牙齿矫正照片前后对比是矫正过程中直观记录变化、评估效果的重要方式,不仅能帮助患者清晰看到牙齿排列和面部形态的改善,也为医生调整治疗方案提供依据,想要让对比照片真实反映矫正效果,拍摄时需注意多角度、多阶段的规范记录,同时理解不同问题通过矫正呈现的具体变化。
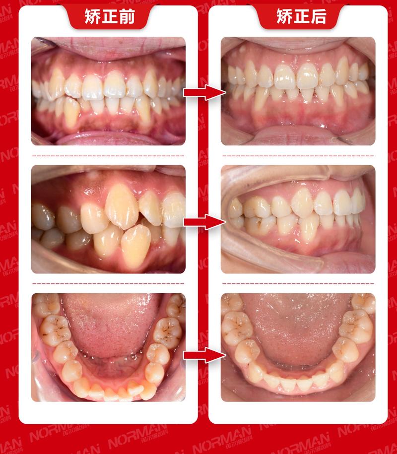
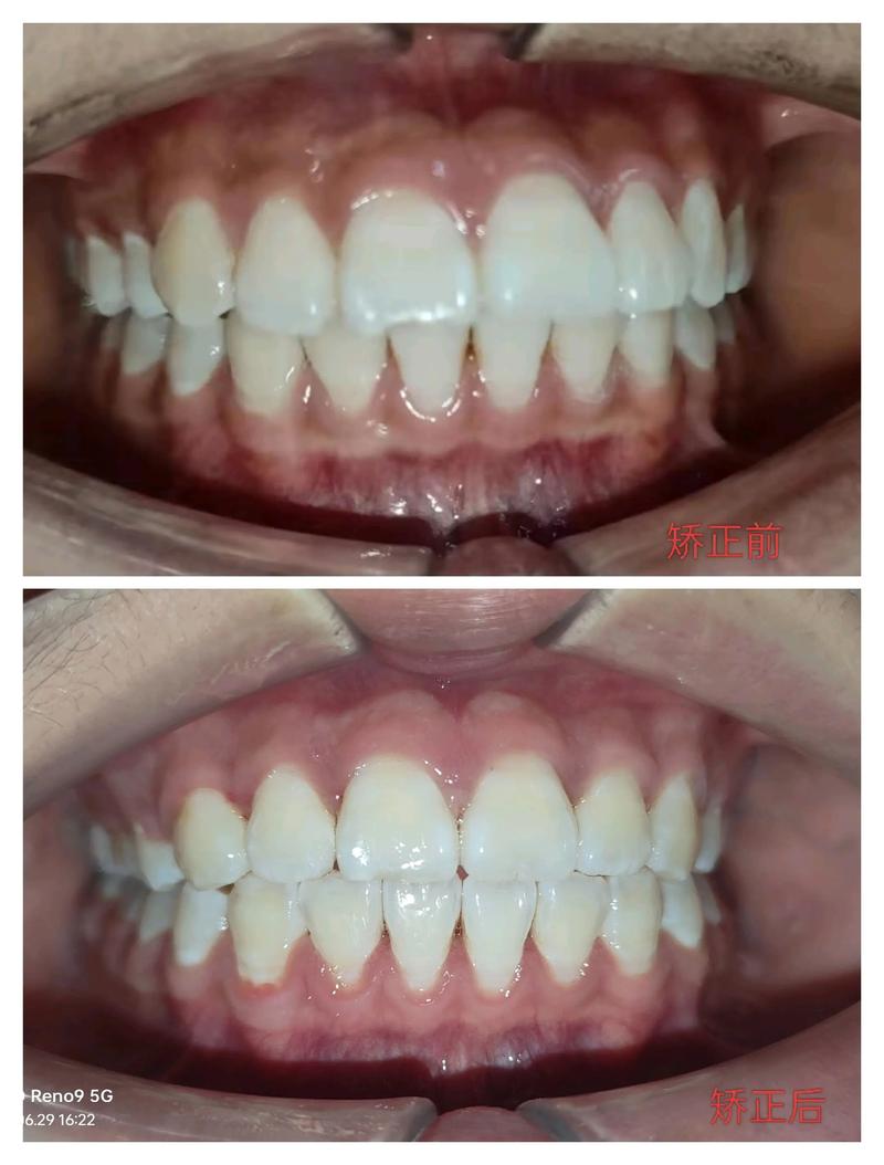
从拍摄阶段来看,完整的对比记录应涵盖矫正前、矫正中(每3-6个月一次)和矫正后(保持期1-3个月)三个关键节点,矫正前的照片是基线参考,需拍摄正面、侧面(左侧、右侧)、45度侧(左、右)以及咬合面(上牙、下牙)共7个角度,全面记录牙齿初始排列情况、咬合关系、面部轮廓(如嘴唇突度、下颌线)以及笑容时的牙龈暴露量,矫正中的照片则需与前期保持拍摄角度、光线、表情一致,重点观察牙齿移动进度,比如拥挤是否解除、 gaps(缝隙)是否关闭、中线是否对齐等,若发现移动缓慢或异常,可及时与医生沟通调整加力方案,矫正后的照片则是效果的最终呈现,需在拆除矫治器、佩戴保持器1-2周后拍摄,此时牙齿位置稳定,能真实反映矫正达成的目标,如牙齿整齐度、咬合功能、面部美学改善等。

拍摄时的细节直接影响对比效果,光线建议使用自然光或柔和的室内光,避免强光或阴影导致牙齿颜色失真;表情需自然放松,正面照时双眼平视、嘴唇自然闭合或自然微笑(露出上牙但不刻意咧嘴),侧面照时保持头部直立,避免歪头或仰头;设备尽量使用同一部手机或相机,固定焦距和分辨率,避免因设备差异导致图像模糊或变形,拍摄前可清洁牙齿,避免食物残渣影响观察,但不要使用美颜滤镜,以免扭曲牙齿和面部真实形态。
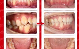
通过规范的前后对比,不同牙齿问题的改善效果一目了然,对于“龅牙”(上颌前突)患者,矫正后侧面照片可见嘴唇突度显著减少,侧脸线条从“凸”变为流畅,正面笑容时牙齿不再外露过多;牙齿拥挤的患者,矫正前正面照可见牙齿重叠、大小不一,矫正后牙齿排列整齐,大小形态对称;地包天(反颌)患者,矫正前下牙包住上牙,侧面呈“月牙脸”,矫正后上下牙正常咬合,下巴后缩得到改善,面部比例更协调,咬合面的对比则能清晰展示矫正后尖窝相对的稳定咬合关系,提升咀嚼功能。
需要注意的是,矫正效果的显现是渐进的,早期可能主要变化是牙齿排列,中后期才会涉及面部轮廓的调整,因此定期拍摄对比能帮助患者更有耐心地完成矫正,照片不仅是个人记录,也是医生评估矫治质量的重要参考,若发现矫正后牙齿中线与面部中线不一致、咬合存在早接触等问题,可通过保持期调整或二次矫治解决。
相关问答FAQs
Q1:牙齿矫正照片多久拍一次比较合适?
A1:拍摄频率需结合矫正阶段调整:矫正前需拍摄1次作为基线;矫正中每3-6个月拍摄1次,跟踪牙齿移动进度;矫正后拆除矫治器时拍摄1次,之后在保持期第1-3个月每3个月拍摄1次,半年后每半年拍摄1次,直至医生确认稳定,若矫正中遇到牙齿移动异常(如疼痛、咬合不适),可随时增加拍摄次数与医生沟通。

Q2:为什么矫正前后照片要拍多个角度?不同角度能反映什么问题?
A2:不同角度可全面评估矫正效果:正面照主要观察牙齿排列对称性、中线对齐情况、笑容弧线及面部宽度变化;侧面照(左、右)评估侧貌改善,如嘴唇突度、下颌后缩/前突、颏部形态;45度侧照观察颊侧牙齿排列及笑容时牙龈暴露量;咬合面照(上、下)则重点看咬合关系,如尖窝相对、深覆颌/深覆盖的解除情况,多角度对比能避免单一角度的片面性,确保矫正效果在功能和美学上均达标。

