正畸卡环是固定矫治器中的重要辅助部件,主要用于固位、支抗辅助及牙齿移动的精准控制,其弯制质量直接影响矫治效果,由于卡环形态复杂,涉及多个角度和弧度的精细调整,临床操作中常依赖弯制图片作为直观指导,帮助医生准确掌握步骤与技巧。
正畸卡环通常选用直径0.6-1.2mm的不锈钢丝或镍钛丝,根据牙齿位置和功能需求分为单臂卡环、连续卡环、箭头卡环等类型,弯制前需结合患者口腔模型或口内影像,设计卡环的连接体位置、卡环臂形态及支托大小,确保与牙面贴合且不妨碍咬合,弯制图片在此阶段的关键作用在于展示标准设计图,例如连接体应位于邻面接触点下方的1/3处,避免压迫牙龈;卡环臂的游离端需与牙面形成2-3mm的间隙,以保证弹性与固位力。

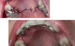
弯制过程可分为四个核心步骤,每个步骤均可通过图片清晰呈现,第一步是形成连接体:将弓丝弯制成“U”形,置于邻面龈沟内,图片需展示连接体与牙面贴合的紧密状态,避免过度压迫导致牙龈萎缩,第二步是弯制卡环臂:用钳子将弓丝沿牙面弧度弯制,形成类似“C”形的臂部,图片中需标注卡环臂的切入角(通常为20°-30°),角度过小会导致固位力不足,过大则可能刺伤黏膜,第三步是制作支托:在卡环末端弯制与牙面窝点状接触的支托,图片需强调支托的“匙形”形态,边缘圆钝以分散咬合力,第四步是整体调整:将弯制完成的卡环戴入模型,检查与牙面的密合度,图片可通过对比展示调整前后的差异,如卡环臂与牙面的均匀间隙、支托的稳定接触等。
不同牙齿位置的卡环弯制存在差异,可通过表格对比常见类型的特点与弯制要点,上颌第一磨牙常用改良箭头卡环,其弯制需注意箭头尖位于颊面中央窝,图片需展示箭头与牙尖的相对位置;前牙连续卡环则需弯制平滑的弧线,避免转折处锐利,图片可突出弧线的连续性与牙龈保护,弯制错误案例的图片对比尤为重要,如卡环臂角度过大导致的脱落、支托过高引发的咬合痛,这些直观图像能帮助医生快速识别并规避问题。
临床实践中,弯制图片还可作为教学工具,通过分步骤示意图(如原始弓丝→连接体形成→卡环臂弯制→支托添加→成品卡环)展示完整流程,配合文字说明关键动作要领,弯制卡环臂时需用三用钳夹住弓丝,以牙面为参照缓慢弯曲,避免用力过猛导致弓丝变形,图片中可标注钳子的握持位置与施力方向。
注意事项方面,弯制前需对弓丝进行退火处理,增加柔韧性;弯制过程中避免反复折弯同一部位,以防金属疲劳;完成后需用砂纸磨光尖锐边缘,确保患者舒适,这些细节在高质量弯制图片中均有体现,如退火后弓丝的光泽变化、磨光后的表面状态等。

正畸卡环弯制图片通过可视化步骤、形态标注及错误对比,为医生提供了精准的操作指导,是提升弯制效率与质量的重要辅助工具,掌握图片中的关键要点,结合临床实践,才能弯制出符合生物力学原理且舒适耐用的卡环,为正畸治疗的成功奠定基础。
相关问答FAQs
-
问:正畸卡环弯制时如何避免卡环臂刺伤牙龈?
答: 首先需确保卡环臂的游离端与牙面保持2-3mm的均匀间隙,避免过度压迫牙龈;弯制时用钳子将末端弯制成圆钝弧形,而非尖锐直角;完成后用砂纸或抛光轮轻轻打磨边缘,去除毛刺,图片中标注的“卡环臂与牙龈缘距离≥1mm”可作为参考标准,确保形态安全。 -
问:弯制后卡环固位力不足怎么办?
答: 固位力不足多与卡环臂角度或贴合度有关,可通过调整卡环臂的切入角(增大至30°-40°),增强与牙面的抱合力;检查连接体是否位于邻面接触点下方,若位置过高需重新弯制;用模型试戴时,若发现卡环与牙面间隙过大,可用钳子轻轻加压卡环臂,使其与牙面更贴合,图片中的“标准卡环臂角度示意图”和“调整前后对比图”可作为调整依据。
(图片来源网络,侵删)
