口腔正畸治疗中,拍照视频是贯穿全程的核心环节,堪称医生的“第三只眼睛”和患者的“治疗日记”,它不仅是精准诊断的客观依据,更是方案设计、过程监控、疗效评估及医患沟通的重要载体,从初诊到保持期,每一阶段的图像资料都承载着关键信息,直接关系到正畸治疗的安全性与有效性。
口腔正畸拍照视频的核心价值
正畸治疗的核心是“精准移动牙齿、改善咬合与面型”,而牙齿、颌骨、面部软组织的形态与动态关系复杂,仅靠口腔检查难以全面捕捉,拍照视频通过多角度、多模态的记录,实现了从“主观判断”到“客观量化”的跨越,初诊时的口内照片可清晰显示牙齿排列拥挤度、龋坏、牙周状况,而动态视频则能记录患者自然咬合、张闭口时的下颌运动轨迹,帮助判断是否存在关节紊乱或咬合干扰,治疗过程中,定期拍摄的对比影像能让医生实时评估牙齿移动速度、支抗稳定性,及时调整方案;患者也能通过直观的影像理解治疗进展,增强依从性,完整的影像资料还是法律文书的重要组成,为治疗安全提供保障。

常用类型及拍摄内容
正畸影像分为静态照片与动态视频两大类,二者相互补充,共同构建全面的诊断与监控体系。
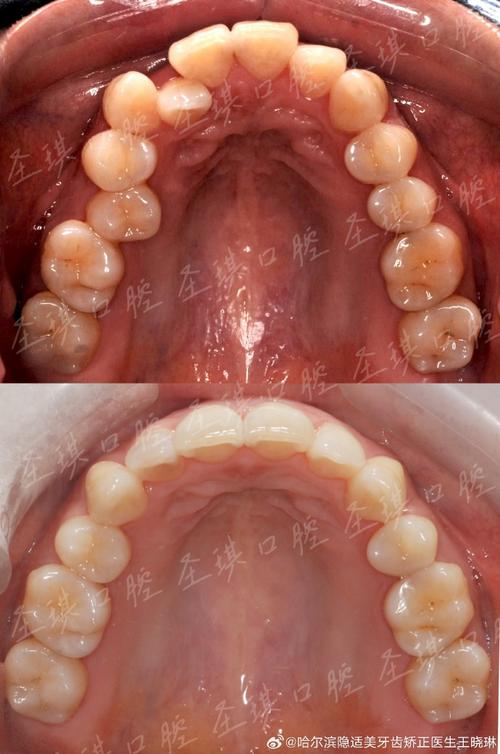
(一)静态照片:记录形态细节
| 拍摄类型 | 拍摄目的 | 拍摄要点 | 示例说明 |
|---|---|---|---|
| 口内正面照 | 观察牙齿排列对称性、中线对齐情况 | 患者端坐,双眼平视,上下牙自然轻触,牵拉口角暴露前牙区,镜头与牙弓平面平行 | 可见上颌中切牙向腭侧倾斜,下颌中线偏移1mm |
| 口外右侧45°照 | 评估面部对称性、颊脂垫丰满度、微笑曲线 | 患者头部自然转向右侧,双眼平视前方,双唇自然闭合或自然微笑,镜头与面部平面成45° | 对比两侧颊部是否对称,微笑时上唇露牙量及牙龈暴露是否协调 |
| 上颌牙弓𬌗面照 | 显示后牙咬合关系、牙弓形态、龋坏情况 | 用反光板或牵拉器拉开颊部,镜头垂直于上颌牙弓平面,清晰暴露全牙列𬌗面 | 可见上颌第一磨牙中性𬌗,第二磨牙尚未萌出,牙弓呈尖圆形 |
| 下颌左侧运动照 | 记录下颌侧向运动轨迹、早接触点 | 患者下颌向左侧做最大幅度运动,镜头从左侧拍摄,捕捉下颌移动过程中牙齿接触情况 | 可见下颌向左侧移动时,左侧后牙出现早接触,可能导致下颌偏斜 |
(二)动态视频:捕捉功能变化
动态视频主要记录口腔功能状态,弥补静态照片无法捕捉的瞬时信息,自然咬合-最大张口-闭口循环视频”,可观察患者张口度是否正常(正常约3.7-4.5cm),张口型有无偏斜,闭口时牙齿是否沿正确路径回到咬合位;“前伸后退运动视频”则能分析下颌前伸时前牙是否形成切对切关系,后退时能否回到中性𬌗位,判断是否存在𬌗干扰,对于隐形矫治患者,“咀嚼运动视频”还可评估牙齿在动态咬合中的移动效果,确保附件设计合理性。
拍摄规范与操作要点
正畸影像的准确性直接影响诊断结果,因此拍摄需严格遵循规范:
- 设备选择:专业单反相机或口腔专用相机,配备环形闪光灯(避免阴影)、定焦镜头(如60mm macro)确保清晰度;视频拍摄建议使用4K分辨率,捕捉动态细节。
- 体位控制:患者头部与相机保持稳定,采用“法兰克福平面”(眼耳平面)与地面平行作为基准线;口内拍摄时,牵拉器动作轻柔,避免压迫牙龈导致变形。
- 光线管理:以自然光或柔和环形光为主,避免强光直射或逆光;口内照需使用反光板,均匀照亮舌侧及深部区域。
- 参数设置:照片模式采用小光圈(f/8-f/11)保证景深,快门速度不低于1/125秒避免手抖;视频模式帧率建议25fps,确保流畅度。
临床应用场景
- 初诊建档:全面拍摄口内外照片及功能视频,建立“治疗基线数据库”,作为方案设计的核心依据,通过头颅侧位片与口外侧面照结合,可测量SNA、SNB等骨性指标,判断颌骨发育情况。
- 方案沟通:将模拟治疗后的影像(如数字化设计后的牙齿排列效果图)与初诊资料对比,直观向患者展示预期效果,解释拔牙、扩弓等治疗必要性,提升沟通效率。
- 治疗监控:每3-6个月拍摄“阶段对比照”,重点关注关键牙齿移动进度(如内收切牙、压低磨牙),若发现移动异常(如牙根吸收、支抗丧失),及时干预调整。
- 结束复查:拍摄治疗结束后的口内外影像,与初诊资料进行“治疗前后对比”,从牙齿排列、咬合关系、面部美学等多维度评估疗效,作为长期随访的参考。
患者配合注意事项
患者配合是获取高质量影像的关键:拍摄前需清洁口腔,避免食物残渣影响图像清晰度;口内拍摄时放松舌头,避免抵触镜头或肌肉紧张导致牙齿移位;拍摄过程中听从医生指令调整体位(如转头、微笑、张闭口),确保一次性完成,正畸影像涉及个人隐私,患者有权要求医院对资料严格保密,仅用于治疗目的。

相关问答FAQs
Q1:口腔正畸为什么要拍这么多照片和视频?是不是过度检查?
A:并非过度检查,正畸治疗是“三维空间中的精细调控”,牙齿在牙槽骨内的移动、颌骨的位置关系、面部软组织的变化均需多角度、多时期的影像记录,一张口内𬌗面照可发现后牙咬合高点,一段张口视频能排查颞下颌关节问题,这些信息仅靠肉眼检查难以全面捕捉,完整的影像资料是医生制定个性化方案、监控治疗安全、确保疗效的根本保障,直接关系到治疗结果的稳定性和美观性。
Q2:自己在家能拍正畸照片视频吗?需要注意什么?
A:专业正畸影像需特定设备(如环形闪光灯、反光板)和拍摄技巧,家庭拍摄难以达到诊断要求,但若需在家记录治疗进展(如牙齿变化、面型改善),可参考以下方法:①使用手机后置摄像头(关闭美颜),在自然光充足环境下拍摄;②口外照:端坐面对镜头,双眼平视,自然微笑或放松,拍摄正面、左右侧面;③口内照:用干净纱布牵拉嘴角,镜头对准牙齿,保持稳定;④视频:缓慢张闭口、左右咀嚼,避免晃动,需注意,家庭影像仅作参考,不能替代复诊时的专业检查,若发现异常(如牙齿疼痛、关节弹响)需及时就医。

