成人牙齿矫正已成为越来越多追求口腔健康与美观人群的选择,与青少年矫正不同,成人矫正需兼顾骨骼发育完成、口腔状况复杂及美观需求等多重因素,其中牙套的选择直接影响矫正效果与体验,目前主流的成人矫正牙套可分为传统金属牙套、陶瓷牙套、隐形牙套及舌侧牙套,每种类型在材质、舒适度、美观性及适用范围上各有特点,需结合个人需求综合考量。
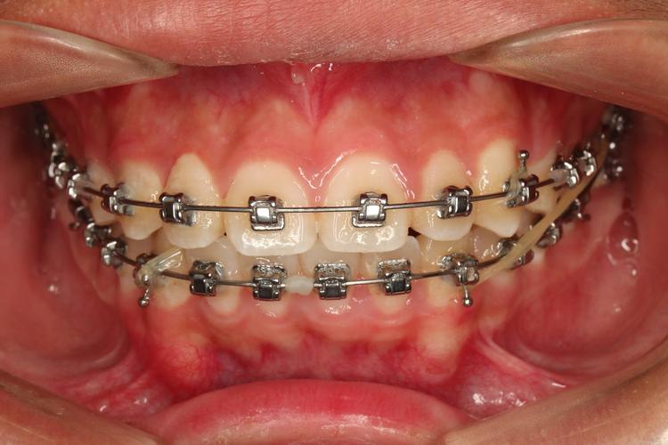
传统金属牙套是历史最久的矫正方式,通过金属托槽与弓丝施加力量,移动牙齿,其优点在于矫正力度强,适用于复杂错颌畸形(如牙齿严重拥挤、深覆颌等),且价格亲民,性价比高;缺点是美观性差,金属托槽明显易影响社交自信,且初期可能存在口腔黏膜刮擦不适,陶瓷牙套则在传统基础上升级,托槽采用透明陶瓷材质,接近牙齿颜色,美观度提升,同时保持较强的矫正力度;但陶瓷材质脆性较高,咬硬物时易脱落,且价格略高于金属牙套,适合对美观有一定要求、矫正难度中等的成人。

隐形牙套是近年来最受欢迎的成人选择,通过3D打印技术定制一系列透明牙套,每副牙套轻微移动牙齿,每1-2周更换一次,其最大优势是美观性极佳,佩戴时几乎不可见,且可自由摘戴,不影响饮食与口腔清洁;缺点是价格较高(通常为传统牙套的2-3倍),对患者的自律性要求高(需每天佩戴20小时以上),且对严重骨骼性问题矫正效果有限,舌侧牙套则是“隐形”的极致,将托槽粘在牙齿舌侧面,完全隐藏于口腔内侧,美观性最佳;但技术难度大、费用高昂(可达传统牙套的5倍以上),且初期可能影响发音、口腔清洁难度极高,适合对美观要求极致且预算充足的成人。
成人选择牙套时,需综合评估矫正难度、预算、美观需求及生活习惯,简单牙列不齐可优先考虑隐形牙套,复杂畸形则可能需传统或陶瓷牙套;经常社交的职业人群更适合隐形或舌侧牙套;预算有限者可权衡传统金属牙套的性价比,矫正前需进行全面的口腔检查,包括牙周健康评估(若有牙周病需先治疗)、X光片分析等,确保矫正安全。
矫正过程中,口腔卫生维护至关重要,传统牙套需使用正畸专用牙刷、牙缝刷配合冲牙器,避免食物残渣堆积引发龋齿或牙周炎;隐形牙套虽可摘戴,但仍需每天清洁牙套及牙齿,避免饮用染色饮料(如咖啡、红酒)导致牙套变色,复诊频率也需严格遵循,传统牙套每4-6周调整一次,隐形牙套每6-8周更换新牙套并复诊,确保牙齿按计划移动。
相关问答FAQs

Q1:成人矫正有年龄限制吗?超过40岁还能矫正吗?
A1:成人矫正没有绝对年龄上限,关键在于牙周健康状况,若牙周健康(无严重骨吸收、牙龈萎缩等),60-70岁也可进行矫正;但若存在牙周病,需先系统治疗控制病情,待稳定后再矫正,成人骨骼已停止发育,对于严重的骨骼性问题(如地包天、开颌等),单纯正畸效果有限,可能需结合正颌手术,矫正前需医生全面评估。
Q2:矫正后牙齿会反弹吗?如何避免?
A2:牙齿矫正后存在反弹风险,尤其是矫正前有牙齿前突、牙缝过大等问题者,为避免反弹,必须佩戴保持器:一般拆除牙套后需全天佩戴保持器6个月-1年,之后改为夜间佩戴,持续1-2年甚至更长时间,保持良好的口腔习惯(如避免咬硬物、用牙开瓶等),定期复查,医生会根据牙齿稳定情况调整保持器佩戴方案。
