正畸治疗中,加弹簧是常见的辅助装置,主要用于施加持续、可控的矫治力,帮助牙齿按预定方向移动,解决牙齿拥挤、间隙关闭、牙齿扭转等问题,弹簧的选择和使用需根据患者的具体口腔状况和治疗方案设计,其材料、力量大小和作用方式直接影响矫治效果。
常见的正畸弹簧主要有镍钛螺旋弹簧、不锈钢拉簧和钛合金弹簧等,不同材料特性各异:镍钛螺旋弹簧具有超弹性,力量柔和且持续,适合需要轻力持续移动的场景,如关闭小间隙;不锈钢拉簧力量稳定可控,但弹性略逊于镍钛,常用于需要较大力量移动牙齿的情况,如后牙前移;钛合金弹簧兼具良好的生物相容性和弹性,适合对金属敏感或需长期使用的患者,以下是不同类型弹簧的对比:

| 弹簧类型 | 材料特性 | 力量特点 | 适用场景 |
|---|---|---|---|
| 镍钛螺旋弹簧 | 超弹性,形状记忆效应 | 柔和、持续、力量衰减慢 | 关闭拔牙间隙、小幅度移动 |
| 不锈钢拉簧 | 弹性模量高,强度大 | 力量稳定、可控性强 | 后牙前移、大幅度移动 |
| 钛合金弹簧 | 生物相容性好,弹性适中 | 力量温和、持久 | 金属敏感患者、长期矫治 |
弹簧的工作原理基于生物力学,通过施加持续轻力(通常为50-200g)作用于牙齿,刺激牙槽骨改建,压力侧牙槽骨吸收,牵引侧牙槽骨增生,从而使牙齿缓慢移动,持续力是关键,若力量过大或间歇性施力,可能导致牙根吸收或牙齿松动;力量过小则移动效率低,延长治疗时间。
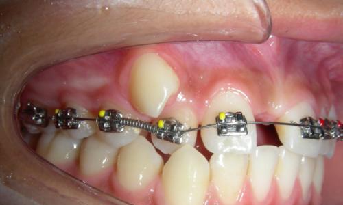
临床应用中,弹簧常用于关闭拔牙后的间隙(如拔除第一前磨牙后,用弹簧牵引尖牙向远中移动)、集中散在间隙(将分散的小间隙集中后统一关闭)、纠正牙齿扭转(通过弹簧产生扭转力)等,在关闭上颌拔牙间隙时,医生会在两侧磨牙上放置带环或托槽,然后将镍钛螺旋弹簧挂入托槽钩,利用弹簧的回弹力持续拉动尖牙和双尖牙向远中移动,直至间隙关闭。
使用弹簧期间,患者需特别注意口腔卫生,弹簧周围易藏匿食物残渣,若清洁不到位,易引发牙龈炎、龋齿等问题,建议使用正畸专用牙刷、牙缝刷和冲牙器加强清洁,饮食上需避免过硬、黏性食物(如坚果、口香糖),防止弹簧变形或脱落,需严格遵医嘱定期复诊,医生会检查弹簧力量、牙齿移动情况,必要时调整或更换弹簧,确保矫治效果。
部分患者在加力初期会出现牙齿酸痛、咀嚼无力,这是正常现象,通常3-5天会缓解,可遵医嘱服用止痛药,进食软食,若弹簧末端刺伤黏膜,可用正畸蜡覆盖其尖锐部位;若发现弹簧脱落或变形,需及时联系医生处理,切勿自行调整。

相关问答FAQs
Q1:正畸加弹簧后牙齿酸痛多久能缓解?
A:加力后牙齿酸痛通常在3-5天内逐渐缓解,这是因为牙齿受到持续轻微力后,牙周组织产生生理性改建,属于正常反应,期间可避免用患侧咀嚼,进食温凉软食,疼痛严重时可遵医嘱服用布洛芬等非处方止痛药,若超过一周疼痛无缓解或加重,需及时复诊检查是否有力量过大或牙齿移动异常。
Q2:弹簧脱落了怎么办?
A:弹簧脱落可能导致矫治中断或牙齿移位,需立即联系医生,脱落前可先用正畸蜡覆盖托槽或弓丝上的尖锐部位,防止口腔黏膜受伤,并保存脱落的弹簧(若完整),复诊时带给医生,切勿自行尝试重新安装,以免损伤牙齿或矫治装置,医生会检查脱落原因(如饮食不当、托槽脱落等),并重新安装或调整弹簧,确保治疗按计划进行。

