种牙后过渡牙是指在种植体植入牙槽骨后、最终修复体(如全瓷牙冠)安装前,临时恢复牙齿形态与功能的修复体,由于种植体需要3-6个月的骨结合期才能承受咀嚼力,这段时间缺牙会影响饮食、发音,甚至导致邻牙倾斜、对颌牙伸长等问题,过渡牙因此成为种牙过程中的“临时解决方案”,其重要性在于维持口腔功能与稳定,为最终修复奠定基础。
过渡牙的主要类型及特点
根据缺牙数量、位置及患者需求,过渡牙可分为多种类型,各有适用场景:

| 类型 | 材料与制作方式 | 适用情况 | 优缺点 |
|---|---|---|---|
| 树脂临时牙 | 用牙科树脂直接在口腔内或模型上塑形 | 单颗前牙、后牙临时修复 | 优点:制作快、价格低、可反复调整;缺点:强度低、易磨损、美观度一般 |
| 活动义齿过渡牙 | 利用剩余牙齿作卡环,基托覆盖缺牙区 | 多颗牙缺失、全口种植过渡期 | 优点:适用范围广、可自行摘戴清洁;缺点:异物感强、可能影响发音、稳定性较差 |
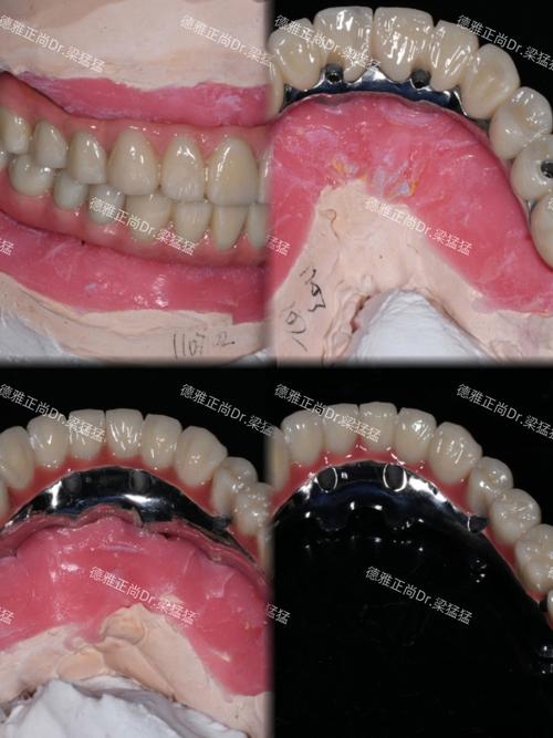
| 临时冠桥 | 在种植体基台上制作临时牙冠或连桥(如丙烯酸树脂) | 单颗或多颗牙种植,需固定修复 | 优点:美观度高、咀嚼功能较好、无异物感;缺点:制作技术要求高、费用相对较高 |
| 3D打印过渡牙 | 通过口扫数据打印树脂或高分子材料临时牙 | 对美观和精度要求高的患者 | 优点:精度高、制作周期短、个性化设计;缺点:设备依赖性强、成本较高 |
过渡牙的核心作用
- 恢复基本咀嚼功能:过渡牙可替代缺失牙的咀嚼作用,避免因长期缺牙导致的饮食受限,尤其对后牙缺失患者,能维持正常的咬合关系。
- 维持口腔美观与发音:前牙缺失会影响面部美观和发音(如齿音、唇齿音),过渡牙可快速恢复牙齿形态,避免社交尴尬。
- 防止邻牙移位与对颌牙伸长:缺牙后,邻牙会向缺牙区倾斜,对颌牙会伸长,导致咬合紊乱;过渡牙可占据缺牙间隙,维持牙齿原有位置。
- 引导牙龈成形:对于前牙美学区种植,过渡牙的形态可引导牙龈围绕种植体形成自然的“牙龈袖口”,为最终修复体的美观效果(如“牙龈乳头”形态)打下基础。
- 保护种植体与周围组织:临时冠桥覆盖种植体基台,可避免食物残渣、细菌侵入种植体周围,预防种植体周围炎;同时减少对牙龈的直接刺激,促进愈合。
使用过渡牙的注意事项
- 饮食管理:避免咀嚼过硬、黏性或韧性大的食物(如坚果、口香糖、牛肉干),防止临时牙脱落或损坏;前牙过渡牙尽量减少啃咬动作(如咬苹果)。
- 口腔卫生清洁:使用软毛牙刷轻刷过渡牙与牙龈交界处,配合牙线或牙缝刷清洁邻间隙;活动义齿需每天摘下清洗,避免食物残渣堆积引发炎症。
- 定期复诊检查:医生需定期检查过渡牙的松动度、密合度及牙龈状况,若出现临时牙脱落、破损或牙龈红肿,需及时复诊调整或重做。
- 避免咬硬物:即使过渡牙能承受一定咀嚼力,也不应作为“永久牙”过度使用,以免导致种植体负荷过大或临时牙断裂。
- 及时处理突发问题:若过渡牙脱落,切勿自行粘接,需保存好临时牙并尽快就医,以免缺牙间隙变化影响最终修复。
相关问答FAQs
Q1:过渡牙和最终种植牙有什么区别?
A:过渡牙是临时修复体,主要作用是维持口腔功能与稳定,材料多为树脂或丙烯酸,强度和耐磨性较差,使用寿命通常为3-6个月;而最终种植牙是永久修复体,材料为全瓷、金属烤瓷等,强度接近天然牙,美观度和咀嚼功能更佳,可长期使用(维护得当可使用10年以上),过渡牙需在骨结合期后拆除,最终种植牙则通过基台与种植体牢固连接,承受咬合力更强。
Q2:过渡牙使用期间出现牙龈出血怎么办?
A:过渡牙期间牙龈出血多因清洁不到位或临时牙边缘刺激导致,首先需加强口腔卫生,采用巴氏刷牙法刷牙,使用牙线清洁邻间隙,并配合漱口水(如氯己定漱口液)减少细菌;若出血持续或伴有牙龈红肿、疼痛,可能是临时牙边缘不密合压迫牙龈或存在食物嵌塞,需及时复诊,医生会检查并调整临时牙边缘,必要时重做以避免刺激牙龈。

