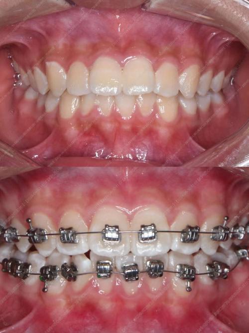
正畸治疗中,大牙(通常指第一磨牙或第二磨牙)上的颊管是矫正系统中不起眼却至关重要的部件,它看似只是一个焊接在牙齿带环上的小管子,实则承担着固定弓丝、传递矫正力、维持支抗的核心作用,直接影响牙齿移动的精准度和矫正效果的稳定性。
颊管的基本结构与类型
颊管通常由不锈钢或钛合金制成,与金属带环焊接后粘接在大牙的颊侧(外侧),其核心结构是“管体”——内部光滑的通道,用于容纳弓丝;部分颊管还会设计“翼板”或“固定翼”,增强与带环的连接强度,防止受力时脱落,根据临床需求,颊管可分为多种类型:

- 直颊管:管体呈直线,适用于需要弓丝平直滑动的情况,如拔牙病例的间隙关闭;
- 弯颊管:管体预成一定角度(如15°、30°),可适应牙齿的倾斜角度,减少弓丝与管壁的摩擦;
- 带翼颊管:翼板覆盖部分带环表面,增加粘接面积,适用于需要强支抗或受力较大的病例;
- 自锁颊管:内部带有弹簧夹或滑盖,可锁定弓丝,减少弓丝滑动时的摩擦力,缩短复诊间隔。
不同材质和设计的颊管,需根据患者的牙齿状况、矫正目标(如拔牙与否、支抗需求)及口腔环境(如金属过敏者需选钛合金)综合选择。
大牙颊管的核心作用
大牙是口腔中体积最大、根数最多(通常3根)、牙周支持组织最强的牙齿,是正畸治疗中的“支抗堡垒”,而颊管作为弓丝与大牙的连接枢纽,其作用主要体现在三方面:
- 固定弓丝,传递力量:在滑动法矫正、磨牙远中移动等操作中,弓丝需通过颊管固定在大牙上,当弓丝被结扎或插入颊管时,矫正力可通过弓丝传递到大牙及其周围牙周组织,引导目标牙齿按预设方向移动(如前牙内收、后牙支抗稳定)。
- 维持支抗,抵抗干扰:支抗是指矫正过程中,需要“保持不动”的牙齿或牙列,颊管通过牢固固定弓丝,确保大牙在承受矫正力时不易发生非计划性移位,为其他牙齿的移动提供稳定的“支点”,在拔除前磨牙的病例中,若颊管固定不牢,可能导致大牙前移,影响前牙内收效果。
- 辅助精准定位:部分矫正技术(如片段弓技术、转矩辅弓)需要弓丝在颊管内进行精细调整,颊管的位置和方向直接决定了弓丝施力的角度,从而影响牙齿的控根移动(如牙根的唇舌向位置调整)。
颊管的粘接与定位细节
颊管的精准粘接是确保其功能发挥的前提,需由正畸医生严格操作:
- 带环选择与试戴:根据大牙大小选择合适尺寸的金属带环,试戴后调整边缘密合度,避免压迫牙龈;
- 颊管焊接:将颊管焊接在带环的颊侧中央,确保管口与牙齿长轴平行(避免弓丝插入时角度偏差);
- 牙面处理:对大牙颊侧进行酸蚀(增加粘接剂附着力)、冲洗、干燥,涂布粘接剂;
- 粘接与固化:将带环压入牙面,去除多余粘接剂,用光固化灯照射固化,确保颊管无松动、管口无粘接剂残留(避免阻碍弓丝插入)。
粘接后,医生会插入初始弓丝(如镍钛圆丝),测试弓丝在颊管内的滑动是否顺畅,若遇卡顿,需调整颊管角度或重新粘接。

使用中的维护与常见问题
颊管周围易堆积食物残渣,若清洁不当,可能导致牙龈炎、龋坏(带环边缘)或颊管周围炎症,患者需做到:
- 清洁到位:使用正畸专用牙刷(小头刷毛)清洁颊管及带环周围,配合牙缝刷清理死角,每日使用冲牙器冲洗牙缝;
- 避免啃咬硬物:啃咬坚果、骨头等硬物可能导致带环松动或颊管脱落;
- 定期复查:医生会在复诊时检查颊管稳定性,及时处理食物嵌塞或轻微松动。
常见问题及处理如下:
| 常见问题 | 可能原因 | 处理方式 |
|---|---|---|
| 颊管脱落 | 粘接剂老化、咬硬物、带环边缘不密合 | 及时复诊,重新粘接带环及颊管 |
| 弓丝滑出颊管 | 颊管变形、弓丝尺寸过小、结扎松脱 | 医生调整弓丝或更换颊管,重新结扎 |
| 颊管周围牙龈红肿 | 食物嵌塞、粘接剂刺激、口腔卫生差 | 加强清洁,医生清除多余粘接剂,必要时消炎 |
相关问答FAQs
Q1:正畸时大牙上的颊管掉了需要马上处理吗?
A:需要,颊管脱落会导致弓丝失去固定,可能引起以下问题:①弓丝滑出刺伤口腔黏膜;②大牙失去支抗控制,发生非计划性移位(如前倾、扭转),影响矫正进度;③若未及时处理,可能导致其他牙齿移动偏离预设轨道,增加矫正难度,发现颊管脱落后,应尽快联系医生复诊,通常需在1-2天内重新粘接,避免影响整体矫正计划。
Q2:戴颊管后怎么清洁才能不蛀牙?
A:颊管及带环边缘是清洁盲区,需采取针对性措施:①使用正畸牙刷(如“V”型刷毛牙刷),以小幅度打圈方式清洁带环边缘和颊管周围;②每日至少使用1次牙缝刷,清理颊管与牙齿邻面的缝隙;③配合冲牙器(水牙线),以中等压力冲洗牙缝,冲走食物残渣;④避免食用黏性食物(如口香糖、软糖),减少食物嵌塞风险;⑤每3-6个月进行一次专业口腔洁治(洗牙),清除牙菌斑和牙结石,若出现牙龈出血、肿胀,需及时告知医生,必要时进行局部消炎处理。

