牙齿矫正后,原本整齐的牙齿逐渐出现“反弹”迹象,甚至部分牙齿回到了矫正前的位置,这种现象在口腔医学中被称为“复发”,不少矫正者都有这样的困惑:明明辛苦戴了那么久的牙套,为什么牙齿还会“变回去”?牙齿矫正并非一劳永逸,矫正后的复发受多种因素影响,既有生理结构的自然趋势,也有后天习惯的作用,要理解并避免这一问题,需要从牙齿移动的原理、复发的原因、预防措施及处理方法等多个维度来分析。
牙齿矫正后复发的核心原因:牙齿并非“焊死”在骨头里
牙齿之所以能在矫正过程中移动,是因为牙齿周围的牙槽骨、牙周膜等组织具有“改建能力”,矫正时,通过施加持续的外力(如牙套、牙套),牙槽骨一侧被吸收,另一侧增生,牙齿逐渐移动到目标位置;但矫正结束后,这种改建过程并未立即停止,牙齿周围的软硬组织仍需要时间“稳定”下来,如果在这一阶段缺乏足够的支持,牙齿就可能受到各种因素影响,回到原来的位置。

复发的原因可归纳为以下几类:
生理性改建未完成:牙齿“记忆”未完全消除
牙齿移动后,牙周膜的纤维(如主纤维束)需要重新排列和改建,以适应新的位置,这个过程被称为“牙周组织再稳定”,通常需要6-12个月,甚至更长时间,如果在这期间过早或完全放弃保持,牙齿周围的“记忆性”纤维仍会拉着牙齿向原始位置移动,导致复发,尤其是对于牙齿移动幅度较大、拔牙矫正的患者,牙槽骨改建所需时间更长,复发风险也更高。
不良口腔习惯:持续的外力“拉扯”牙齿
矫正期间及矫正后,若存在不良习惯(如吐舌、咬唇、口呼吸、夜磨牙、用牙齿咬硬物等),会持续对牙齿产生异常力量,打破刚建立的咬合平衡,吐舌习惯会使前牙受到向前的推力,导致“龅牙”复发;咬唇习惯可能使上前牙内倾或下前牙外突,这些习惯在矫正时可能已被牙套抑制,但若矫正后未纠正,牙齿会逐渐被“掰回”原位。
矫正方案或执行不完善:为复发埋下隐患
部分复发与矫正过程中的细节有关:

- 牙齿移动不到位:未完全关闭拔牙后的缝隙、未调整好咬合关系(如牙齿尖窝对齐不良),导致牙齿在咬合力下移位;
- 保持器设计不当:保持器未能完全包裹所有牙齿,或未针对易复发的牙齿(如扭转牙、前牙)加强固位;
- 矫正器佩戴时间不足:部分患者因觉得“牙齿已经整齐”而提前结束矫正,或未按医生要求佩戴足够时间的牙套,导致牙齿未达到理想位置就停止移动,稳定性自然不足。
生长发育影响(青少年患者特有)
对于处于生长发育期的青少年患者,颌骨的持续生长会直接影响牙齿位置,上颌骨向前生长可能导致“龅牙”复发,下颌骨发育不足可能引发“地包天”反弹,这类复发并非单纯牙齿移动,而是颌骨变化导致的整体错位,处理难度更大,通常需要结合正畸治疗甚至正颌手术。
牙周组织健康问题:牙齿失去“扎根”的基础
牙齿的稳定依赖于健康的牙槽骨和牙周组织,若患者存在牙周炎、牙槽骨吸收等问题,牙槽骨对牙齿的支撑力会下降,牙齿在咬合力下容易发生移位,尤其是成年人矫正后,若牙周维护不当(如未定期洗牙、控制牙菌斑),牙槽骨会进一步吸收,导致牙齿松动、移位,甚至脱落。
如何有效预防矫正后复发?关键在“保持”与“习惯”
复发的核心原因是“不稳定”,因此预防的关键在于“维持稳定”,无论是生理性改建的巩固,对抗不良习惯,还是应对生长发育,都需要系统的管理措施。
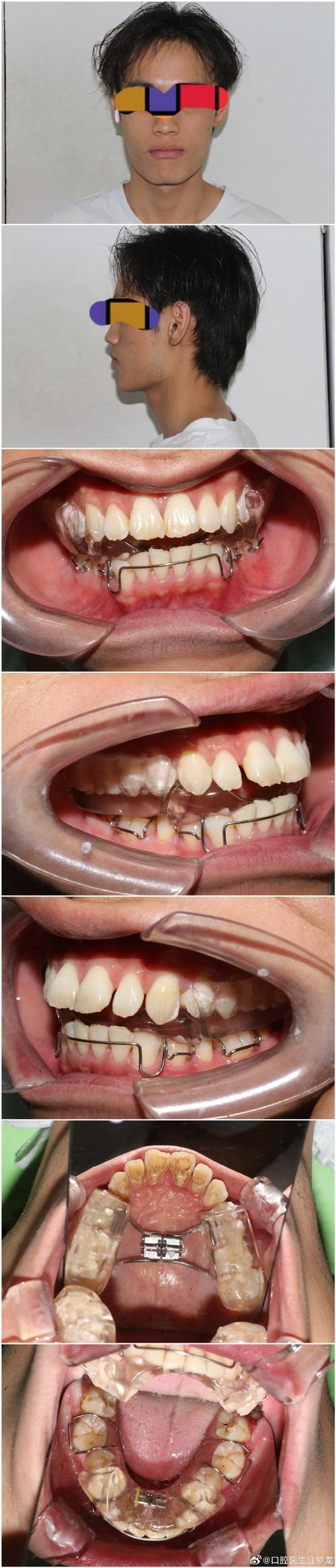
严格佩戴保持器:矫正后的“保险栓”
保持器是防止复发的“第一道防线”,其作用是给牙齿周围的组织足够的时间完成改建,并抵抗异常外力,不同类型的矫正患者,保持器使用方案有所不同:

| 患者类型 | 建议保持器类型 | 佩戴时间要求 |
|---|---|---|
| 一般青少年矫正患者 | 透明压膜保持器/ Hawley保持器 | 矫治结束后第1年:全天佩戴(进食、刷牙时取下),之后1-2年改为夜间佩戴;青少年需持续佩戴至18岁颌骨发育停止。 |
| 成年人矫正患者 | 透明压膜保持器+固定舌侧丝 | 矫治结束后第1年:严格全天佩戴,之后长期夜间佩戴(建议至少5-10年,甚至终身);牙周炎患者需结合牙周治疗调整佩戴方案。 |
| 拔牙矫正/复杂病例 | 透明压膜保持器+ Hawley保持器 | 两种保持器交替使用,增强稳定性;前3个月需严格全天佩戴,之后根据复查结果调整。 |
注意:保持器并非“永久免修”,压膜保持器使用1-2年后可能因磨损变形,固位力下降,需及时更换;固定舌侧丝若松动或脱落,需立即复诊粘接,避免牙齿移位。
纠正不良口腔习惯:消除“隐形推手”**
矫正后需主动识别并纠正不良习惯,可通过以下方式:
- 吐舌/咬舌习惯:训练用鼻子呼吸,舌尖轻抵上颚前部(非牙齿),必要时可使用“舌挡”矫正器;
- 咬唇/吮指习惯:通过行为提醒(如在嘴唇上贴胶布)、心理干预或佩戴“唇挡”矫正器阻断习惯;
- 夜磨牙:佩戴颌垫(夜间保护器),分散咬合力,避免牙齿异常磨损和移位;
- 口呼吸:治疗鼻炎、鼻窦炎等原发病,纠正呼吸模式,必要时通过正畸装置扩大鼻腔气道。
定期复查:及时发现问题并干预**
矫正后的复查至关重要,医生可通过检查牙齿位置、咬合关系、保持器状态等,早期发现复发迹象并处理,复查频率建议:
- 矫治结束后第1年:每3-6个月复查1次;
- 第2-3年:每6-12个月复查1次;
- 之后:每年至少复查1次(成年人、牙周炎患者需缩短复查间隔)。
若发现轻度复发(如1-2颗牙齿轻微移位),可通过调整保持器(如加厚压膜、更换新保持器)纠正;若复发明显(如牙齿扭转、咬合紊乱),需评估是否需要二次矫正。
关注牙周健康:为牙齿“扎根”提供好环境**
成年人矫正后,尤其需重视牙周维护:
- 每半年至1年进行1次专业洗牙,清除牙结石和牙菌斑;
- 若有牙周炎,需先进行牙周治疗(如洁治、刮治),待炎症控制后再开始矫正,矫正后定期复查牙周状况;
- 使用巴氏刷牙法、牙线、冲牙器等清洁工具,保持口腔卫生,避免牙周组织破坏。
矫正后复发怎么办?分级处理是关键**
若发现牙齿复发,不必过度焦虑,根据复发程度采取不同措施:
轻度复发(个别牙齿轻微移位)
- 表现:1-2颗牙齿轻微扭转、伸长或移位,不影响咬合功能;
- 处理:医生可通过更换新的保持器(如重新制作压膜保持器)、在保持器上添加“复位弹簧”等方式,利用持续轻力将牙齿推回原位;通常1-3个月可纠正。
中度复发(多颗牙齿移位,咬合异常)
- 表现:前牙明显拥挤、龅牙/地包天反弹、后牙咬合紊乱;
- 处理:需进行二次矫正,但通常比初次矫正简单,通过隐形牙套或小规模固定牙套(仅针对移位牙齿)移动6-12个月,配合保持器维持;若存在拔牙指征(如复发导致严重拥挤),可能需重新拔牙矫正。
重度复发(颌骨发育异常或严重骨性问题)
- 表现:牙齿移位伴随颌骨畸形(如下巴后缩、面部不对称),咬合功能严重受损;
- 处理:需结合正畸-正颌联合治疗,通过正畸牙齿排齐,再通过正颌手术调整颌骨位置,最后配合长期保持器维持效果,此类治疗周期较长(通常2-3年),但能从根本上解决复发问题。
相关问答FAQs
Q1:矫正完牙齿后,是不是一辈子都要戴保持器?
A:并非所有人需要终身佩戴,但“长期夜间佩戴”是多数人的选择,矫正后1-2年是复发高风险期,需严格佩戴保持器;之后若牙齿稳定、无不良习惯,可逐渐减少佩戴时间(如每周2-3次夜间佩戴),但成年人、牙周炎患者、拔牙矫正者、骨性错颌患者等,因牙齿稳定性较差,建议长期甚至终身夜间佩戴保持器,以降低复发风险。
Q2:发现牙齿有点变回原来的样子,自己戴保持器能调整回来吗?
A:不建议自行调整!若发现牙齿复发,首先应尽快复诊,医生会通过口腔检查、模型分析或X光片,评估复发的程度和原因,轻度复发可在医生指导下通过调整保持器纠正;但若自行佩戴过紧的保持器,可能导致牙齿疼痛、牙根吸收等问题,甚至加重咬合紊乱,二次矫正也需在专业医生方案下进行,避免盲目操作。
