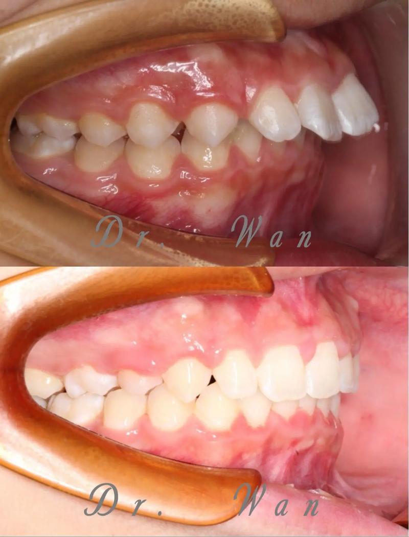
口腔正畸中的“覆盖”是描述上下颌牙齿在矢状方向(即前后方向)相对位置关系的重要指标,具体指上颌牙弓的前部牙齿(尤其是上颌中切牙和侧切牙)覆盖在下颌对应牙齿唇颊面的水平距离,这一关系不仅影响牙齿排列的美观,更直接关系到咀嚼功能、发音准确性及颞下颌关节的健康,是正畸诊断和治疗方案设计中的核心评估内容之一。
覆盖的基本概念与分类
覆盖的测量通常以上颌中切牙切缘为参照点,测量其到下颌中切牙唇面的最短水平距离,根据覆盖程度的不同,临床上将其分为三类:

正常覆盖
正常覆盖的测量范围为1-3mm,上颌中切牙的切缘轻覆盖下颌中切牙唇面,既不会导致前牙区咬合干扰,又能保证良好的切割功能和唇部支撑,从骨骼角度看,正常覆盖通常伴随上下颌骨的协调关系——上颌骨位置正常,下颌骨既不过度前移也不后缩,牙齿在颌骨内排列整齐,无明显唇倾或舌倾。
深覆盖
当覆盖距离超过3mm时,称为深覆盖(俗称“龅牙”),深覆盖是临床最常见的错畸形之一,根据病因可分为牙性、功能性和骨性三类:
- 牙性深覆盖:主要因牙齿本身排列异常导致,如上颌前牙唇倾、下颌前牙舌倾,或上颌多生牙、下颌牙弓先天缺失等,颌骨大小和位置通常正常。
- 功能性深覆盖:多由不良口腔习惯引起,如长期吮指、咬唇、口呼吸等,这些习惯会改变口腔肌肉平衡,导致下颌骨向后移位,形成“假性”下颌后缩,去除病因后覆盖程度可部分改善。
- 骨性深覆盖:与颌骨发育异常直接相关,常见于上颌骨发育过度(上颌前突)、下颌骨发育不足(下颌后缩),或两者并存,常伴随“凸面型”面部轮廓,严重者需正畸-正颌联合治疗。
反覆盖(或称负覆盖)
当覆盖距离小于1mm,或上颌前牙切缘位于下颌前牙唇舌侧之后(即下颌前牙“咬在上颌前牙外面”)时,称为反覆盖,反覆盖是“反”的一种表现形式,同样可分为牙性、功能性和骨性:
- 牙性反覆盖:多因上颌前牙舌倾、下颌前牙唇倾,或上颌牙弓狭窄、下颌牙弓过宽导致,颌骨关系通常正常。
- 功能性反覆盖:常由不良习惯如下颌前伸咬物、咬上唇等引起,导致下颌习惯性前移,去除病因后可改善。
- 骨性反覆盖:与颌骨发育异常相关如下颌骨发育过度(下颌前突)、上颌骨发育不足(上颌后缩),常伴随“凹面型”面部,需综合治疗。
覆盖异常的病因分析
覆盖异常的病因复杂,通常遗传因素、环境因素及口腔不良习惯共同作用的结果:

遗传因素
颌骨大小、形态及牙齿数量受遗传基因调控明显,若父母存在深覆盖或反覆盖,子女出现同类错畸形的概率显著增高,上颌骨发育过度或下颌骨发育不足的骨性畸形,多与家族遗传倾向相关。
口腔不良习惯
儿童时期的不良习惯是导致覆盖异常的重要原因:
- 吮指习惯:长期吮吸手指(尤其是拇指)会导致上颌前牙唇倾、开,同时下颌骨向后旋转,形成深覆盖;
- 咬唇习惯:咬上唇会使上颌前牙受压舌倾、下颌前牙受唇倾力,可能加重反覆盖;咬下唇则会导致上颌前牙唇倾、下颌前牙舌倾,引发深覆盖;
- 口呼吸习惯:因鼻炎、腺样体肥大等导致鼻腔通气不畅,长期张口呼吸会使上颌牙弓狭窄、腭盖高拱,同时下颌骨向下向后旋转,加重深覆盖;
- 吐舌习惯:吐舌时舌尖顶推上颌前牙,导致其唇倾、开,形成深覆盖。
替牙期障碍
儿童替牙期(6-12岁)的局部障碍会影响牙齿正常萌出:
- 乳牙早失:如乳磨牙早失未及时间隙保持,邻牙向缺隙倾斜,导致后继恒牙萌出空间不足,可能引起上颌前牙前移或下颌后牙前移,改变覆盖关系;
- 乳牙滞留:乳牙未按时脱落,阻碍恒牙萌出,导致恒牙异位萌出,如上颌恒中切牙唇侧或舌侧萌出,影响覆盖;
- 多生牙:上颌前牙区多生牙(如“正中牙”)会占据正常恒牙萌出空间,导致上颌前牙腭侧移位,可能引发反覆盖或深覆盖。
覆盖异常的危害
覆盖异常不仅影响美观,更会对口腔功能及全身健康造成多方面危害:
咀嚼功能受损
深覆盖者上颌前牙过度前突,下颌前牙无法与上颌前牙形成有效切割咬合,导致咀嚼效率下降;反覆盖者则可能出现前牙“锁”,无法进行前伸咬合,影响食物的研磨和切割,长期咀嚼功能异常还可能引发消化系统疾病。
发音与语言障碍
上颌前牙在发音中起重要作用,深覆盖或反覆盖可能导致“s”“z”“th”等齿音发音不清,影响语言交流和社交能力。
牙体及牙周组织损伤
深覆盖者上颌前牙唇侧易受外力撞击,牙冠缺损或牙折风险增加;覆盖过大导致咬合时下颌前牙与上颌前牙牙槽骨碰撞,可能引发牙槽骨吸收、牙龈萎缩,反覆盖者则因前牙区咬合干扰,易出现牙齿磨耗、牙周创伤。
颞下颌关节紊乱(TMD)
覆盖异常会改变下颌运动轨迹,长期咬合紊乱可能导致颞下颌关节负荷过大,引发关节弹响、疼痛、张口受限等症状,严重者影响生活质量。
心理健康影响
前牙覆盖异常(如深覆盖的“龅牙”)会影响面部美观,尤其对青少年而言,易产生自卑、焦虑等心理问题,导致社交退缩,影响心理健康。
覆盖异常的检查与诊断
正畸医生通过临床检查、影像学分析及模型测量综合评估覆盖情况,制定个性化治疗方案:
临床检查
- 视诊:观察上下颌前牙的相对位置,判断覆盖方向(唇向或舌向);检查面部轮廓,如深覆盖者可能表现为“凸面型”,反覆盖者表现为“凹面型”。
- 探诊与测量:用游标卡尺测量上颌中切牙切缘到下颌中切牙唇面的水平距离,确定覆盖值;检查牙齿排列、牙弓形态及咬合关系。
- 功能检查:评估下颌运动范围、咀嚼肌功能及颞下颌关节有无异常。
影像学检查
- X线头影测量:通过头颅侧位片分析骨骼和牙齿的矢状关系,测量指标包括:
- SNA角:反映上颌骨相对于颅底的位置,SNA角过大提示上颌前突;
- SNB角:反映下颌骨相对于颅底的位置,SNB角过小提示下颌后缩;
- U1-NA距、L1-NB距:反映上下颌前牙相对于颌骨的唇倾度,用于判断牙性或骨性覆盖异常。
- 曲面断层片:观察全口牙齿萌出情况、牙根形态及有无多生牙、埋伏牙等。
模型分析
取上下颌牙齿石膏模型,在模型上直接测量覆盖值,分析牙弓长度、宽度及 Spee 曲线深度,辅助制定牙齿移动方案。
覆盖异常的治疗方法
覆盖异常的治疗需根据病因(牙性/功能性/骨性)、严重程度及患者年龄选择合适方案:
早期矫治(替牙期,6-12岁)
针对功能性或轻度骨性覆盖异常,通过早期干预引导颌骨正常发育:
- 纠正不良习惯:使用唇挡、腭刺等破除吮指、吐舌习惯;用前庭盾纠正口呼吸;
- 肌功能训练:使用肌功能矫治器(如MRC矫治器)训练唇舌肌平衡,改善咬合功能;
- 简单矫治器:对于牙性深覆盖,可使用活动矫治器推上颌前牙向舌侧;对于反覆盖,可用上颌颌垫矫治器解除前牙锁,引导下颌向前。
固定矫治(恒牙早期,12岁以后)
对于替牙期未干预或严重的覆盖异常,通过固定矫治器(如方丝弓矫治器、直丝弓矫治器)移动牙齿:
- 深覆盖治疗:
- 牙性深覆盖:通过“推磨牙向后”或“拔牙减数”(如拔除第一前磨牙)为前牙内收提供空间,纠正上颌前牙唇倾;
- 骨性深覆盖:成年患者需正畸-正颌联合治疗(如上颌骨前徙术、下颌骨后退术),术后配合正畸精细调整咬合。
- 反覆盖治疗:
- 牙性反覆盖:通过“扩大牙弓”或“拔牙减数”解除前牙锁,将上颌前牙唇向移动、下颌前牙舌向移动;
- 骨性反覆盖:成年患者需正颌手术(如下颌骨后退术、上颌骨前徙术)纠正颌骨关系。
隐形矫治
对于轻度至中度覆盖异常,可选用隐形矫治器(如隐适美、时代天使),通过一系列透明牙套逐步移动牙齿,兼顾美观与舒适,但需患者高度配合。
保持治疗
矫治完成后,需佩戴保持器(如 Hawley 保持器、透明保持器)维持疗效,防止复发,尤其是骨性畸形患者,需长期保持以稳定颌骨及牙齿位置。
覆盖异常的预防
覆盖异常的预防需从儿童时期抓起:
- 纠正不良习惯:家长需关注儿童口腔习惯,发现吮指、咬唇等问题及时干预;
- 定期口腔检查:儿童每6个月进行一次口腔检查,及时发现替牙期障碍(如乳牙早失、多生牙)并处理;
- 早期干预:替牙期出现覆盖异常(如深覆盖>4mm、反覆盖)时,及时咨询正畸医生,早期矫治可降低治疗难度。
覆盖异常类型对比表
| 类型 | 定义 | 测量范围 | 常见原因 | 典型表现 |
|---|---|---|---|---|
| 正常覆盖 | 上颌前牙轻覆盖下颌前牙唇面 | 1-3mm | 上下颌骨协调,牙齿排列整齐 | 面部轮廓协调,前牙切割功能良好 |
| 深覆盖 | 上颌前牙覆盖下颌前牙唇面>3mm | >3mm | 上颌前突、下颌后缩、不良习惯 | “龅牙”、凸面型、前牙深覆 |
| 反覆盖 | 上颌前牙切缘位于下颌前牙之后 | <1mm或负值 | 下颌前突、上颌后缩、不良习惯 | “凹面型”、前牙对刃或反 |
相关问答FAQs
Q1:覆盖和覆合有什么区别?
A:覆盖和覆合是描述上下颌牙齿关系的两个不同维度指标,覆盖是水平方向的,指上颌前牙切缘到下颌前牙唇面的水平距离;覆合是垂直方向的,指上颌前牙覆盖下颌前牙唇面的垂直距离(即上颌切牙切缘与下颌切牙牙冠的比例),深覆盖是“牙齿往前突”,深覆合是“牙齿往上盖”,两者可能单独存在,也可能同时发生(如深覆盖伴深覆合)。
Q2:深覆盖一定需要拔牙矫正吗?
A:不一定,是否拔牙取决于深覆盖的病因、严重程度及患者年龄,对于轻度牙性深覆盖(覆盖3-4mm),可通过推磨牙向后、内收前牙等非拔牙方式解决;对于中度至重度深覆盖(覆盖>5mm),或伴有上颌前牙严重唇倾、牙弓狭窄时,通常需拔除第一前磨牙为牙齿移动提供空间,以实现前牙内收和咬合稳定,骨性深覆盖成年患者则需正畸-正颌联合治疗,拔牙与否需根据手术方案决定。
