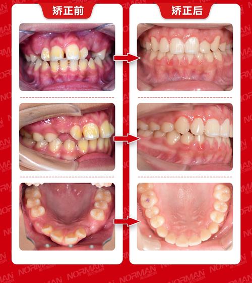
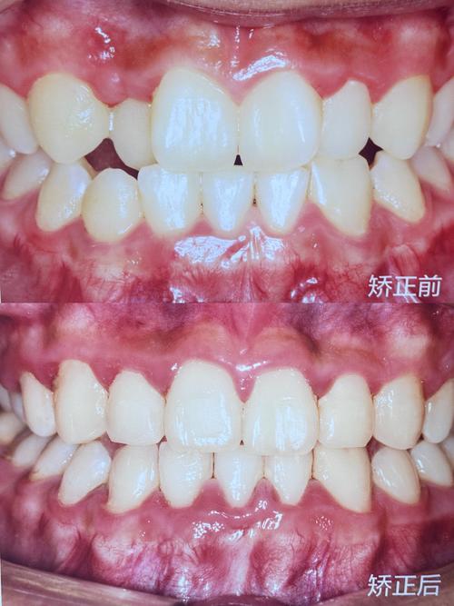
正畸治疗中,后牙的整体前移是一种通过精准的生物力学控制,将上下颌后牙(通常为第一磨牙、第二前磨牙等)整体性地向近中方向水平移动,同时避免其发生倾斜、旋转或垂直向伸长/压低的矫治技术,其核心原理在于利用后牙前移产生的间隙,解决前牙区拥挤、前突或牙弓长度不匹配等问题,在避免拔牙的前提下实现咬合关系的重建与面部美观的改善,是现代非拔牙矫治中的重要手段之一。
整体前移后牙的适用人群与核心目标
该技术主要适用于特定类型的错颌畸形患者:首先是安氏Ⅱ类错颌伴下颌后缩者,通过后牙前移带动下颌骨向前,改善“地包天”或“面部后缩”侧貌;其次是轻度牙弓长度不足但患者不愿拔牙者,利用后牙前移获取间隙排齐前牙;部分深覆颌、深覆盖或上下颌牙量轻度不调者,也可通过后牙整体前移实现垂直向与水平向的咬合协调,其核心目标包括:维持牙弓的连续性与弧度,避免后牙倾斜导致的咬合干扰;减少拔牙创伤,保留更多天然牙体组织;改善下颌位置,提升面部美观度;以及降低因倾斜移动可能引发的牙根吸收、牙周创伤等风险。

整体前移后牙的临床实现方法与技术要点
实现后牙整体前移需结合精密的矫治器设计与生物力学控制,目前临床常用方法包括传统固定矫治与隐形矫治两大类,各有其技术特点:
传统固定矫治技术(方丝弓/直丝弓矫治器)
在传统矫治中,整体前移的关键在于“强支抗”与“精准控根”,首先需在磨牙区植入支抗装置(如种植支抗钉、腭杆或舌弓),防止前牙因后牙前移而唇倾;随后使用0.018英寸或0.022英寸的不锈钢方丝,通过预成转矩(如上颌磨牙冠舌向转矩、下颌磨牙冠颊向转矩)控制后牙牙根的移动方向,确保后牙牙冠整体向近中移动,而非单纯倾斜;关闭间隙时多采用滑动法或关闭曲法,配合轻柔持续的力量(通常每侧50-100g),避免牙周组织损伤,需在第二前磨牙与第一磨牙间放置“停止曲”,防止后牙过度前移导致咬合紊乱。
隐形矫治技术
隐形矫治通过3D打印牙套与附件设计实现整体前移,医生需在数字化模型上模拟后牙移动轨迹,重点设计后牙牙面的“垂直块附件”“斜面附件”或“根控制附件”,这些附件可引导牙套施加水平向力,同时抵抗后牙近中倾斜的趋势;牙套的厚度与材料(如SmartTrack高弹性材料)需确保力量持续均匀,每副牙套的移动量控制在0.25-0.3mm,避免力量过大导致牙根吸收,对于支抗控制,隐形矫治常通过“颌间牵引”(如Ⅱ类牵引)或“种植支抗钉”辅助,确保前牙稳定。
不同方法的技术特点对比可参考下表:

| 矫治器类型 | 核心技术 | 适用情况 | 优势 | 局限性 |
|---|---|---|---|---|
| 传统固定矫治 | 方丝转矩控制、种植支抗、滑动法关闭间隙 | 复杂错颌、需强支抗控制者 | 力量直接可控,精细调整效率高 | 舒适度较低,口腔卫生维护难度大 |
| 隐形矫治 | 数字化模拟、附件引导、轻力持续移动 | 轻中度错颌、美观需求高者 | 隐形舒适,便于清洁,可预测性强 | 对复杂病例控制难度较高,依赖患者依从性 |
整体前移后牙的优势与潜在风险
优势
避免拔牙创伤:保留天然牙体组织与牙周支持,减少术后敏感与牙根吸收风险;维持牙弓稳定性:整体移动后牙可保持牙弓原有弧度,避免倾斜移动导致的“台阶样”咬合干扰,降低复发概率;改善面部功能与美观:对于下颌后缩患者,后牙前移可带动下颌骨向前,改善侧貌凸度与面部垂直高度;减少治疗并发症:相比倾斜移动,整体移动对牙周膜的应力分布更均匀,可降低牙根吸收、牙槽骨吸收等风险。
潜在风险与应对
尽管优势显著,整体前移后牙也存在一定风险:一是支抗丧失,若支抗控制不足,可能导致前牙唇倾或后牙前移不足,需通过加强支抗(如增加种植钉、使用颌间牵引)预防;二是后牙倾斜或旋转,需通过弓丝转矩或附件设计精细控制,定期拍摄根尖片监测移动方向;三是咬合干扰,后牙前移后需精细调整咬合高点,避免早接触导致颞下颌关节紊乱;四是牙周组织损伤,需控制移动速度(每月不超过1mm),同时加强口腔卫生指导,预防牙龈炎与牙槽骨吸收。
后牙整体前移是正畸治疗中兼顾功能与美观的重要技术,其成功依赖于严格的病例筛选、精准的生物力学控制与患者的积极配合,随着种植支抗与数字化矫治技术的发展,该技术的可控性与适用性不断提升,为更多非拔牙矫治需求提供了可能,医生需充分评估患者的牙周状况、骨面型与错颌类型,制定个性化方案,并在治疗中密切监控牙齿移动与咬合变化,以实现长期稳定的治疗效果。
相关问答(FAQs)
Q1:整体前移后牙适合所有类型的错颌吗?
A:并非所有患者都适用,该技术主要适用于骨性Ⅰ类或轻度骨性Ⅱ类错颌、牙弓长度轻度不足、牙周健康且无严重骨性畸形的患者,对于骨性Ⅱ类严重(如下颌后缩超过10mm)、牙弓长度严重不足(需间隙超过7mm)、或存在严重牙周炎、牙根形态异常(如弯根、根尖吸收)者,可能需结合正颌手术或拔牙矫治,否则易导致治疗失败或并发症。

Q2:整体前移后牙治疗后,牙齿会复发吗?如何预防?
A:任何正畸治疗均存在复发风险,整体前移后牙也不例外,复发主要与牙齿周围组织的改建稳定性、保持器的佩戴及咬合习惯有关,为预防复发,治疗后需严格佩戴保持器:通常要求全天佩戴(除进食、刷牙外)连续6个月,之后夜间长期佩戴(至少1-2年);同时需避免用前牙咬硬物、磨牙等不良习惯,并定期(每3-6个月)复查,监测咬合关系与牙齿位置,及时调整保持器以确保效果稳定。
