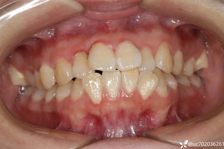
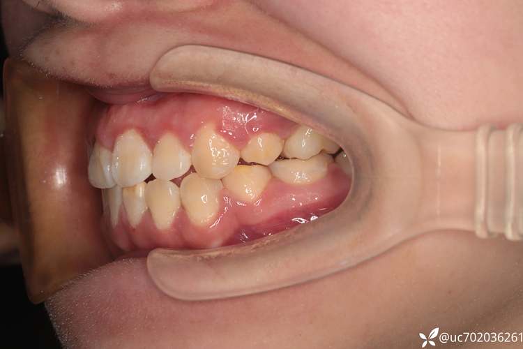
正畸治疗中,“高低角”是判断患者面部垂直向生长型的重要指标,直接影响拔牙方案的设计,高低角主要通过头影测量中的下颌平面角(MP-FH,下颌平面与眶耳平面夹角)和面部高度比(如前面高与后面高之比)来界定:高角者下颌平面角>32°,表现为长面型、下颌平面顺时针旋转、咬合可能开露;低角者下颌平面角<22°,呈短面型、下颌平面逆时针旋转、咬合常深覆;均角者则介于两者之间,拔牙作为正畸解决严重拥挤、改善突度的关键手段,在高、低角患者中需遵循截然不同的原则,以避免加重垂直向不调。
高角患者的拔牙决策需格外谨慎,由于垂直向发育过度,拔牙可能进一步加剧下颌平面顺时针旋转,导致开露、下面高增加,甚至加重“长面型”外观,高角患者的拔牙指征更严格,通常需满足:牙列严重拥挤(如拥挤度>10mm)、 Bolton指数不调、存在明显的II类或III类错颌畸形,且非拔牙矫治无法解决垂直向与矢状向问题,拔牙模式上,优先考虑拔除上颌第一前磨牙(如4|4),通过前牙内收改善突度的同时,利用“钟摆效应”轻度压低上前牙,抑制下颌旋转;下颌拔牙需谨慎,若需拔除,多选择第二前磨牙(如5|5),以减少对下颌支高度的干扰,高角患者拔牙后需配合垂直向控制措施,如使用横腭杆、种植支抗等压低后牙,避免后牙伸长加重开露。

低角患者的拔牙风险则在于垂直向不足,其下颌平面本身呈逆时针旋转趋势,拔牙后若支抗控制不当,可能导致后牙伸长、下颌平面角进一步减小,使面型更显短促、下颌后缩,低角患者的拔牙需满足更严格的矢状向指征,如前牙突度(U1-APg)>8mm、深覆Ⅱ°以上、存在严重拥挤或牙弓宽度不调,且需评估关节适应性(避免颞下颌关节负向移位),拔牙模式上,优先选择拔除下颌第一前磨牙(如4|4),通过下牙弓内收改善深覆,同时利用上颌后牙的“支抗效应”轻度伸长上颌磨牙,平衡垂直向高度;若需上下颌对称拔牙,可拔除第一前磨牙(如4|4, 4|4),但需加强后牙支抗,防止后牙过度伸长。
均角患者的拔牙决策相对灵活,主要依据牙列拥挤度和侧貌突度,若拥挤度>8mm且前牙突度正常,可拔除第一前磨牙;若存在II类1分类错颌(上颌前突、下颌后缩),可拔除上颌第一前磨牙+下颌第二前磨牙,以协调上下牙弓;III类错颌则需结合骨面型,若为牙性III类,拔除下颌第一前磨牙可改善反颌。
| 面型特征 | 拔牙倾向 | 风险考量 | 关键措施 |
|---|---|---|---|
| 高角(长面型) | 谨慎拔牙,优先上颌 | 避免加重开颌,垂直向伸长 | 种植支抗压低后牙,非对称拔牙 |
| 均角 | 灵活,根据拥挤和突度决定 | 平衡前后牙关系,软侧貌协调 | 对称拔牙+精细支抗控制 |
| 低角(短面型) | 严格指征,优先下颌 | 避免面型过短,垂直向压低 | 强支抗防止后牙伸长,下颌前磨牙拔除 |
综上,高低角患者的拔牙方案需基于垂直向生长型、矢状向错颌类型、牙列拥挤度等多因素综合设计,核心目标是平衡面部比例与咬合功能,而非单纯解决拥挤。
FAQs
Q1:高角患者一定不能拔下颌牙吗?
A:并非绝对,若高角患者存在严重的下颌牙弓拥挤或III类错颌(如下颌前牙拥挤导致反颌),且上颌已拔牙仍无法解决问题时,可谨慎拔除下颌第二前磨牙(如5|5),因第二前磨牙靠近磨牙区,对下颌支高度影响较小,同时需配合上颌种植支抗压低后牙,防止垂直向恶化。

Q2:低角患者拔牙后如何避免面型变短?
A:低角患者拔牙后需严格控制后牙支抗,避免后牙伸长,可通过以下措施实现:① 使用强支抗装置(如微型种植钉、腭杆)压低或直立后牙;② 采用“摇椅形弓丝”内收前牙的同时,轻度伸长上颌后牙,平衡垂直向高度;③ 定期头影测量监控下颌平面角变化,及时调整矫治力方向。

