全口正畸是一个系统化、精细化的口腔治疗过程,通过外力引导牙齿在牙槽骨内缓慢移动,最终达到排列整齐、咬合协调、面部美观的目的,在整个矫正周期中,图片资料不仅是医生诊断和制定方案的核心依据,也是患者了解治疗进展、参与决策的重要媒介,从初诊检查到最终保持,不同阶段的图片记录着牙齿和颌骨的动态变化,让复杂的矫正过程变得可视化、可追溯。
初诊检查与数据采集是全口正畸的第一步,这一阶段的目标是全面评估患者的口腔状况,包括牙齿排列、咬合关系、颌骨发育、牙周健康及面部美学等,医生需要拍摄多角度的口内照片,包括正面微笑照、正面自然照、左右侧位照、上下颌咬合面照,这些照片能直观显示牙齿的拥挤度、扭转情况、中线偏斜、牙间隙等问题,全景片(曲面断层片)用于观察全口牙齿的形态、牙根位置、牙槽骨密度以及是否存在埋伏牙、多生牙、根尖病变等异常,头颅侧位片则是正畸诊断的关键,通过测量骨骼角度(如AN角、SN角)、牙齿倾斜度(如U1-SN角)、上下颌关系等数据,判断患者是否存在骨性畸形(如地包天、龅牙)以及牙齿与骨骼的协调性,还需制取石膏模型或进行数字化口内扫描,获取牙齿的3D形态数据,模型上可标记出牙齿的拥挤度、Spee曲线深度等具体指标,这一阶段的图片资料共同构成“诊断档案”,帮助医生全面评估病例难度,制定初步治疗方案。

方案设计是正畸治疗的核心环节,医生需结合初诊数据与患者诉求,设计个性化的矫正方案,传统托槽矫正中,医生会在石膏模型上用红蓝铅笔标记出牙齿移动的标记点,绘制“弓丝弯制图”,明确每颗牙齿的移动方向和距离;而隐形矫正则通过数字化软件(如Invisalign、Spark)生成3D模拟动画,展示牙齿从初始状态到理想状态的完整移动过程,包括每一步的牙套形态、牙齿扭转角度、咬合关系变化等,医生会向患者展示“方案对比图”,即矫正前后的牙齿排列、面部微笑曲线、咬合接触点的对比,甚至通过预测软件模拟矫正后面部轮廓的变化(如下巴前伸、嘴唇内收等效果),对于需要拔牙的患者,还会通过图片说明拔牙原因(如解除拥挤、内收前牙)以及拔牙后的间隙利用方式,这一阶段的图片不仅是医生与患者沟通的“语言”,更是患者确认治疗目标、签署知情同意的重要依据,确保医患双方对矫正效果达成共识。
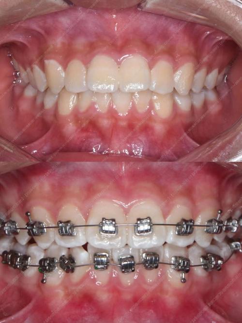
矫治器粘接与初期适应标志着矫正正式开始,传统矫正中,医生会通过口内照片记录粘接托槽前的牙齿状态,然后逐个将金属托槽或陶瓷托槽用树脂粘接在牙齿表面,粘接完成后再次拍摄口内照片,确保托槽位置准确(如托槽槽沟与牙长轴平行,高度一致),隐形矫正则需要根据方案打印3D打印牙套,患者收到牙套后,医生会指导其正确佩戴,并通过照片记录牙套与牙齿的贴合度,确保牙套完全包裹牙齿且无压迫感,初戴矫治器后的1-2周,患者可能出现牙齿酸胀、口腔黏膜溃疡等不适,此时医生会通过对比初戴照片与当前照片,判断是否因托槽边缘尖锐或牙套过厚导致黏膜刺激,并给予相应的处理(如调整托槽边缘、打磨牙套边缘),这一阶段还会拍摄面部自然照和微笑照,作为矫正过程中的“基线照片”,用于后续对比面部软组织的变化。
定期复诊与动态调整是矫正周期中最漫长的阶段,通常每4-6周复诊一次,每次复诊时,医生会拍摄新的口内照片与初诊照片、上次复诊照片进行对比,重点观察牙齿的移动情况:是否按计划排齐、是否出现扭转、咬合关系是否改善等,在拥挤排齐阶段,对比照片可清晰显示牙缝逐渐关闭、牙齿扭转角度减小;在关闭拔牙间隙阶段,通过咬合面照片可观察到前牙内收程度、后牙前移距离,医生还会根据对比结果调整治疗方案,如更换更粗的弓丝、增加牵引橡皮筋、调整托槽位置等,对于隐形矫正患者,每次更换新牙套时,会拍摄佩戴前后的照片,确认牙齿是否按3D模拟路径移动,若出现移动偏差,可通过附件(小树脂凸点)或重做牙套进行纠正,这一阶段的图片资料形成“动态档案”,让医生能实时监控矫正进展,及时调整方案,确保治疗效果。
矫治结束与保持器佩戴是全口正畸的最后阶段,当牙齿达到理想位置、咬合关系稳定后,医生会拆除矫治器,拆除前拍摄“拆除前”口内照片,记录最终矫正效果;拆除托槽或隐形牙套后,再次拍摄“拆除后”照片,展示牙齿的排列、咬合及面部微笑的变化,随后,医生会制取保持器模型(传统保持器如Hawley保持器、透明压膜保持器),并通过照片向患者说明保持器的重要性——牙齿在新的位置尚未稳定,需通过佩戴保持器防止复发,患者需在拆除矫治器后定期复查(如第1、3、6个月,之后每半年一次),每次复查时拍摄口内照片,检查牙齿是否有移位、咬合是否稳定,确保长期效果。

为了更清晰地展示全口正畸过程中复诊阶段的图片应用,以下表格列出不同复诊周期的主要操作与对应图片内容:
| 复诊周期 | 主要操作 | 对应图片内容 | 图片作用 |
|---|---|---|---|
| 排齐阶段(1-6个月) | 更换弓丝、调整托槽位置 | 初诊、上次复诊、本次复诊的口内咬合面照、侧位照 | 观察牙缝关闭、牙齿扭转纠正情况 |
| 关闭拔牙间隙阶段(7-12个月) | 添加牵引橡皮筋、更换滑动弓丝 | 拔牙区牙根X光片、牙齿近远中移动对比照 | 监控拔牙间隙关闭速度、牙根平行度 |
| 咬合精细调整阶段(12-18个月) | 个别牙托槽重粘、颌间牵引 | 咬合接触点照片、面部微笑动态照 | 检查咬合稳定性、面部对称性改善 |
全口正畸过程中的图片资料,从初诊的诊断依据到最终的效果展示,贯穿始终,不仅为医生提供了精准的治疗导航,也让患者能直观看到自己的变化,增强治疗信心,随着数字化技术的发展,口内扫描、3D模拟、AI预测等图片工具的应用,让正畸治疗更加精准、高效,也为患者带来了更好的治疗体验。
相关问答FAQs
Q1:全口正畸过程中需要拍多少次口内照片?每次拍摄有什么重点?
A:全口正畸过程中,口内照片的拍摄次数因矫正方案和个体差异而异,通常包括初诊、每次复诊、拆除矫治器及保持器复查等阶段,总次数约10-20次,初诊照片需全面记录牙齿排列、咬合、面部情况;复诊时重点对比牙齿移动进度(如排齐度、间隙关闭情况);拆除矫治器时记录最终效果;保持期则监控牙齿稳定性,每次拍摄需保持角度一致(如正面、侧面、咬合面),确保对比的准确性。

Q2:矫正过程中如果牙齿移动缓慢,通过图片能发现什么原因?
A:牙齿移动缓慢时,对比不同时期的口内照片和X光片,可帮助定位原因,若口内照片显示牙套与牙齿不贴合(隐形矫正)或托槽位置偏移(传统矫正),可能因矫治器问题导致;若咬合面照片显示牙齿与对颌牙过早接触,可能存在咬合干扰;X光片若显示牙根周围骨密度降低或牙根吸收,则可能与牙周健康或个体骨代谢有关,医生通过这些图片分析,可及时调整方案(如调整牵引力、治疗牙周问题)以促进牙齿移动。
