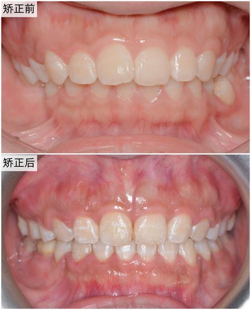
针对严重的骨性错颌畸形(如下颌前突、上颌后缩、双颌前突、面部不对称等),单纯通过正畸治疗往往难以实现理想的面部美观和咬合功能改善,此时需采用“先正畸后正颌再正畸”的联合治疗模式,这一流程通过多学科协作,先通过正畸为手术创造条件,再通过正颌手术纠正颌骨位置异常,最后通过正畸精细调整咬合关系,最终实现面部美观、咬合稳定及功能恢复的统一目标,以下从治疗阶段、核心目标、操作细节及注意事项等方面展开详细说明。
第一阶段:术前正畸(去代偿阶段)
核心目标:通过正畸手段排齐牙列、调整牙齿轴向,消除因颌骨发育异常导致的牙齿代偿性倾斜,为正颌手术创造理想的牙齿咬合关系和颌骨移动空间。

- 全面检查与方案设计:治疗前需拍摄头颅侧位片、曲面断层片、CBCT,取研究模型,进行头影测量分析,明确颌骨畸形类型(如下颌前突、上颌发育不足等)及牙齿代偿情况(如下颌前突患者下前牙常代偿性舌倾,上前牙代偿性唇倾)。
- 牙齿矫治:通常采用固定矫治器(如金属托槽、陶瓷托槽)或隐形矫治器,重点解决以下问题:
- 解除牙齿拥挤与扭转:通过拔除前磨牙(常为第一前磨牙)为排齐牙列提供间隙,纠正牙齿错位。
- 纠正牙齿代偿:例如骨性III类错颌患者,需将舌倾的下前牙直立、唇倾的上前牙内收,使牙齿长轴与颌骨关系协调;骨性II类患者则需将倾斜的下后牙直立,为下颌前移手术做准备。
- 调整咬合平面:若存在咬合平面偏斜(如面部不对称),需通过正畸纠正平面倾斜,避免术后咬合干扰。
- 间隙管理:拔牙后的间隙需合理分配,部分间隙用于解除拥挤,剩余间隙可能为手术中颌骨移动预留(如下颌前突手术需后退下颌,需通过正畸内收下前牙以提供间隙)。
持续时间:通常为12-24个月,具体取决于牙齿畸形程度及代偿情况。
注意事项:此阶段需患者严格配合,保持口腔卫生(避免托槽周围龋坏),按时复诊调整矫治力,避免影响后续手术效果。
第二阶段:正颌手术(颌骨重建阶段)
核心目标:通过外科手术移动颌骨至正常解剖位置,纠正骨性畸形,改善面部轮廓(如下巴后缩、面部不对称)及咬合关系(如深覆颌、开颌)。
- 术前模型外科与3D打印技术:基于术前正畸后的牙列模型和影像数据,进行模型外科试验,模拟手术中颌骨移动方向、距离及咬合关系,并通过3D打印技术制作手术导板,确保术中精准截骨与移动。
- 手术方式选择:根据畸形类型选择不同术式,常见包括:
- 上颌Le Fort I型截骨术:用于矫正上颌垂直向异常(如上颌过长导致露龈笑)或前后向发育不足/过度。
- 下颌升支截骨术:包括矢状劈开术(纠正下颌前后向及垂直向异常)和垂直截骨术(用于矫正下颌偏斜)。
- 双颌手术:上下颌骨同时手术,适用于复杂畸形(如双颌前突、严重III类错颌)。
- 手术实施:在全麻下进行,按照术前设计截骨、移动颌骨块,使用钛板钛钉固定,确保咬合关系与模型外科一致,术中需注意保护神经血管(如下牙槽神经),避免术后感觉异常或出血。
术后恢复:术后需住院观察5-7天,流质饮食1周,软食1-2个月,避免剧烈运动,术后1-2周拆线,3-6个月复查骨愈合情况(通过CT确认)。
风险提示:可能存在出血、感染、神经损伤、骨愈合不良等风险,需选择经验丰富的口腔颌面外科医生操作。

第三阶段:术后正畸(精细调整阶段)
核心目标:通过正畸进一步调整牙齿咬合关系,关闭手术遗留的微小间隙,稳定牙弓形态,确保咬合功能长期稳定。
- 咬合精细调整:手术后牙齿咬合可能存在轻微干扰(如个别早接触、颌干扰),需通过正畸调整咬合高点,建立稳定的尖窝交错关系。
- 间隙关闭与牙根平行:若术前正畸或手术中遗留少量间隙,通过牵引关闭间隙;同时调整牙根位置,确保相邻牙根平行(避免牙周创伤)。
- 颌弓形态协调:根据面部美学需求,微调牙弓宽度与形态,使微笑曲线与面部轮廓协调。
持续时间:通常为6-12个月,之后进入保持阶段。
注意事项:术后正畸需与手术医生密切配合,定期复查调整,避免过度加力影响骨愈合。
治疗流程总结表
| 阶段 | 主要目标 | 核心操作 | 持续时间 | 关键注意事项 |
|---|---|---|---|---|
| 术前正畸 | 去除牙齿代偿,排齐牙列,预留手术空间 | 拔牙、纠正扭转、调整牙齿轴向、管理间隙 | 12-24个月 | 保持口腔卫生,按时复诊,避免托槽脱落 |
| 正颌手术 | 纠正颌骨位置异常,改善面部轮廓与咬合 | 模型外科设计、截骨、颌骨移动、钛板固定 | 术中3-5小时 | 术后流质饮食,避免剧烈运动,定期复查骨愈合 |
| 术后正畸 | 精细调整咬合,稳定牙弓,防止复发 | 调整咬合高点、关闭间隙、牙根平行、形态协调 | 6-12个月 | 避免过度加力,配合保持器佩戴 |
治疗意义与复发预防
“先正畸后正颌再正畸”模式的最大优势在于兼顾骨性畸形的根本解决与咬合功能的精细恢复,相比单纯正畸或手术,效果更稳定、持久,但治疗后仍存在复发风险,主要原因包括:术后肌肉力量不平衡、口腔不良习惯(如吐舌、夜磨牙)、保持器佩戴不当等。保持阶段至关重要:术后正畸结束后需全天佩戴保持器6-12个月,之后夜间长期佩戴,同时定期复查(每3-6个月1次),及时处理咬合问题。
相关问答FAQs
问题1:所有骨性错颌畸形都需要“先正畸后正颌再正畸”的流程吗?
解答:并非所有骨性错颌都需要此流程,对于轻中度骨性畸形(如下颌轻微前突、上颌轻度发育不足),可通过“正畸掩饰治疗”解决,即通过拔牙、移动牙齿代偿性改善咬合和面部外观,避免手术,但对于重度骨性畸形(如下颌前突伴反颌、面部严重不对称),单纯正畸无法纠正骨性异常,必须通过正颌手术解决,先正畸后正颌再正畸”是必要流程,以确保手术效果和咬合稳定,是否需要手术需由正畸医生和颌面外科医生联合评估,根据头影测量、面部美学及患者需求综合判断。

问题2:正颌手术后正畸阶段需要注意什么?如何避免复发?
解答:术后正畸阶段需注意三点:一是口腔卫生维护,此时牙齿上仍有托槽,需使用正畸牙刷、牙线、冲牙器彻底清洁,避免牙龈炎、牙周炎;二是饮食控制,避免咬硬物(如坚果、骨头),防止托槽脱落或钛板松动;三是定期复诊,医生会根据骨愈合情况(通常术后3-6个月骨基本愈合)逐步加力调整,避免过早加力影响骨愈合。
预防复发的关键在于:保持器佩戴(术后正畸结束后必须严格佩戴保持器,夜间长期佩戴)、纠正不良习惯(如吐舌、夜磨牙,必要时佩戴夜磨牙垫)、定期复查(医生会通过检查咬合关系、拍摄X光片评估稳定性,及时处理问题),术后避免面部外伤、保持良好作息也有助于降低复发风险。
