避免误吞,并尽快复诊由医生重新粘接;若仅部分脱落,可暂用正畸蜡固定,防止划伤口腔,初期托槽边缘可能摩擦口腔黏膜,引起溃疡,可使用正畸蜡涂抹于托槽对应位置,保护黏膜直至适应。

相关问答FAQs
Q1:粘托槽后多久能正常吃饭?
A:粘托槽后2小时内禁食,此时粘接剂尚未完全固化,进食可能导致托槽移位,24小时内建议吃温凉流质或半流质食物(如粥、酸奶、果泥),避免用患侧咀嚼,24小时后粘接剂完全固化,可恢复正常饮食,但仍需避免过硬、过黏食物,防止托槽脱落。
Q2:托槽脱落了需要立即处理吗?
A:托槽脱落需尽快处理,一般建议在1周内复诊,若脱落的是个别托槽且弓丝未移位,可暂时用正畸蜡覆盖,避免刺激口腔;若多个托槽脱落或弓丝变形,牙齿可能偏离预期位置,延长矫正时间,需及时就医由医生评估并重新粘接,切勿自行处理或拖延。

