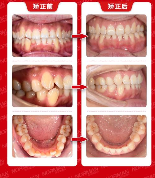
牙齿有点龅可以矫正吗?答案是肯定的,无论是轻微还是明显的龅牙,通过专业的正畸治疗都能得到有效改善,龅牙在医学上多被称为“上颌前突”或“双颌前突”,主要表现为上颌牙齿或上下颌牙齿整体向前突出,不仅影响面部美观,还可能伴随咬合功能障碍、发音问题,甚至导致牙周健康隐患,矫正龅牙不仅是“变美”的需求,更是对口腔健康和功能的维护。
龅牙的类型与矫正原理
龅牙主要分为牙性和骨性两种类型,两者的矫正策略有所不同,牙性龅牙是指牙齿排列问题导致的前突,牙槽骨和颌骨形态基本正常,通过移动牙齿位置即可改善;骨性龅牙则与颌骨发育异常有关,表现为上下颌骨向前突出,单纯正畸效果有限,严重时需配合正颌手术,但无论是哪种类型,“有点龅”通常属于轻度至中度范畴,多数可通过单纯正畸治疗达到理想效果,无需手术。

矫正的核心原理是利用生物力学,通过持续、轻柔的力,引导牙齿在牙槽骨内缓慢移动,调整至正常位置,对于牙性龅牙,可通过内收前牙、调整牙弓形态改善前突;对于轻度骨性龅牙,正畸治疗虽无法改变颌骨形态,但可通过牙齿代偿性移动(如后牙伸长、前牙压低)视觉上改善前突程度,同时改善咬合功能。
矫正龅牙的必要性:不止于美观
很多人认为“有点龅”不影响吃饭,没必要矫正,但实际上龅牙的危害远不止美观问题,从功能角度看,龅牙常伴随深覆盖(上前牙盖过下前牙过多),可能导致前牙咬合无力、后牙咀嚼效率下降;严重时下唇会卷在上前牙后方,长期摩擦可能引发唇部炎症,发音方面,龅牙可能影响“s”“z”等齿音的清晰度,健康层面,前牙前突使得牙列不易清洁,容易堆积食物残渣,增加龋齿和牙周炎风险;部分患者还可能因咬合异常导致颞下颌关节紊乱,出现张口弹响、疼痛等症状,即使是“有点龅”,矫正也能提升生活质量,预防潜在口腔问题。
矫正龅牙的方法选择
目前矫正龅牙的方法多样,需根据龅牙类型、严重程度、年龄、美观需求等综合选择,以下是主流方式的对比:
| 矫正方式 | 原理 | 适用情况 | 优点 | 缺点 | 矫正周期 | 费用参考(元) |
|---|---|---|---|---|---|---|
| 传统金属托槽 | 通过托槽和弓丝施加持续力,移动牙齿 | 各类龅牙,尤其适合青少年和复杂病例 | 强度高,性价比高,适用范围广 | 美观性差,口腔异物感强 | 5-3年 | 8000-15000 |
| 陶瓷托槽 | 金属托槽的陶瓷材质版本,颜色接近牙齿 | 对美观要求较高的患者,牙性龅牙 | 美观性较好,强度适中 | 易染色,价格高于金属托槽 | 5-3年 | 12000-20000 |
| 隐形矫正 | 利用3D打印的透明牙套,逐步移动牙齿 | 轻中度牙性龅牙,配合度高的成人 | 美观隐形,可自行摘戴,舒适度高,便于清洁 | 价格较高,复杂病例效果可能受限,需严格佩戴(每天20小时以上) | 1-2年 | 25000-50000 |
| 舌侧矫正 | 托槽粘在牙齿内侧,完全隐蔽 | 对美观要求极高,经济条件好的患者 | 完全隐形,不影响外观 | 技术难度高,口腔异物感强,价格昂贵,对医生技术要求高 | 2-3年 | 50000-80000 |
| 正畸正颌联合 | 先正畸排齐牙齿,再通过手术调整颌骨位置 | 严重骨性龅牙,单纯正畸无法改善 | 根本解决颌骨问题,效果稳定 | 需手术,创伤大,周期长(2-4年),费用高 | 正畸1-2年+手术 | 50000+ |
矫正流程:从检查到保持的每一步
矫正龅牙是一个系统过程,需严格遵循专业流程以确保效果:

- 初诊检查:医生会通过临床检查、口腔X光片(曲面断层片、头颅侧位片)、牙齿模型等,全面评估龅牙类型、严重程度、颌骨关系及面部比例。
- 方案设计:根据检查数据,确定是否需要拔牙(龅牙矫正常需拔除前磨牙,为牙齿内收提供空间)、选择矫正方式,并制定个性化方案。
- 戴牙矫治:传统托槽需分次粘接托槽,隐形矫正则需佩戴第一副牙套,之后定期复诊(通常4-6周一次),调整加力进度。
- 保持阶段:拆除牙套后需佩戴保持器(通常为透明压膜保持器或 Hawley 保持器),前半年需全天佩戴,之后改为夜间佩戴,持续1-2年,甚至更久,以防止复发。
矫正期间的注意事项
矫正效果不仅取决于医生技术,患者的配合同样重要:
- 口腔卫生:戴托槽后牙齿清洁难度增加,需使用正畸专用牙刷、牙缝刷、冲牙器,避免食物嵌塞引发龋齿或牙周炎。
- 饮食调整:避免过硬(如坚果、骨头)、黏性(如口香糖、年糕)食物,防止托槽脱落;隐形矫正需摘下牙套进食,避免饮用有色饮料(如咖啡、可乐),防止牙套染色。
- 复诊依从性:按时复诊是确保矫正进度的关键,若托槽脱落或牙套损坏,需及时联系医生处理。
- 耐心与心态:牙齿移动缓慢,通常需1-2年才能看到明显效果,期间可能出现牙齿酸痛、口腔溃疡等不适,属正常现象,可咨询医生缓解。
不同年龄段的矫正特点
- 青少年(12-18岁):处于生长发育高峰期,骨改建速度快,部分骨性龅牙可通过生长改良治疗(如前方牵引、扩弓)引导颌骨正常发育,减少后期正畸或手术的难度。
- 成年人:骨改建速度较慢,矫正周期可能稍长,但只要牙周健康,均可矫正,成年骨性龅牙若单纯正畸效果不理想,可考虑正畸正颌联合治疗,从根本上改善颌骨关系。
常见误区解答
“矫正必须拔牙,会伤牙”?
拔牙是矫正中常见的手段,但并非“伤牙”,龅牙常因牙量大于骨量(牙齿太多、骨头空间不足)导致前突,拔除部分牙齿(通常为第一或第二前磨牙)可为前牙内收提供空间,改善突度,同时调整咬合关系,使面部更协调,拔牙后,医生会通过精密计算,确保剩余牙齿排列整齐、功能正常,不会影响健康。
“矫正后牙齿会松动、脱落”?
矫正中牙齿移动是生理过程,牙根周围会有轻微松动,这是牙齿重新稳定的表现,属于正常现象,矫正完成后,随着牙槽骨改建,牙齿会重新稳固,不会脱落,若矫正后不戴保持器,可能导致牙齿复发,但并非“松动”。
相关问答FAQs
Q1:龅牙矫正会很疼吗?
A:矫正过程中会有一定不适,但并非“持续剧痛”,戴牙套后1-3天牙齿会出现酸胀感,属于牙齿移动的正常反应,通常3-5天可缓解,每次复诊调整加力后也会有短暂不适,可通过软食、冷敷或遵医嘱服用止痛药缓解,随着时间推移,牙齿适应后,不适感会明显减轻。

Q2:矫正后牙齿会反弹吗?怎么预防?
A:反弹是正畸治疗中可能出现的风险,主要与保持器佩戴和口腔习惯有关,牙齿矫正后,牙槽骨需要时间稳定(通常1-2年),因此必须严格佩戴保持器:前半年需全天佩戴(进食、刷牙时取下),之后改为夜间长期佩戴,需避免咬硬物、吮指、咬唇等不良习惯,并定期复查(每6个月一次),以便医生及时调整,降低反弹风险。
