在美国,牙齿正畸是儿童和青少年成长过程中非常普遍的医疗行为,几乎每个家庭都会在孩子成长过程中面临是否需要矫正牙齿的决策,根据美国正畸协会(AAO)2025年的报告,约50%的美国儿童在青少年时期会接受牙齿正畸治疗,这一比例在全球范围内处于较高水平,美国社会对牙齿健康的重视不仅源于美观需求,更与功能健康、心理健康及长期口腔习惯密切相关,以下从多个维度详细解析美国孩子牙齿正畸的情况。
美国孩子牙齿正畸的普遍性与必要性
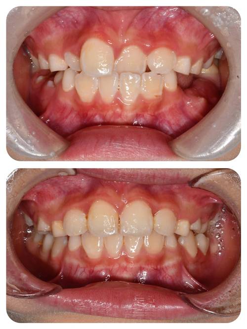
美国孩子进行牙齿正畸的普遍性,首先源于社会对“完美微笑”的文化推崇,从影视作品、社交媒体到日常社交,整齐的牙齿被视为自信和个人形象的加分项,许多家长会主动关注孩子的牙齿排列问题,但更重要的是功能性需求:牙齿不齐可能导致咬合异常(如深覆合、深覆盖、反颌等),进而引发咀嚼效率下降、颞下颌关节紊乱(TMJ)、发音不清、甚至消化系统问题,拥挤的牙齿更易藏匿食物残渣,增加龋齿和牙周病的风险,而正畸通过调整牙齿位置,能有效降低这些隐患。

美国儿科学会(AAP)和美国正畸协会均建议,儿童应在7岁左右进行首次正畸评估,孩子正处于混合牙列期(部分乳牙脱落、恒牙萌出),正畸医生可通过早期干预(如扩弓器、功能性矫治器)引导颌骨发育,避免恒牙萌出后出现更复杂的问题,针对“地包天”(反颌),若能在7岁前干预,可避免下颌过度发育导致的面型凹陷;对于严重的牙齿拥挤,早期拔除乳牙可为恒牙预留空间,减少后期矫正的难度。
美国孩子牙齿正畸的常见原因
美国孩子进行正畸的原因多样,主要包括以下几类:
- 牙齿拥挤:最常见的正畸原因,约占病例的40%-50%,颌骨空间不足导致恒牙排列不齐,如“虎牙”外凸、牙齿重叠等,既影响美观,也增加清洁难度。
- 龅牙(上颌前突):上颌牙齿过度前突,不仅影响面型美观,还可能导致上前牙外伤(如摔倒时牙齿折断),尤其在运动儿童中更受关注。
- 反颌(地包天):下颌牙齿位于上颌前方,可能由遗传、不良习惯(如长期吮指、咬唇)或颌骨发育异常导致,需早期干预避免面型畸形。
- 开颌:上下牙齿无法正常咬合,前牙或后牙存在垂直间隙,常由舌习惯(如吐舌)或口腔呼吸引起,影响发音和咀嚼。
- 深覆合:上颌牙齿过度覆盖下颌牙齿,可能导致下颌后缩、颞下颌关节负荷过大,甚至引发头痛或颈部疼痛。
美国孩子牙齿正畸的常见方法
美国正畸技术发展成熟,针对不同年龄段和牙齿问题,医生会采用个性化矫正方案,主要方法包括:
(一)传统金属托槽矫正
最经典且应用最广的矫正方式,通过金属托槽、弓丝和结扎丝施加力量,移动牙齿至理想位置,优点是性价比高、适用范围广(几乎适用于所有类型的牙齿问题),缺点是美观性较差,为提升美观度,部分孩子会选择彩色托槽(如蓝色、粉色),增加趣味性。

(二)陶瓷托槽矫正
托槽材料为透明陶瓷,与牙齿颜色接近,美观性优于金属托槽,被称为“半隐形”矫正,适合对美观有一定要求的孩子,但陶瓷材质脆性较大,需避免咬硬物,且价格比金属托槽高20%-30%。
(三)隐形矫正(如Invisalign Teen)
近年来在美国青少年中迅速流行的矫正方式,通过一系列透明可摘戴的牙套逐步移动牙齿,优点是美观(几乎肉眼不可见)、舒适(无托槽摩擦)、可自由摘戴(便于进食和清洁),缺点是价格较高(比传统矫正贵50%-100%),且依赖孩子配合(需每天佩戴20-22小时),针对青少年,Invisalign Teen特别设计了“ eruptable tabs”(预留恒牙萌出空间)和替换丢失牙套的服务,更贴合孩子的需求。
(四)舌侧矫正
将托槽粘贴在牙齿内侧,完全隐形,适合对外观要求极高的孩子,但技术难度大、价格昂贵(比传统矫正贵2-3倍),且初期对发音和口腔舒适度影响较大,在孩子中应用较少。
(五)功能性矫治器
主要用于早期干预(7-12岁),如纠正颌骨发育异常、不良习惯等,常见的有Frankel矫治器(调整颌骨位置)、Twin-block(纠正下颌后缩)等,通常在混合牙列期使用,为恒牙萌出创造良好条件。

美国孩子牙齿正畸的费用与保险覆盖
美国正畸费用因矫正方式、地区经济水平、医生经验差异较大,以下是平均参考范围:
| 矫正方式 | 平均费用(美元) | 适用年龄 |
|----------------|------------------|----------------|
| 传统金属托槽 | 3000-7000 | 8-18岁 |
| 陶瓷托槽 | 4000-8000 | 10-18岁 |
| 隐形矫正 | 5000-13000 | 12-18岁 |
| 舌侧矫正 | 8000-20000 | 14-18岁 |
保险覆盖方面,约80%的美国商业保险和部分政府保险(如Medicaid)会覆盖部分正畸费用,但通常有严格条件:
- 医疗必要性:需证明牙齿问题影响功能(如咬合异常、颞下颌关节紊乱),而非单纯美观,反颌、深覆合等通常可报销,而轻微拥挤可能被视为“美容项目”不予报销。
- 年龄限制:多数保险覆盖12-18岁的青少年,早期干预(7-12岁)需额外申请。
- 报销比例:保险通常覆盖50%-70%的费用,剩余部分需家庭自付,部分保险设有“lifetime orthodontic benefit”(终身正畸福利),如最高报销5000美元,若孩子同时有医疗保险和牙科保险,可叠加报销。
为降低负担,许多家庭会选择正畸分期付款(如12-36期免息),或通过正畸诊所提供的“in-house financing”(内部融资)计划,但需注意利息和手续费。
家长在孩子正畸过程中的注意事项
- 选择专业正畸医生:美国正畸医生需完成牙科博士(DDS/DMD)学位后,再接受2-3年的正畸专科培训( Orthodontic Residency),持有正畸专科认证(ABO认证),家长可通过AAO官网查询认证医生,避免选择全科医生进行正畸治疗。
- 重视早期干预:7岁前的首次评估并非直接开始矫正,而是判断是否存在需要早期干预的问题(如颌骨发育异常、不良习惯),及时干预可减少后期矫正难度和时间。
- 配合医生沟通:正畸周期通常为1.5-3年,需定期复诊(每4-8周调整一次),家长应帮助孩子理解矫正的重要性,鼓励坚持佩戴矫治器(如隐形牙套、头帽),避免因疼痛或美观问题中途放弃。
- 加强口腔卫生:正畸期间牙齿清洁难度增加,需使用正畸专用牙刷、牙缝刷、冲牙器,避免托槽周围食物残留导致龋齿或牙龈炎。
- 关注饮食调整:戴传统托槽的孩子需避免过硬(如坚果、薯片)、过黏(如口香糖、软糖)食物,防止托槽脱落;隐形矫正者需摘下牙套进食,避免染色(如咖啡、可乐)。
相关问答FAQs
Q1:美国孩子几岁开始正畸最合适?
A:美国正畸协会建议7岁进行首次评估,但并非所有孩子7岁就需要开始矫正,是否需要早期干预取决于牙齿问题类型:若存在反颌、下颌后缩、严重拥挤或不良习惯(如吐舌),需在7-12岁进行早期干预;若仅为轻微牙齿不齐,通常在12岁左右恒牙基本萌出后开始矫正(传统矫正黄金年龄为10-14岁),隐形矫正则更适合12岁以上、配合度高的青少年。
Q2:正畸期间孩子牙齿疼痛怎么办?
A:正畸初期(戴牙套后1-2周)和每次调整后,牙齿轻微酸胀疼痛是正常现象,因为牙齿在移动,可通过以下缓解:① 避免咀嚼过硬食物,选择软食(如粥、面条、酸奶);② 用冰袋冷敷脸颊(每次15分钟,间隔1小时);③ 遵医嘱服用非处方止痛药(如布洛芬);④ 若疼痛持续超过1周或加剧,需及时联系医生检查是否有托槽摩擦或牙齿移动异常。
美国孩子牙齿正畸是一项融合医疗功能、心理健康和社会文化的综合干预,家长需结合孩子的牙齿问题、年龄、家庭经济状况,与专业正畸医生共同制定方案,通过科学矫正帮助孩子拥有健康的牙齿和自信的笑容。
