正畸是一场关于牙齿与时间的漫长对话,每个人的“故事”时长不同,有的只需一年便初见成效,有的则需四年才能尘埃落定,这两种时长并非简单的“好坏之分”,而是由牙齿状况、矫正目标、个人体质等多重因素共同决定的“定制化旅程”。
正畸一年时,多数人正处于“适应期”与“变化期”的交界,此时的牙齿刚刚挣脱原有的“舒适区”,开始缓慢而坚定地向预定位置移动,对于简单病例,比如轻微拥挤或前突,一年可能已完成排齐的大部分工作:原本杂乱的牙齿逐渐排列成线,咬合的初步改善让吃饭时“塞牙”的频率减少,甚至笑起来时露出的牙齿也更整齐了,但伴随而来的还有各种“成长的烦恼”:刚戴上托槽时口腔溃疡反复造访,需要正畸蜡保护黏膜;说话时偶尔会“大舌头”,需要花一周适应发音;最挑战的是饮食限制——坚果、牛肉干、口香糖成了“禁忌”,连咬苹果都要切成薄片,心理上则像坐过山车:初期因牙齿酸痛不敢用力刷牙而焦虑,中期看到变化时充满期待,后期又因进度放缓(比如关闭拔牙间隙时速度变慢)而怀疑“是不是哪里出了问题”,护理重点也从“适应”转向“坚持”:每天至少花10分钟用正畸刷清洁托槽周围,晚上再用牙线穿梭于牙缝,生怕食物残渣成为“矫正路上的绊脚石”。

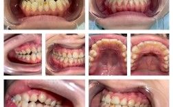
而正畸四年,往往意味着这场“旅程”更为复杂,比如严重的骨性龅牙需要通过拔牙为牙齿内收创造空间,复杂的咬合紊乱需要分阶段调整上下颌关系,甚至成年人的正畸还需配合牙周治疗——这些都需要更长的“工期”,四年里,牙齿的变化是“分阶段”的:第一年主要排齐整平牙弓,第二年集中内收关闭拔牙间隙,第三年精细调整咬合关系,第四年则进入“稳定期”,等待牙槽骨完全改建,此时的体验早已从“适应”变为“习惯”:托槽成了牙齿的“新伙伴”,口腔溃疡几乎不再出现,饮食限制也能灵活应对(比如用剪刀把牛肉干剪成小块),心理上则多了“沉淀”:最初对“铁齿钢牙”的尴尬早已被“再等等就好了”的耐心取代,看到每一阶段的对比照(比如从“地包天”到正常咬合)时,更多的是对坚持的肯定,护理也从“任务”变成“仪式”:每次复查前会仔细清洁牙齿,生怕医生发现没刷干净的角落,保持器的佩戴更是从不懈怠——毕竟四年的付出,容不得半点马虎。
为了更直观对比,以下是正畸一年与四年的核心差异:
| 对比维度 | 正畸一年 | 正畸四年 |
|---|---|---|
| 核心目标 | 排齐牙齿,初步改善咬合 | 精细调整咬合,稳定牙根,骨性改建 |
| 典型体验 | 不适感明显,变化快速,心理波动大 | 适应良好,变化缓慢,心态稳定 |
| 护理重点 | 应对口腔溃疡,学习清洁技巧,避免硬食 | 维持口腔卫生,严格佩戴保持器,定期复查 |
| 心理状态 | 期待与焦虑并存,易受短期进度影响 | 耐心与坚定,更注重长期效果 |
无论是四年还是一年,正畸的本质都是“用时间换笑容”,一年的快速见效让人初尝甜头,四年的漫长坚持则让笑容更稳固,牙齿移动的速度受限于牙槽骨改建的生理规律——就像种树需要时间让根系扎稳,牙齿也需要时间在新位置“安家”,当摘下牙套,看到镜子中整齐的牙齿和协调的咬合时,所有的等待与不适都会化为值得。
FAQs
Q:正畸四年和一年,效果差别大吗?
A:效果是否理想,关键不在于时长,而在于矫正方案是否匹配自身情况,一年适合简单病例(如轻度拥挤、前突),可快速改善美观;四年多用于复杂病例(如骨性问题、严重咬合紊乱),需更长时间精细调整,只要方案合理、配合到位,两者都能达到理想效果,只是复杂病例需要更长的“打磨时间”来确保稳定性和功能性。

Q:正畸过程中如何坚持下来,尤其是面对漫长疗程时?
A:定期与医生沟通,了解每个阶段的目标和进度,明确“为什么需要这么久”;记录变化(如每月拍对比照、记录咬合改善),用可视化成果增强信心;加入正畸社群,与经历相似的人交流,分享经验能缓解焦虑,正畸是“牙齿的马拉松”,每一步都在靠近更健康的笑容。
