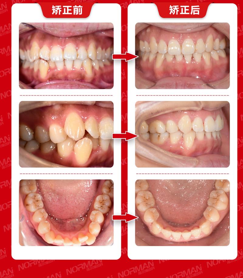
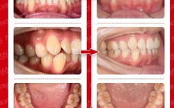
牙齿矫正前后对比图片是正畸治疗中最直观的成果展示,不仅能清晰呈现牙齿排列、咬合关系及面部轮廓的变化,更成为许多潜在矫正者了解矫正效果、建立治疗信心的重要参考,这些图片背后,不仅是牙齿位置的移动,更是口腔功能、面部美学与健康状态的全面提升。
牙齿矫正的核心目标:从“排列整齐”到“功能与美学协同”
牙齿矫正并非单纯追求“牙齿变整齐”,而是通过正畸力对牙齿、牙槽骨及颌骨进行生理性改建,实现多维度健康目标,从对比图片中可观察到的主要变化包括:

- 牙齿排列改善:原本拥挤、稀疏、扭转的牙齿逐渐排列成整齐的弧线,牙列中线与面部中线对齐,牙间隙关闭或合理分布。
- 咬合功能优化:深覆合(上牙过度覆盖下牙)、深覆盖(“龅牙”)、反颌(“地包天”)、开颌(上下牙无法咬合)等问题得到纠正,实现尖窝交错、稳定咬合,提升咀嚼效率。
- 面部美学提升:通过调整牙齿位置及唇齿关系,改善凸嘴、双下巴、面部不对称等问题,使微笑曲线更自然,侧貌轮廓更协调(龅牙”矫正后嘴唇不再前突,侧貌线条更柔和)。
- 口腔健康维护:整齐的牙齿无清洁死角,降低龋齿、牙周病风险;咬合分布均匀可减少牙齿磨损及颞下颌关节负担。
对比图片的价值:直观呈现“隐形”的改善过程
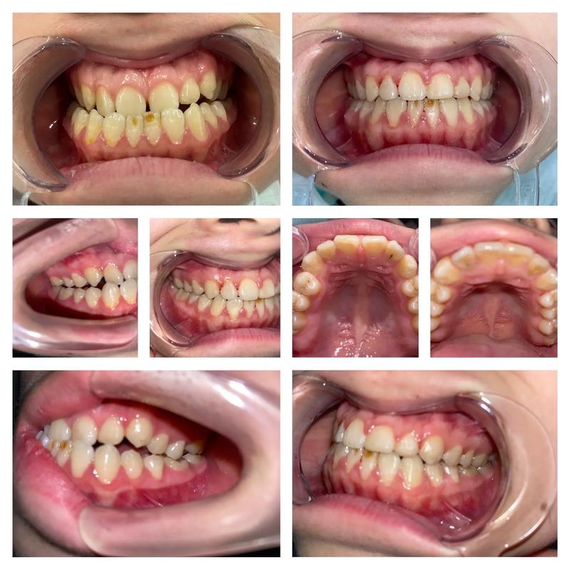
牙齿矫正的周期通常为1-3年,牙齿移动是渐进式的,对比图片通过“治疗前-治疗中-治疗后”的阶段性记录,将抽象的变化转化为可视化证据,其核心价值体现在:
医患沟通的“桥梁”
正畸方案涉及拔牙、支抗设计等专业内容,对比图片能让患者直观理解“牙齿如何从A点移动到B点”,例如拔牙病例中,可通过图片看到前牙内收后,面部突度如何缓解,帮助患者接受治疗计划,减少沟通成本。
矫正效果的“说明书”
对比图片不仅展示牙齿排列,还包括面部微笑、咬合功能等细节,隐形矫正案例中,通过动画模拟图与实际矫正后图片对比,可清晰看到每一步牙齿移动的目标及最终达成效果;复杂病例(如骨性畸形配合正畸-正颌联合治疗)的对比,更能体现多学科协作的成果。
个体差异的“参照系”
不同患者的矫正效果存在差异,对比图片能帮助潜在矫正者了解“类似情况能改善到什么程度”,同样是牙列拥挤,轻度拥挤可能只需排齐牙齿,重度拥挤可能需拔牙矫正,对比图片能展示不同方案下的最终效果,供患者参考。

不同矫正方式的案例对比:特点与效果可视化
牙齿矫正技术不断发展,传统托槽、隐形矫正、舌侧矫正等方式各有优势,对比图片能清晰呈现不同方式下的效果差异,以下通过表格对比三类常见矫正方式的典型案例变化:
| 矫正方式 | 核心特点 | 典型案例前后变化 | 适用人群 |
|---|---|---|---|
| 传统金属托槽 | 性价比高,适用范围广,力度较强 | 案例:前牙严重拥挤+深覆合。 治疗前:牙齿“里出外进”,上牙完全覆盖下牙,微笑时露牙少。 治疗后:牙齿排列整齐,深覆合解除,露齿量增加,微笑弧度自然。 |
青少年、复杂错颌畸形(如骨性问题需先正畸者) |
| 隐形矫正 | 美观(透明牙套),可摘戴,方便清洁 | 案例:轻度牙列不齐+散在间隙。 治疗前:牙齿间有缝隙,微笑时牙齿不连贯。 治疗后:间隙关闭,牙齿紧密排列,侧面观唇部支撑更自然,无“托槽痕迹”。 |
成年人、对美观要求高者、矫正周期较短者 |
| 舌侧矫正 | 完全隐形(托槽粘在牙齿内侧),精准度高 | 案例:“龅牙”+中线偏斜。 治疗前:正面观双牙弓不对称,侧面唇部前突明显。 治疗后:牙齿排列整齐,中线对齐,侧貌突度改善,从外完全看不到矫正装置。 |
对美观极致要求者(如明星、商务人士)、预算充足者 |
如何科学解读对比图片?避免陷入“唯美观论”
对比图片虽直观,但解读时需结合专业视角,避免陷入误区:
注意拍摄标准化
规范的对比图片需包含正面、侧面(放松位、微笑位)、咬合面(观察牙齿排列)三个角度,且拍摄条件一致(光线、设备、头位),侧面对比应关注“唇齿关系”——矫正后牙齿是否位于唇部适当位置(上唇轻度覆盖上牙冠1/3,下牙轻触下唇),而非单纯“牙齿后缩”。
区分“牙齿变化”与“骨骼变化”
部分患者(如骨性“地包天”)需配合正颌手术,对比图片中既有牙齿移动,也有颌骨位置的改变;单纯正畸病例中,牙齿移动范围有限(通常前牙内收不超过4mm),需避免期待“骨骼畸形完全通过正畸纠正”。

关注“长期稳定性”
矫正后效果需通过保持器维持,对比图片应包含“保持期结束后”的影像(如保持1-2年后的照片),部分患者可能出现复发(如牙齿轻微移位),需通过保持器及定期复查控制。
选择矫正方案:对比图片是参考,专业评估是核心
对比图片能提供效果参考,但矫正方案的选择需基于专业检查:正畸医生需通过X光片(头颅侧位片、曲面断层片)、口腔模型、关节检查等,评估骨骼条件、牙齿萌出情况、牙周健康等,制定个性化方案,牙周病患者需先治疗牙周再矫正;青少年骨性畸形可能需配合生长改良治疗。
相关问答FAQs
Q1:牙齿矫正前后对比图片是否具有普遍参考性?
A:对比图片的参考价值需结合个体差异,每个人的牙齿畸形类型、严重程度、骨骼条件、矫正方式不同,效果存在差异,同样“龅牙”,骨性龅牙需正颌手术+正畸,效果显著;牙性龅牙单纯正畸也可改善,但移动范围有限,年龄因素(青少年骨骼可塑性强,矫正效果更易稳定)、口腔习惯(如吐舌、咬唇)是否纠正,也会影响最终效果,对比图片可作为初步了解,但具体效果需以专业医生评估为准。
Q2:矫正后如何维持效果,避免反弹?
A:矫正后反弹的主要原因是牙齿周围组织(牙周膜、牙槽骨)改建未完全稳定,以及不良习惯未纠正,维持效果的关键措施包括:① 严格佩戴保持器:通常要求全天佩戴3-6个月,后改为夜间长期佩戴(至少1-2年),甚至终身佩戴(对于复发风险高者,如严重拥挤、骨性问题);② 保持口腔清洁:避免龋齿导致牙齿移位,定期洗牙;③ 避免不良习惯:如咬硬物、吐舌、咬唇等;④ 定期复查:医生通过检查牙齿位置、咬合关系及牙周状态,及时调整保持器方案,处理早期复发迹象。
