浙江大学医学院附属第四医院(简称“浙四医院”)作为浙江省高水平医院,其口腔科是集医疗、教学、科研为一体的重点科室,尤其在口腔正畸领域形成了鲜明的技术特色与患者口碑,科室依托浙大医学院的学术资源,引进国际先进设备与技术,拥有一支经验丰富的正畸团队,其中宋医生(宋XX主任)作为学科骨干,在复杂错颌畸形矫正、隐形正畸及儿童早期干预等方面积累了深厚造诣,为众多患者重塑健康咬合与自信笑容。
专业团队与技术实力
浙四口腔正畸科现有医护人员20余人,其中正畸专科医生8人,均拥有硕士及以上学历,多人曾赴美国、德国、日本等知名院校研修,宋医生作为科室核心成员,从事口腔正畸临床工作15年,完成各类正畸病例超3000例,擅长青少年及成人各类错颌畸形的综合治疗,尤其是骨性错颌的早期干预、隐形矫正方案的精细化设计,以及多学科联合治疗(如正畸-正颌、正畸-修复)的协同把控,其团队年均开展隐形矫正案例800余例,居浙中地区前列,患者满意度达98%以上。

科室配备国际前沿诊疗设备,包括德国Sirona 3D口内扫描仪(替代传统取模,提升舒适度与精准度)、芬兰Planmeca CBCT(三维成像评估骨量与牙根位置)、美国Invisalign隐适美iTero数字化方案设计系统等,实现从检查、诊断到方案制定的全流程数字化,为精准正畸提供坚实保障。
正畸技术特色与适用范围
浙四口腔正畸科在宋医生团队的带领下,形成了传统托槽矫正、隐形矫正、自锁托槽矫正、舌侧矫正等技术并行发展的格局,针对不同年龄、不同畸形类型提供个性化治疗方案,各类技术的特点与适用人群如下表所示:
| 技术类型 | 技术特点 | 适用人群 | 优势 |
|---|---|---|---|
| 传统金属托槽矫正 | 经典不锈钢托槽,通过弓丝与托槽配合移动牙齿 | 各类错颌畸形(牙列拥挤、龅牙、地包天等),尤其适合青少年及预算有限患者 | 技术成熟、性价比高、矫正力度强,适用于复杂病例 |
| 自锁托槽矫正 | 托槽自带闭锁装置,减少弓丝与托槽摩擦力,可缩短复诊间隔 | 时间紧张、追求高效矫正的患者;轻度至中度错颌畸形 | 复诊周期延长至6-8周,治疗时间缩短20%-30%,舒适度更高,口腔卫生更易维护 |
| 隐形矫正 | 透明高分子材料牙套,可自行摘戴,每副牙套精准移动牙齿 | 轻中度牙列拥挤、龅牙、牙缝过大;成人及对美观要求高的青少年 | 美观隐蔽、舒适度高、便于清洁,可自行摘戴不影响饮食与社交,数字化方案可视化 |
| 舌侧矫正 | 托槽粘贴于牙齿舌侧面,完全隐形 | 对美观要求极高、经济条件允许的成人;特殊职业需求(如演员、主持人等) | 完全隐形,旁人难以察觉,矫正效果精准,但技术难度高、费用较高 |
| 儿童早期干预 | 在替牙期(8-10岁)通过功能性矫治器(如MRC、扩弓器)引导颌骨发育 | 骨性错颌高危儿童(如地包天、下巴后缩、面部不对称、严重牙列拥挤) | 捕捉生长发育黄金期,降低成年后正畸难度,改善面部轮廓与咬合功能 |
治疗流程与患者关怀
浙四口腔正畸科严格执行标准化诊疗流程,确保每一例病例的安全与效果,宋医生团队将“精准、舒适、个性化”理念贯穿全程,具体流程如下:
- 初诊检查与数据采集:患者首次就诊时,医生进行全面口腔检查(包括牙齿排列、咬合关系、牙周状况等),并拍摄全景片、头颅侧位片,必要时行CBCT检查,同步采集口内扫描数据,建立数字化模型。
- 方案设计与沟通:基于影像学数据与模型,宋医生团队结合患者年龄、畸形类型、美观需求及生活习惯,制定2-3套个性化方案,并通过3D动画演示矫正过程与预期效果,与患者充分沟通后确定最终方案。
- 矫治器制作与佩戴:传统托槽矫正需在粘接托槽后调整弓丝;隐形矫正则通过数字化系统设计牙套序列,患者每1-2周更换一副牙套;舌侧矫正需个性化定制托槽,粘接精度要求极高。
- 定期复诊与调整:矫正期间,患者需每4-6周复诊一次,医生检查牙齿移动情况,调整矫治力(如更换弓丝、收紧牙套等),确保治疗按计划推进。
- 保持器佩戴与随访:拆除矫治器后,患者需佩戴保持器(透明压膜保持器或 Hawley 保持器),前6个月需全天佩戴,之后逐渐过渡至夜间佩戴,同时医生通过电话、门诊等方式进行长期随访,防止复发。
宋医生团队特别注重患者体验,针对儿童患者开设“正畸小课堂”,通过游戏化讲解消除恐惧;成人患者则提供“午间矫正”“周末门诊”等灵活服务,兼顾工作与治疗需求。

典型案例分享
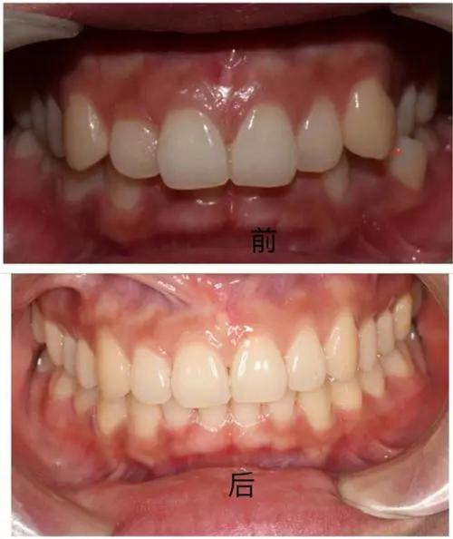
成人骨性龅牙隐形矫正
患者张某,28岁,主诉“门牙外凸,影响侧貌”,检查显示上颌前突(ANB角5.5°),牙列轻度拥挤,下颌后缩,宋医生结合CBCT数据,制定隐适美隐形矫正方案,通过24副牙套内收上前牙、调整咬合关系,同时配合微种植体支抗加强下颌牵引,治疗18个月后,患者牙齿排列整齐,侧貌改善明显,面下1/3协调度提升,自信笑容回归。
儿童骨性地包天早期干预
患儿李某,9岁,混合牙列期,表现为“反颌”(俗称“地包天”),下颌前伸,家族中有类似遗传史,宋医生采用MRC功能性矫治器进行早期干预,通过训练口腔肌肉、引导上颌骨发育,同时配合前方牵引装置,治疗1年后,反颌解除,下颌位置回退,面型从“月牙脸”转为正常,为后续恒牙列矫正奠定良好基础。
相关问答FAQs
Q1:成人矫正年龄有限制吗?40岁以上还能做正畸吗?
A1:成人正畸没有严格的年龄上限,只要牙周健康状况良好(无严重牙龈萎缩、牙槽骨吸收),即可进行矫正,40岁以上患者需注意:治疗前需进行全面的牙周评估,若有牙周病需先控制炎症;矫正过程中需加强口腔卫生维护,避免牙釉质脱矿;部分患者可能存在牙列磨耗、关节问题,需多学科联合制定方案,浙四口腔正畸科已为多名50岁以上患者成功完成矫正,效果显著。
Q2:隐形矫正和传统托槽矫正,应该如何选择?
A2:选择哪种矫正方式需结合畸形复杂度、美观需求、预算及生活习惯综合判断:
- 隐形矫正:适合轻中度错颌畸形、成人及对美观要求高的患者,优势是舒适、便捷,但费用较高(约3-5万元),复杂病例可能需配合传统托槽;
- 传统托槽矫正:适合各类复杂病例(如严重拥挤、骨性畸形),性价比高(约1.5-3万元),但美观度较差,口腔清洁难度稍大。
建议患者到院进行专业检查,宋医生团队会根据具体情况提供个性化建议,例如复杂病例可先通过隐形矫正排齐牙齿,再用传统托槽精细调整,兼顾效果与美观。
