口腔正畸对比照片是正畸治疗中记录牙齿移动、面部变化及矫治效果的核心工具,贯穿治疗前、治疗中及治疗后的全过程,通过标准化拍摄的照片,医生可精准评估牙齿排列、咬合关系、面部对称性等指标,患者也能直观感受治疗进展,形成医患间的有效沟通桥梁。
口腔正畸对比照片的核心类型
口腔正畸对比照片主要分为口内照与面部照两大类,二者结合才能全面反映牙齿与面部的协同变化。

口内照
口内照聚焦牙齿、牙列及咬合细节,是判断牙齿移动精度的关键,具体包括:
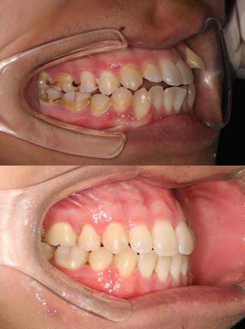
- 正面牙列照:拍摄上下颌牙齿正面观,观察牙列中线是否对齐、牙齿拥挤/间隙情况、左右对称性。
- 左右侧牙列照:分别拍摄上下颌左右侧,重点评估牙齿扭转、倾斜度及颊舌向位置变化。
- 上下颌咬合照:拍摄正中咬合位(上下牙完全咬合时),观察覆合(上牙覆盖下牙的垂直距离)、覆盖(上牙覆盖下牙的水平距离)是否正常,有无深覆合、深覆盖、反颌(“地包天”)等问题。
- 曲面断层片(全景片):虽非传统照片,但作为影像学对比,可显示牙根位置、牙槽骨状况及恒牙发育情况,是口内照的重要补充。
面部照
面部照反映正畸对面部轮廓、比例及微笑的影响,尤其对涉及骨性畸形或美学改善的患者至关重要,具体包括:
- 面下1/3正面照:拍摄鼻底至颏部的正面区域,观察唇部对称性、微笑露齿量、颊部饱满度及面部中线是否一致。
- 45°角侧面照:拍摄面部左右45°斜侧面,评估侧貌突度(鼻唇颏关系)、颏部形态及下颌平面是否协调。
- 自然微笑照:记录患者大笑时的牙齿暴露量、牙龈显露程度及微笑弧度,评估微笑美学改善情况。
对比照片的拍摄时间节点与意义
正畸治疗的不同阶段需拍摄对应照片,形成动态对比链,确保治疗方向可控。
| 治疗阶段 | 拍摄时间 | 核心对比意义 |
|---|---|---|
| 治疗前基线照 | 矫治方案确定前 | 记录原始畸形状态(如牙列拥挤、反颌、面部不对称),作为后续效果评估的“基准线”。 |
| 矫治中阶段性照 | 每3-6个月一次 | 监测牙齿移动进度(如拥挤解除程度、牙齿内收速度),及时调整矫治力或方案。 |
| 治疗后拆除矫治器照 | 矫治器拆除当天 | 记录牙齿最终排列、咬合关系及面部改善效果,确认是否达到预期矫治目标。 |
| 保持期随访照 | 拆除矫治器后3个月、6个月、1年 | 观察牙齿稳定性(有无复发趋势),牙龈及牙槽骨适应情况,确保长期效果维持。 |
拍摄对比照片的关键注意事项
为保证照片的可对比性,拍摄时需严格遵循标准化规范,避免因角度、光线差异导致误判。

- 固定拍摄参数:使用单反相机或专业口腔摄影设备,固定焦距(如50mm微距镜头)、光圈(f/8-f/11)及ISO(100-400),避免因参数变化导致清晰度、色彩差异。
- 统一患者体位:患者头部固定于头颅定位仪,法兰克平面(眼耳平面)与地面平行,正面照时患者双眼平视,侧面照时耳屏与眶下缘连线垂直于地面。
- 标准化辅助工具:口内照使用反光板拍摄舌侧牙齿,咬合纸记录咬合接触点,面部照使用统一背景(如灰色渐变幕布),避免阴影干扰。
- 自然状态记录:微笑照需捕捉患者自然大笑状态,避免刻意“假笑”,确保真实反映面部肌肉协调性。
对比照片的临床应用价值
- 医患沟通的“可视化语言”:通过治疗前后的对比照片,医生可直观向患者解释畸形原因、治疗预期及进展,减少信息不对称,提升患者依从性。
- 矫治方案调整的“客观依据”:若治疗中牙齿移动缓慢或出现偏差(如牙根吸收、咬合干扰),通过对比照片可快速定位问题,调整矫治器或加力方式。
- 效果评估的“金标准”:治疗后对比照片是判断矫治成功与否的核心指标,如牙齿排列整齐度、咬合功能稳定、面部美学改善等,需符合正畸健康标准(牙颌面美观、功能、稳定)。
相关问答FAQs
Q1:为什么正畸治疗中需要定期拍摄对比照片?仅仅靠复诊时不够吗?
A:定期拍摄对比照片是正畸治疗质量控制的关键环节,复诊时医生通过口内检查只能获取“即时”信息,而对比照片能动态记录牙齿移动的“轨迹”——通过3个月与6个月的侧位照对比,可量化牙齿内收的距离、牙轴倾斜度的变化,判断移动是否符合生物力学预期,部分问题(如轻微扭转、咬合干扰)在口内检查中易被忽略,而照片可放大细节,避免遗漏,照片与临床检查结合,才能实现精准的进度监控与方案调整。
Q2:正畸对比照片能看出哪些具体的牙齿和面部变化?普通人如何通过照片判断效果?
A:对比照片可多维度反映矫治效果:
- 牙齿层面:排列整齐度(拥挤解除、间隙关闭)、牙齿位置(扭转牙矫正、高低牙调平)、咬合关系(深覆合/深覆盖改善、反颌矫正、中线对齐)。
- 面部层面:侧貌突度(“凸嘴”改善)、唇部形态(自然闭合、微笑时露齿量协调)、面部对称性(下颌偏斜纠正)。
普通人可通过对比观察:① 治疗前是否有“地包天”“龅牙”等明显畸形,治疗后是否消失;② 微笑时牙齿是否整齐,牙龈是否过度暴露(“牙龈笑”);③ 侧面看鼻尖、嘴唇、下巴是否在一条协调的连线上,若这些指标较治疗前显著改善,通常说明矫治效果良好。

