在口腔修复领域,嵌体与植牙是两种针对不同牙齿问题的常见治疗方式,二者在修复原理、适用范围、技术特点及临床应用上存在显著差异,了解两者的区别与联系,有助于患者根据自身情况选择合适的修复方案,从而恢复牙齿功能与美观。
嵌体:嵌入牙体内部的“精密补丁”
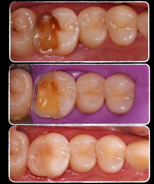
嵌体是一种嵌入牙体内部、恢复牙齿缺损形态与功能的修复体,属于“嵌洞修复”的范畴,区别于传统的充填补牙(直接在口内塑形修复),当牙齿因龋齿、外伤或磨损导致较大范围缺损时,嵌体通过精准覆盖缺损部位,既能恢复牙齿原有形态,又能增强其咀嚼强度。

适用情况
嵌体主要适用于以下场景:
- 牙齿缺损较大:如龋齿导致的窝洞深度超过2mm、宽度超过牙齿表面1/3,传统补牙材料易脱落或无法承受咀嚼力;
- 后牙修复:磨牙承担主要咀嚼功能,嵌体(尤其是金属或陶瓷嵌体)强度高于树脂充填,能有效避免折裂;
- 复杂形态缺损:涉及邻面、合面或多个牙面的缺损,嵌体可精准恢复牙齿邻接关系与咬合形态,避免食物嵌塞;
- 美学需求较高:前牙缺损时,可通过陶瓷嵌体实现颜色、通透度与天然牙的高度匹配。
制作与修复流程
嵌体的治疗通常需2-3次就诊:
- 牙体预备:医生去除缺损部位及周围腐质,制备出适合嵌体嵌入的洞型,边缘需形成清晰的直角或凹肩,确保边缘密合;
- 取模与临时修复:用硅橡胶或藻酸盐取模,制作临时嵌体保护牙齿;
- 技工室制作:模型送至技工室,根据材料(树脂、金属、陶瓷)通过CAD/CAM或传统铸造工艺加工嵌体;
- 试戴与粘固:试戴嵌体,检查边缘密合度、咬合关系及形态,合适后用树脂粘接剂固定。
优缺点
- 优点:边缘密合度高,有效减少继发龋;强度大,适合后牙高负荷咀嚼;形态恢复精准,避免食物嵌塞;
- 缺点:需磨除一定健康牙体,可能引发术后敏感;制作周期较长(1-2周);费用高于传统补牙(尤其是陶瓷嵌体)。
植牙:重建牙列的“根基工程”
植牙(种植义齿)是通过外科手术将人工牙根(种植体)植入牙槽骨内,待种植体与骨组织结合后,安装基台和牙冠,从而模拟天然牙结构与功能的修复方式,被称为“人类的第三副牙齿”,适用于牙齿缺失后的功能与美观重建。
适用情况
植牙的适用范围广泛,主要包括:

- 单颗/多颗牙缺失:无论是前牙还是后牙缺失,植牙均可独立修复,不损伤邻牙;
- 全口牙缺失:通过植入4-6颗种植体(All-on-4技术),支持全口固定义齿,避免传统活动义齿的异物感;
- 牙槽骨条件尚可:牙槽骨需有一定高度与宽度(骨量不足者可植骨或采用短种植体);
- 无全身禁忌症:如未控制的糖尿病、严重骨质疏松、放疗史等患者需评估后谨慎选择。
治疗流程
植牙治疗周期较长(3-12个月),需多学科协作:
- 术前评估:通过CBCT、口内检查、全身健康筛查,确定种植方案(种植体类型、植骨需求等);
- 种植体植入:在局部麻醉下切开牙龈,暴露牙槽骨,逐级备洞后植入种植体,缝合伤口;
- 骨结合期:等待种植体与骨组织融合(3-6个月),期间佩戴临时义齿;
- 基台与牙冠安装:骨结合完成后,安装基台,取模制作牙冠(金属烤瓷、全瓷等),试戴后粘固或螺丝固定。
优缺点
- 优点:咀嚼功能接近天然牙,可恢复90%以上咬合力;不损伤邻牙,保留牙槽骨(刺激骨组织防止吸收);美观度高,牙冠形态与颜色可高度模拟天然牙;使用寿命长(维护得当可用10-20年甚至终身);
- 缺点:治疗周期长,需多次就诊;费用较高(单颗植牙费用约1-3万元);存在手术风险(如感染、种植体失败、神经损伤);对口腔卫生与全身健康要求高。
嵌体与植牙的核心对比
为更直观展示两者的差异,可通过以下表格对比:
| 对比维度 | 嵌体 | 植牙 |
|---|---|---|
| 修复类型 | 牙体缺损修复(针对“坏牙”) | 牙齿缺失修复(针对“没牙”) |
| 适用范围 | 牙齿部分缺损(龋齿、磨损等) | 单颗/多颗/全口牙齿缺失 |
| 对健康牙体影响 | 需磨除部分健康牙体 | 不损伤邻牙,但需手术植入种植体 |
| 治疗周期 | 1-2周(2-3次就诊) | 3-12个月(3-5次就诊) |
| 费用 | 较低(树脂嵌体500-2000元/颗,陶瓷嵌体2000-5000元/颗) | 较高(单颗1-3万元,全口10-30万元) |
| 咀嚼功能 | 恢复牙齿原有咀嚼力(后牙稍弱于天然牙) | 接近天然牙,可承受高强度咀嚼 |
| 使用寿命 | 5-15年(材料与口腔卫生影响大) | 10-20年甚至终身(维护得当) |
| 维护难度 | 日常刷牙、使用牙线,定期检查 | 需严格口腔卫生(种植体周围炎风险),定期洁牙 |
相关问答(FAQs)
Q1:嵌体和传统的树脂充填补牙有什么区别?为什么医生推荐嵌体?
A:嵌体与树脂充填的核心区别在于制作方式与修复效果,树脂充填是直接在口内塑形,通过分层填充固化完成,适合小面积缺损(如浅龋、楔状缺损),但大面积缺损时,树脂易因咀嚼力收缩、脱落,且边缘密合度较差,易继发龋齿,嵌体则是在技工室间接制作,通过精密仪器加工,边缘密合度、强度和形态恢复均优于树脂充填,当牙齿缺损较大(如龋洞深、涉及邻面)或后牙修复时,嵌体能有效避免充填物脱落和牙齿折裂,因此医生会根据缺损范围推荐嵌体。
Q2:种植牙失败的原因有哪些?如何提高种植成功率?
A:种植牙失败主要与以下因素相关:① 种植体周围炎:口腔卫生差导致细菌感染,破坏骨组织结合;② 骨结合不良:吸烟、糖尿病、骨质疏松等全身因素影响骨愈合;③ 手术操作不当:种植体位置偏差、植入扭矩过大或过小;④ 咬合力过大:夜磨牙、咬合干扰导致种植体负荷过重;⑤ 修复体设计不合理:牙冠咬合过高、基台不匹配等。
提高成功率的方法:① 严格术前评估(CBCT测量骨量、全身健康筛查);② 控制口腔疾病(如牙周炎治疗、戒烟);③ 规范手术操作(选择经验丰富的医生,精准植入种植体);④ 术后维护(保持口腔卫生,定期复查,避免咬硬物)。

无论是嵌体还是植牙,均需在专业医生评估后选择,结合自身口腔条件、经济状况及治疗预期,才能达到理想的修复效果,定期口腔检查与良好卫生习惯,是延长修复体使用寿命的关键。
