保定市作为京津冀地区的重要城市,近年来居民对口腔健康的重视程度不断提升,口腔正畸作为改善牙齿排列、提升面部美观的重要手段,需求持续增长,牙齿不齐不仅可能影响咀嚼功能、引发口腔疾病,还可能对个人心理和社交造成困扰,因此选择专业的口腔正畸服务成为许多保定市民的关注焦点,本文将从保定市口腔正畸的常见适应症、治疗流程、机构选择、技术发展及注意事项等方面进行详细阐述,帮助读者全面了解当地正畸现状。
保定市口腔正畸的常见适应症及危害
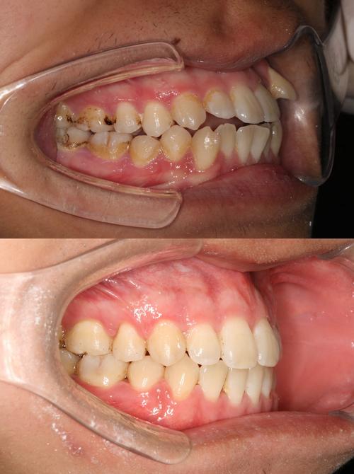
牙齿排列异常是口腔正畸的主要干预对象,常见的适应症包括牙齿拥挤、龅牙(上颌前突)、地包天(反颌)、牙齿稀疏、中线偏斜、深覆合/深覆盖等,这些问题的表现及危害各有不同:牙齿拥挤会导致清洁困难,易引发龋齿和牙周炎;龅牙可能影响嘴唇闭合,降低面部美观度;地包天会限制咀嚼功能,甚至导致颞下颌关节紊乱;牙齿稀疏则可能影响发音和自信心,不同年龄段的适应症特点也有所差异,青少年多以替牙期障碍(如乳牙早失、恒牙萌出异常)为主,成年人则常伴随牙周病、牙齿磨耗等复杂问题,需综合评估后制定方案。

以下是保定市口腔正畸常见适应症及危害的对比:
| 适应症 | 主要表现 | 潜在危害 |
|---|---|---|
| 牙齿拥挤 | 牙齿排列不齐,重叠扭转 | 清洁困难、龋齿、牙周炎 |
| 龅牙(上颌前突) | 上门牙突出,嘴唇闭合困难 | 面部侧貌突兀,易咬上唇 |
| 地包天(反颌) | 下前牙覆盖上前牙,下巴前突 | 咀嚼效率低,颞下颌关节弹响 |
| 牙齿稀疏 | 牙齿间缝隙过大 | 发音不清,影响美观和社交信心 |
| 深覆合 | 上前牙覆盖下前牙过多,咬合过深 | 下前牙磨损,牙龈损伤 |
保定市口腔正畸的治疗全流程
专业的正畸治疗需遵循科学流程,通常包括初诊检查、方案设计、矫治器佩戴、复诊调整及保持阶段五个环节,每个环节对治疗效果至关重要。
初诊检查是治疗的基础,医生会通过临床检查(牙齿排列、咬合关系、面部对称性)、影像学检查(X光片、CBCT)和模型分析(取模或口内扫描)全面评估牙齿、颌骨及牙周状况,保定市多家机构已普及数字化口扫技术,相比传统取模,其更精准、舒适,且可即时生成3D模型供医患沟通。
方案设计阶段,医生会结合患者需求(美观、功能优先级)、年龄及口腔状况制定个性化方案,青少年可能采用生长改良治疗(如功能性矫治器),成年人则需考虑牙周支持情况,复杂病例可能需联合正颌手术,数字化软件可模拟牙齿移动过程,帮助患者直观了解治疗效果。

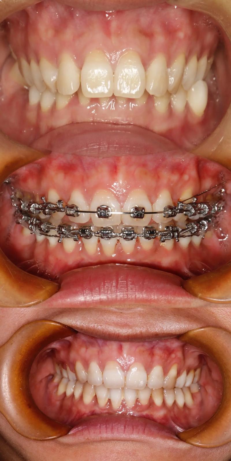
矫治器佩戴是核心治疗阶段,目前主流矫治器包括传统金属托槽、自锁托槽、陶瓷托槽和隐形牙套,传统金属托槽性价比高,但美观度较差;自锁托槽可减少复诊次数,缩短治疗周期;陶瓷托槽接近牙齿颜色,兼顾美观与强度;隐形牙套(如时代天使、隐适美)可自行摘戴,舒适度高,但价格较高,适合轻度至中度错颌畸形。
复诊调整通常每4-6周进行一次,医生会检查牙齿移动情况,更换弓丝或调整托槽,确保治疗按计划推进,保定市部分机构提供“复诊提醒”服务,帮助患者按时到院,避免因拖延影响效果。
保持阶段是治疗成功的关键,矫治器拆除后需佩戴保持器(如透明压膜保持器、 Hawley保持器)1-2年,部分患者需长期夜间佩戴,以防复发。
如何选择保定市口腔正畸机构与医生
选择正规机构和专业医生是正畸成功的保障,建议从资质、设备、经验和服务四个维度综合考量。

资质方面,优先选择三级医院口腔科或具备《医疗机构执业许可证》的正规连锁口腔机构,医生需持有正畸专科进修证书或主治医师以上职称,避免选择无资质的“工作室”。
设备方面,数字化设备是现代正畸的核心,如CBCT(三维颌骨成像)、口内扫描仪、数字化方案设计软件等,可提升诊断准确性和治疗精准度,保定市部分机构已引入AI辅助设计系统,可自动生成个性化方案,缩短医生操作时间。
经验方面,医生的临床案例数量和复杂病例处理能力是重要参考指标,可通过机构官网或第三方平台查看医生擅长的错颌类型(如骨性畸形、成人矫正)及患者评价,正畸治疗周期较长(通常1-3年),建议选择沟通顺畅、耐心解答疑问的医生。
服务方面,关注机构的复诊便利性、售后跟踪及应急处理能力,例如是否提供夜间急诊服务、保持器损坏后的免费调整等。
保定市口腔正畸的技术发展与注意事项
近年来,保定市口腔正畸技术向数字化、个性化方向发展,数字化正畸普及率显著提升,口扫、3D打印等技术替代了传统取模和手工弯制弓丝,治疗周期缩短约20%;隐形矫正技术快速发展,时代天使、隐适美等品牌在保定市的合作机构超50家,满足青少年和成年人对美观的需求;微创拔牙、骨钉植入等技术的应用,解决了复杂病例的牙齿移动难题,如骨性龅牙的掩饰性治疗。
正畸过程中需注意以下事项:一是口腔卫生维护,戴托槽后需使用正畸专用牙刷、牙线和冲牙器,避免食物残渣堆积引发龋齿;二是饮食调整,避免食用坚果、硬糖等易损坏矫治器的食物,啃咬类食物(如苹果、鸡腿)需切成小块;三是复诊依从性,随意推迟复诊可能导致牙齿移动停滞,延长治疗时间;四是疼痛管理,初期佩戴矫治器可能出现酸痛,可遵医嘱服用止痛药,进食时选择软食。
保定市口腔正畸服务已形成专业化、数字化的发展格局,从青少年早期干预到成人复杂病例矫正,多样化的技术和方案能满足不同患者的需求,选择正规机构、专业医生,并积极配合治疗与维护,是获得理想效果的关键,随着技术的不断进步,未来保定市口腔正畸将更注重功能与美观的平衡,为市民提供更高效、舒适的矫正体验。
相关问答FAQs
Q1:保定市儿童正畸几岁开始最合适?
A:儿童正畸需分阶段干预:乳牙期(3-5岁)主要纠正口腔不良习惯(如吮指、咬唇),治疗“地包天”等反颌问题;替牙期(6-12岁)是干预的“黄金期”,可利用颌骨生长潜力纠正牙列拥挤、功能性错颌;恒牙早期(11-14岁)牙齿替换完成,颌骨仍有一定生长空间,是固定矫治的常规时期,若存在骨性畸形(如下巴严重后缩),需尽早咨询医生,必要时联合正颌手术。
Q2:成年人正畸会不会有年龄限制?
A:成年人正畸无绝对年龄限制,只要牙周健康、无严重骨性畸形或全身性疾病(如未控制的糖尿病、骨质疏松),均可进行治疗,但成年人牙槽骨改建速度较慢,治疗周期可能比青少年长6-12个月,且需先治疗牙周病、龋齿等基础口腔问题,成年人对美观需求更高,隐形矫正、陶瓷托槽等美观性矫治器更受欢迎,但需注意保持器的佩戴,以防复发。
