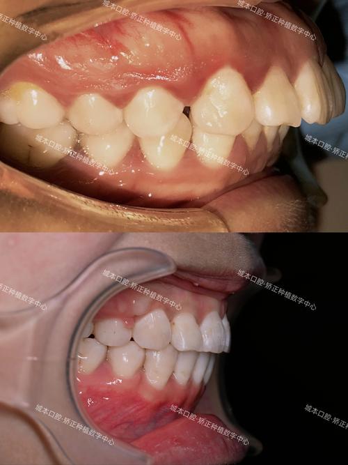
牙齿正畸中“深覆盖”和“露牙龈”是两个常见但性质不同的口腔问题,它们经常同时出现,但原因和治疗方法需要分别考虑,下面我为你详细分析一下:
🦷 1. 深覆盖 (Deep Overjet / Class II Malocclusion)
- 定义: 指的是上颌前牙(尤其是上颌中切牙)相对于下颌前牙过度向前突出,简单说就是“龅牙”,上下牙在咬合时,上牙切缘到下牙切缘的水平距离过大(正常通常在2-4mm以内)。
- 原因:
- 上颌前突: 上颌骨(上牙床)本身发育过度向前。
- 下颌后缩: 下颌骨(下巴)发育不足,位置靠后。
- 上牙前倾: 上牙本身角度过于向前倾斜。
- 下牙后缩: 下牙本身角度过于向后倾斜。
- 混合因素: 以上几种情况的组合。
- 危害:
- 影响美观,尤其是侧面轮廓。
- 容易导致前牙外伤(门牙容易磕碰)。
- 可能影响发音(如“s”音)。
- 咬合关系异常,可能增加颞下颌关节负担。
- 不利于口腔清洁,增加牙周病风险。
😬 2. 露牙龈 (Gummy Smile / Excessive Gingival Display)
- 定义: 指在微笑时,上颌前牙区牙龈暴露过多,超出正常范围(通常认为微笑时上中切牙暴露2-4mm牙龈是正常的,超过这个范围就是露牙龈)。
- 原因:
- 上颌垂直向发育过度: 上颌骨在垂直方向(高度)发育过多,导致牙齿萌出位置过低,牙龈缘位置过高。
- 上唇肌肉力量弱或上唇短: 微笑时上唇提升不足或过短,无法完全覆盖牙龈。
- 上唇系带附着过低: 影响上唇的正常活动。
- 牙齿萌出异常: 牙齿本身萌出位置过高(牙冠过短或牙龈增生)。
- 牙龈纤维附着异常: 牙龈组织本身的纤维结构导致牙龈位置过高。
- 药物影响: 长期服用某些药物(如抗癫痫药、钙通道阻滞剂)可能导致牙龈增生。
- 危害:
- 影响美观,是很多人微笑不自信的主要原因之一。
- 有时与深覆盖同时存在,相互影响美观。
🔄 深覆盖和露牙龈的关系
- 经常并存: 上颌前突(深覆盖的主要原因之一)常常伴随着上颌垂直向发育过度(露牙龈的主要原因之一),很多患者同时存在这两个问题。
- 相互影响: 上颌前突会使上牙更靠前,更容易在微笑时暴露牙龈;而上颌垂直向发育过度本身就会导致露牙龈,同时也会加重深覆盖的视觉效果。
- 并非必然关联: 也有深覆盖不伴随露牙龈的(如下颌后缩为主),或者露牙龈不伴随深覆盖的(如单纯上唇肌肉问题)。
🦷 正畸治疗如何处理深覆盖和露牙龈?
正畸治疗的目标是改善咬合关系、面部美观和口腔健康,对于深覆盖和露牙龈,正畸医生会根据具体原因制定方案:

(图片来源网络,侵删)
🧩 针对“深覆盖”的正畸方法
- 推磨牙向后: 利用各种矫治器(如种植钉、摆式矫治器、J钩等)将后牙向远中移动,为前牙内收提供空间。
- 内收前牙: 利用弓丝、橡皮筋等力量,将前牙整体向后移动,减少其突度。
- 压低前牙: 对于前牙垂直向位置过高的患者,通过特定的矫治技术(如多用途弓、种植钉压低等)将前牙牙冠压低,减少其垂直向高度,有助于改善深覆盖和露牙龈。
- 促进/抑制颌骨生长(青少年): 在生长发育期,使用功能矫治器(如FR-III、 Twin Block等)或口外弓等,引导下颌向前生长或抑制上颌过度生长。
- 正畸-正颌联合治疗(严重成人): 对于骨骼畸形严重的成年患者,单纯正畸效果有限,需要通过正颌手术(如上颌骨后退术、下颌骨前徙术)来矫正颌骨关系,再配合术前术后正畸。
🦷 针对“露牙龈”的正畸方法
正畸治疗对露牙龈的效果取决于其根本原因:
-
有效情况:
- 上颌垂直向发育过度为主,且伴有前牙萌出位置过高: 通过压低前牙(如使用种植钉、多用途弓等)可以显著降低前牙牙冠高度,使牙龈缘相对向牙龈方向移动,从而减少微笑时牙龈暴露量,这是正畸改善露牙龈最主要、最有效的方式。
- 前牙前倾(深覆盖的一部分): 通过内收前牙,可以使前牙牙冠在垂直方向上略微升高(整体移动的垂直分量),有时也能轻微改善露牙龈(但效果不如压低前牙直接)。
- 下颌后缩(深覆盖的一部分): 通过促进下颌生长或前移下颌,可以改善侧面轮廓,使上牙相对下牙的突度减小,有时在视觉上也能减轻露牙龈的感觉。
-
效果有限或无效的情况:
- 上唇肌肉力量弱或上唇过短: 这是软组织问题,正畸无法改变肌肉力量或唇长,这类露牙龈通常需要牙周手术(如牙龈成形术、骨切除术)或唇部手术(如唇肌训练、唇成形术)来改善。
- 上唇系带附着过低: 需要唇系带矫正术。
- 牙龈纤维附着异常或药物性增生: 需要牙周手术(如牙龈切除术、牙龈成形术)去除多余牙龈组织。
- 骨骼性上颌垂直向发育过度严重: 单纯正畸压低效果有限,可能需要正颌手术(如上颌骨垂直向去骨术)来缩短上颌骨高度。
📌 重要提示
- 精准诊断是关键: 正畸医生必须通过详细的临床检查、模型分析、X光片(头影测量)等手段,准确判断深覆盖和露牙龈的根本原因(是骨骼问题?牙齿位置问题?软组织问题?),才能制定最有效的治疗方案。
- 多学科合作: 对于复杂的露牙龈问题(尤其是软组织因素严重时),正畸医生常常需要与牙周医生、口腔颌面外科医生密切合作,制定综合治疗方案(正畸 + 牙周手术/正颌手术)。
- 治疗时机: 青少年患者的骨骼问题可以利用生长潜力进行矫治,效果更好,成年患者骨骼问题则主要依赖手术或牙齿代偿移动。
- 期望管理: 对于软组织因素导致的露牙龈,单纯正畸可能无法达到完美效果,需要患者理解并接受可能的联合治疗或手术方案。
- 牙龈健康: 在进行正畸治疗前和治疗中,必须确保牙龈和牙周组织健康,如有牙周炎,需先进行牙周治疗控制炎症,否则正畸可能加重牙周问题。
牙齿正畸治疗可以有效解决由牙齿位置和颌骨因素引起的深覆盖和露牙龈问题,特别是通过压低前牙来改善露牙龈,以及通过内收前牙、推磨牙向后、调整颌骨关系来改善深覆盖。

(图片来源网络,侵删)
对于主要由软组织(上唇肌肉、唇长)或严重骨骼畸形导致的露牙龈,正畸效果有限,通常需要联合牙周手术、唇部手术或正颌手术才能获得理想的美学效果。
强烈建议你咨询专业的正畸医生进行面诊评估。 医生会通过全面的检查和诊断,明确你深覆盖和露牙龈的具体原因,并为你量身定制最合适的治疗方案,告知你正畸能达到的效果以及是否需要其他专科的配合治疗。🦷✨

(图片来源网络,侵删)
