牙齿缝隙是口腔中常见的牙齿排列问题,不仅影响美观,还可能引发口腔健康隐患,如食物嵌塞、牙周炎、咬合紊乱等,通过正畸矫正关闭缝隙,不仅能实现牙齿整齐排列,更能改善口腔功能与心理健康,本文将从牙齿缝隙的成因、矫正方法及前后对比等方面,详细阐述矫正带来的变化。
牙齿缝隙的成因与影响
牙齿缝隙的形成可分为先天与后天因素,先天因素包括遗传性牙列稀疏(牙量小于骨量)、上颌侧切牙先天缺失或多生牙导致牙量不足、牙体过小(如过小侧切牙)等;后天因素则涵盖牙周病(牙槽骨吸收导致牙齿移位)、邻面龋坏或牙齿缺损、不良习惯(如舔牙、咬唇、长期用牙签剔牙导致牙龈萎缩)、以及牙齿缺失后邻牙倾斜移位等。

缝隙的存在不仅影响面部美观(如“漏风”笑容、露牙龈),还可能导致咀嚼效率下降、发音不清(如“s”音模糊),长期食物嵌塞易引发龋齿和牙周炎,甚至因咬合异常导致颞下颌关节紊乱,矫正牙齿缝隙不仅是“变美”,更是健康需求。
矫正牙齿缝隙的常见方法
矫正牙齿缝隙需根据病因、缝隙大小及患者需求选择个性化方案:
- 传统金属托槽矫正:通过粘接在牙齿表面的托槽和弓丝施加力量,移动牙齿关闭缝隙,适合复杂病例(如需拔牙、扭转牙),性价比高,但美观性稍差。
- 陶瓷托槽矫正:托槽材质为透明陶瓷,与牙齿颜色相近,兼顾美观与效果,适合对美观有一定要求的患者。
- 隐形矫正:通过一系列透明牙套逐步移动牙齿,可自行摘戴,美观舒适,适合轻度至中度缝隙,但需患者高度配合(每日佩戴20小时以上)。
- 舌侧矫正:将托槽粘接在牙齿舌侧面,完全隐形,适合对美观要求极高者,但价格较高,口腔异物感较强。
- 辅助治疗:对于牙周病患者,需先进行牙周治疗(如洁治、刮治)稳定病情;若存在牙量骨量不调,可能需配合邻面去釉(磨除少量牙釉质增加牙量)或拔牙(如前磨牙)为牙齿移动提供空间。
矫正牙齿缝隙的前后对比
矫正牙齿缝隙带来的变化是全方位的,从外观到功能,从生理到心理均有显著改善,以下从具体维度展开对比:
牙齿排列与面部美观
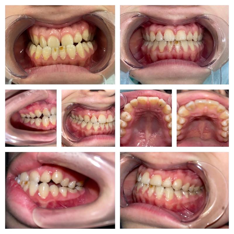
- 矫正前:牙齿间存在明显缝隙(可从1mm至数mm不等),微笑时可见“黑三角”,牙弓形态不规则,可能伴随牙齿倾斜或扭转,若缝隙集中在前牙区,会导致“漏风”笑容,患者常下意识地捂嘴笑,影响面部表情自然度;若因牙槽骨吸收导致缝隙,牙龈可能萎缩,牙根暴露,牙齿显得“细长”。
- 矫正后:牙齿排列紧密整齐,牙弓形态呈自然的抛物线,前牙区无“黑三角”,微笑时牙龈曲线和谐,面部肌肉张力恢复正常,嘴角上提更自然,侧面轮廓因牙齿支撑改善而更流畅(如鼻唇角更协调),对于因牙齿移位导致的“瘪嘴”或“凸面型”,矫正后面部对称性和饱满度也会提升。
口腔功能与咬合关系
- 矫正前:缝隙导致牙齿接触不紧密,咀嚼时食物易嵌塞,需频繁使用牙签,长期可能引发牙龈炎、邻面龋;咬合紊乱时,咀嚼效率下降,食物未被充分磨碎即吞咽,增加胃肠负担;若后牙移位填补前牙缝隙,可能导致咬合创伤,颞下颌关节弹响或疼痛。
- 矫正后:牙齿紧密邻接,咀嚼时力量均匀分布,嵌塞问题消失,咀嚼效率显著提升(可正常啃咬苹果、坚果等硬物);咬合关系稳定,牙齿引导下颌运动顺畅,颞下颌关节压力减轻,关节弹响等症状缓解;发音功能恢复正常,如“s”“z”等齿音更清晰。
口腔健康与卫生维护
- 矫正前:缝隙是细菌藏匿的“死角”,食物残渣堆积易形成牙菌斑,导致牙龈红肿、出血,长期发展可能引发牙周炎,牙槽骨进一步吸收,缝隙增大,形成恶性循环;若存在“黑三角”,牙缝间易堆积软垢,常规刷牙难以清洁,增加龋齿风险。
- 矫正后:牙齿排列整齐,无卫生死角,刷牙、使用牙线更轻松,牙菌斑堆积减少,牙龈恢复健康粉红色;牙周组织受力均衡,牙槽骨稳定性提升,降低牙周炎复发风险;龋齿风险显著降低,口腔整体健康状况改善。
心理状态与社交行为
- 矫正前:因牙齿缝隙影响美观,患者常产生自卑心理,在社交场合回避大笑、说话,甚至不敢拍照,影响人际交往;部分青少年可能因此遭受同伴调侃,导致心理压力,性格变得内向。
- 矫正后:整齐的牙齿提升自信心,患者可自由展现笑容,积极参与社交活动,心理状态更积极开朗;职场中,良好的形象可能带来更多机会,生活质量全面提升。
矫正前后对比表
| 对比维度 | 矫正前状态 | 矫正后状态 |
|---|---|---|
| 牙齿排列 | 牙缝明显(1-数mm),牙齿倾斜/扭转,牙弓不规则 | 牙齿紧密排列,无“黑三角”,牙弓形态自然,牙齿排列整齐对称 |
| 咬合关系 | 牙齿接触不紧密,咀嚼无力,易嵌塞,可能伴随咬合紊乱、关节弹响 | 咬合稳定,咀嚼效率高,无嵌塞,咬合创伤缓解,关节运动顺畅 |
| 口腔卫生 | 食物残渣易堆积,牙龈红肿出血,牙菌斑多,龋齿和牙周炎风险高 | 无卫生死角,牙龈健康,牙菌斑减少,龋齿和牙周炎风险降低 |
| 面部美观 | 笑容“漏风”,牙龈萎缩或露牙龈,面部表情不自然,可能伴随“瘪嘴”或“凸面型” | 笑容自然和谐,牙龈曲线优美,面部轮廓更流畅,表情更自信 |
| 心理状态 | 自卑、回避社交,不敢大笑/说话,影响人际交往和生活质量 | 自信提升,积极参与社交,自由展现笑容,心理状态积极开朗 |
相关问答FAQs
Q1:矫正牙齿缝隙需要多长时间?具体受哪些因素影响?
A:矫正时间因人而异,一般需6-18个月,轻度缝隙(如1-2mm)通过邻面去釉或简单移动,可能6-12个月完成;中度缝隙(2-4mm)或需拔牙的复杂病例,需12-18个月;若伴随牙周病,需先治疗牙周(约1-3个月),再开始矫正,总时间可能延长,影响因素包括:缝隙大小与位置、是否需拔牙、矫正方法(隐形矫正可能稍慢但舒适)、患者配合度(如是否佩戴橡皮筋、保持器)及个体骨改建速度(青少年通常比成人快)。

Q2:矫正后缝隙会复发吗?如何预防?
A:有复发风险,尤其若未保持治疗或存在不良习惯,复发原因包括:牙齿移动后牙周组织未完全稳定(需1-2年)、矫正后未戴保持器、不良习惯(如舌顶牙、咬硬物)导致牙齿移位、牙周病未控制导致牙槽骨吸收,预防措施:①严格佩戴保持器(矫正后前6个月需全天戴,之后夜间长期戴至少2年);②保持口腔卫生,定期洗牙(每6个月1次);③纠正不良习惯(如避免用牙签剔牙、舌顶牙);④定期复查(每3-6个月1次),及时处理牙齿移位迹象。

