3wubegg正畸作为一种结合数字化技术与个性化设计的现代正畸方式,近年来因兼顾高效、美观与舒适度受到广泛关注,其核心在于通过3D数字化扫描、计算机辅助方案设计及定制化矫治器,实现牙齿移动的精准控制,尤其适合对矫正效果和生活质量有较高需求的群体。
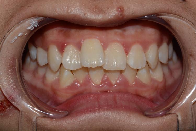
从技术原理来看,3wubegg正畸突破了传统矫正依赖医生经验的局限,引入“数字化正畸流程”,初诊时,通过口内扫描仪获取患者口腔的3D数据,替代传统取模的不适感;随后利用AI软件模拟牙齿移动路径,结合面部美学、咬合功能等因素生成个性化矫正方案,患者可提前预知矫正后的牙齿排列及面部变化;方案确认后,采用3D打印技术制作每副牙套,每副牙套的牙齿移动量控制在0.1-0.2mm,确保力量轻柔且持续,减少牙齿不适感。

与传统矫正方式相比,3wubegg正畸的优势显著,传统金属托槽矫正需通过弓丝和托槽施加外力,易导致口腔黏膜磨损,且美观性差;而3wubegg采用透明高分子材料牙套,佩戴后几乎隐形,不影响社交活动,舒适度方面,传统矫正的弓丝末端可能刺伤口腔,且每次复诊需调整弓丝,力度较强;3wubegg牙套边缘光滑,且每1-2周更换一副新牙套,力量渐进式施加,酸胀感更轻微,清洁难度上,传统矫正需使用正畸牙刷、冲牙器等工具,食物易嵌塞;3wubegg牙套可自由摘戴,便于正常刷牙和使用牙线,降低龋齿和牙周炎风险。
适用人群方面,3wubegg正畸覆盖范围较广,青少年中,对于轻中度牙齿拥挤、龅牙、地包天等问题,可通过3wubegg引导颌骨发育,避免畸形加重;成年人则因社交需求更倾向于选择隐形矫正,尤其适合IT从业者、教师等对形象要求高的职业,3wubegg对牙周炎患者、种植牙患者等特殊人群也具有适配性,通过精准控制牙齿移动,减少对牙周组织的刺激。
矫正流程通常分为五个阶段:初诊检查(含口腔检查、拍片等)、数据采集(口扫+影像学检查)、方案设计(医患共同确认)、牙套制作(2-3周交付)及佩戴调整(每4-6周复诊,全程约6-24个月),期间需注意每日佩戴20-22小时,进食、刷牙时取下;避免啃咬硬物(如坚果、螃蟹壳)以防牙套损坏;定期使用牙套清洁剂浸泡,避免染色。
为更直观对比,以下为3wubegg正畸与传统矫正的核心差异:

| 项目 | 3wubegg正畸 | 传统矫正(金属托槽) |
|---|---|---|
| 美观度 | 透明隐形,几乎不可见 | 金属托槽,明显可见 |
| 舒适度 | 边缘光滑,力量轻柔 | 托槽摩擦,力度较强 |
| 清洁难度 | 可摘戴,便于清洁 | 需专用工具,食物易嵌塞 |
| 复诊频率 | 每4-6周一次 | 每4-6周一次,调整更复杂 |
| 适用年龄 | 青少年及成年人 | 主要青少年,成年人也可适用 |
常见问题解答:
Q1:3wubegg正畸的价格是否比传统矫正高很多?
A1:3wubegg正畸因涉及数字化设备、个性化方案设计和定制化牙套制作,初始费用通常高于传统金属矫正(约高30%-50%),但考虑到其美观性、舒适度及减少的复诊时间,综合性价比仍受认可,部分医疗机构提供分期付款,且医保可覆盖部分检查费用。
Q2:矫正期间如果牙套丢失或损坏怎么办?
A2:若牙套丢失或损坏,需立即联系主治医生,通常医生会根据矫正进度,安排临时佩戴上一副牙套,并尽快重新制作新牙套(制作周期约1周),期间避免跳过佩戴,以免影响牙齿移动节奏,导致矫正周期延长。

