正畸治疗是矫正牙齿排列、改善咬合功能及面部美观的常用方法,但部分患者在矫正过程中或结束后,可能会发现牙齿侧面出现裂痕,即“牙侧面裂”,这一现象虽不常见,却可能影响牙齿健康与矫正效果,需引起重视,牙齿侧面裂多指牙冠唇颊面或舌腭面的线性裂纹,可深浅不一,浅者仅及釉质,深者可达牙本质甚至牙髓,其发生与正畸治疗、牙齿结构及口腔习惯等多因素相关。
正畸过程中牙齿侧面裂的形成,首先与矫正力的施加密切相关,牙齿移动是通过牙槽骨改建实现的,若矫正力过大、移动速度过快,或牙根形态异常(如牙根短、弯曲)导致应力集中,牙体组织可能因承受超过其生理限度的力而产生裂纹,尤其是对于牙釉质发育不全、氟斑牙或四环素牙等牙体结构薄弱的牙齿,釉质本身脆性较高,正畸中更易出现裂纹,口腔卫生管理不当是重要诱因,正畸装置(如托槽、弓丝)易存留食物残渣,若清洁不到位,菌斑堆积会导致牙釉质脱矿,形成白垩色斑块,降低牙体强度,在咀嚼或外力作用下易裂,咬合异常(如个别牙齿早接触、夜磨牙)也可能导致牙侧面异常受力,长期反复的微小创伤会逐渐形成裂纹。

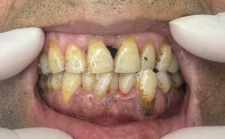
牙齿侧面裂的影响不容忽视,浅表裂纹可能仅表现为牙面粗糙,无自觉症状,但易色素沉着(如茶渍、烟渍),影响美观;深裂纹则可能引发牙齿敏感,遇冷热酸甜刺激时疼痛,若裂纹深及牙髓,还会导致牙髓炎,出现自发性疼痛、夜间痛等症状,严重时,裂纹可能造成牙齿折裂,甚至导致牙齿丧失,影响正畸效果及后续修复。
针对正畸中牙侧面裂的预防与处理,需从多方面入手,矫正前应进行全面口腔检查,包括牙片、牙体状况评估,对牙体结构异常者提前采取加固措施(如涂氟、树脂充填),矫正中需严格控制矫正力,遵循“轻力矫治”原则,避免急速移动牙齿;同时加强口腔卫生指导,建议使用正畸专用牙刷、水牙线,定期洁牙,预防脱矿,若已出现裂纹,需根据深度采取不同处理:浅表裂纹可观察随访,或行树脂美学修复;深裂纹伴有敏感者需树脂充填,若及牙髓则需根管治疗后冠修复;对已松动或无法保留的牙齿,则需拔除后考虑种植修复或修复义齿。
相关问答FAQs
Q1:正畸过程中发现牙齿侧面有细小裂纹,需要立即处理吗?
A1:需根据裂纹深度和症状判断,若仅釉质表面细裂纹,无敏感、疼痛症状,可先加强口腔卫生,避免咬硬物,定期复查观察;若裂纹较深(可探及明显凹陷),或出现冷热刺激痛、咬合痛,需及时就医,医生会通过口腔检查、牙片等评估裂纹范围,必要时行树脂修复或脱矿处理,防止裂纹加深继发龋坏或牙髓感染。

Q2:正畸结束后牙裂会自行愈合吗?如何避免牙裂加重?
A2:牙裂无法自行愈合,尤其是已及牙本质的裂纹,避免加重的关键在于减少牙齿受力:避免咬硬物(如坚果、螃蟹壳、冰块),使用软毛牙刷轻柔刷牙;若存在夜磨牙习惯,需佩戴夜磨牙垫,分散咬合力;定期复查(建议每6个月1次),医生会检查裂纹变化,必要时进行树脂充填或冠修复,封闭裂纹防止细菌侵入,延长牙齿使用寿命。

