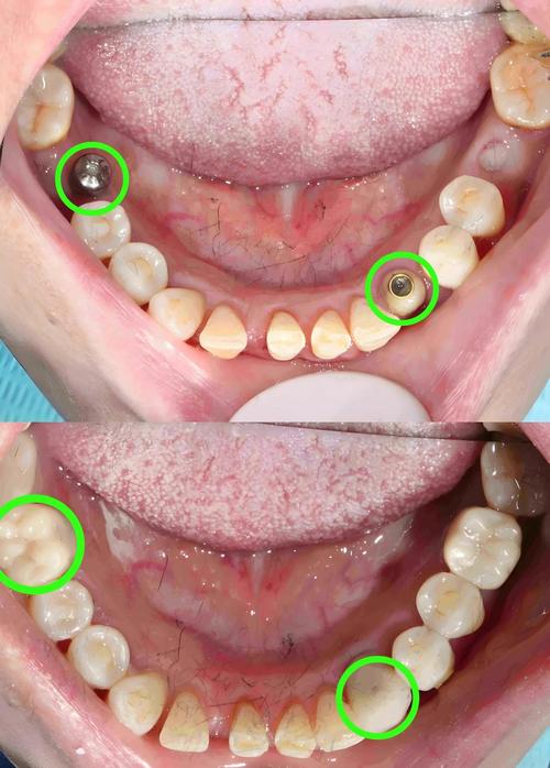
在种植牙治疗过程中,由于种植体需要与牙槽骨形成稳定的骨结合(通常需要2-6个月),这段时间内患者缺牙区域的咀嚼功能、美观及邻牙稳定性会受到影响,过渡牙作为种植牙的“临时修复体”,承担着恢复基本功能、维持口腔空间、引导牙龈塑形等重要角色,而“小”则体现在其体积小巧、设计简化、成本低廉且适应初期恢复需求的特点,是种植牙治疗中不可或缺的“缓冲期”解决方案。
过渡牙的核心作用与必要性
种植牙手术并非“一次成型”,从种植体植入到最终戴入永久牙冠,中间存在骨结合期,若此期间不使用过渡牙,可能出现多种问题:邻牙向缺牙区倾斜、对颌牙伸长导致咬合紊乱、牙龈萎缩影响最终美观,甚至因咀嚼功能缺失导致消化系统负担加重,过渡牙通过模拟天然牙的形态与功能,有效解决这些问题,为种植牙的长期成功奠定基础。

尤其对于前牙区缺失患者,美观需求迫切,小巧的过渡牙能快速恢复面部自然度,避免社交尴尬;后牙区缺失则更注重咀嚼功能,过渡牙可维持基本咬合关系,防止邻牙移位,过渡牙还可帮助患者适应“牙齿存在”的感觉,为后期永久牙冠的使用做好心理和生理准备。
过渡牙的主要类型与特点
根据修复方式、材料及适用场景,过渡牙可分为活动式、固定式及即刻修复式三大类,各类别均以“小巧、灵活、适配初期需求”为设计核心。
活动式过渡义齿
活动式过渡义齿是临床最常用的类型,通过卡环或基托与邻牙、牙龈组织固位,患者可自行摘戴,其“小”体现在结构简化:通常采用较少的卡环(1-2个)和薄型基托,减少对口腔的覆盖面积,提升舒适度。
- 材料:主要使用热凝树脂或自凝树脂,成本低、加工便捷,且可通过调改适应不同口腔条件。
- 适用情况:适用于单颗或多颗牙缺失,尤其适合牙槽骨条件一般、初期稳定性差或需频繁调整的患者。
- 优点:对邻牙损伤小,清洁方便,费用低(通常为永久种植牙的1/5-1/3);
- 缺点:异物感较强,咀嚼效率约为天然牙的40%-60%,可能存在基托摩擦牙龈的情况。
固定式过渡桥
固定式过渡桥通过粘接剂固定在邻牙或已植入的种植体上,患者无法自行摘戴,类似“迷你版”永久牙冠,其“小”在于体积小巧,减少对邻牙的磨除量,且咬合面设计简化,避免对种植体产生过大压力。

- 材料:多为PMMA(聚甲基丙烯酸甲酯)或复合树脂,强度适中,便于调整咬合。
- 适用情况:适用于单颗前牙或后牙缺失,且邻牙健康、可提供足够固位的情况,尤其适合对美观和咀嚼要求较高的患者。
- 优点:稳定性好,咀嚼效率可达70%-80%,美观度高,无异物感;
- 缺点:需少量磨除邻牙 enamel,若骨结合期需调整,拆除可能损伤牙体;费用略高于活动式(约为永久种植牙的1/4-1/2)。
即刻修复过渡牙
即刻修复过渡牙是在种植体植入同期(或术后短期内)制作的临时修复体,实现“即拔即种”后的即刻功能恢复,其“小”体现在高度简化设计:形态简单、咬合接触点少,避免种植体初期负重。
- 材料:常用树脂或3D打印树脂,24小时内可完成制作,缩短治疗周期。
- 适用情况:适用于牙槽骨条件良好、种植初期稳定性高的患者(如前牙区即刻种植)。
- 优点:快速恢复美观与功能,减少治疗次数,维持牙龈形态;
- 缺点:对医生技术要求高,需严格控制咬合,避免种植体松动;长期使用(超过6个月)可能发生树脂磨损或折裂。
过渡牙的设计要点与临床适配
过渡牙虽“小”,但需严格遵循生物力学和美学原则,以确保其安全性与有效性。
(1)材料选择:兼顾强度与生物相容性
过渡牙材料需满足以下要求:足够的机械强度(抵抗咀嚼力)、良好的生物相容性(不刺激牙龈)、易调改(适应骨结合期的生理变化),PMMA树脂因成本低、易加工、色泽接近天然牙,成为首选;复合树脂可增强耐磨性,适合后牙区;而3D打印树脂则能精准匹配种植体位置,提升适配度。
(2)咬合设计:轻接触、避重载
种植体初期骨结合阶段,咬合力过大会导致种植体微动,影响骨愈合,因此过渡牙需设计为“轻咬合”状态:咬合面减少尖窝交错形态,与对颌牙仅点状或线状接触,且正中咬合时无早接触,前牙区过渡牙需适当降低切缘,避免前伸咬合时的创伤。

(3)边缘密合度:防止食物嵌塞与牙龈刺激
过渡牙的边缘应与牙龈组织紧密贴合,避免悬突导致食物嵌塞或牙龈炎症,活动式义齿的基托边缘需磨圆钝,固定式过渡桥的边缘应位于牙龈上方0.5-1mm,既不压迫牙龈,又减少菌斑堆积。
(4)美观适配:前牙区的“自然过渡”
前牙区过渡牙需重点考虑颜色、形态与邻牙的协调性:颜色比邻牙略浅1-2个色阶,为后期永久牙冠的调色留余地;形态呈“圆钝状”,避免尖锐边缘刺激牙龈;唇侧突度与邻牙一致,维持唇部丰满度。
过渡牙的使用周期与维护
过渡牙的使用时间需根据骨结合情况调整,通常为2-6个月:下颌骨结合较快(2-4个月),上颌因骨密度较低需4-6个月;年轻患者骨代谢旺盛,可适当缩短周期,期间需注意以下维护要点:
- 清洁方式:活动式过渡义齿需摘下用软毛刷+牙膏清洁,睡前浸泡在义齿清洁液中;固定式过渡桥使用牙线+冲牙器清洁邻间隙,避免食物嵌塞。
- 饮食禁忌:避免过硬(坚果、骨头)、黏性(口香糖、年糕)食物,防止树脂折裂或移位;前牙区过渡牙避免啃咬动作(如咬苹果)。
- 定期复诊:每2-4个月复查一次,检查过渡牙有无松动、破损,牙龈有无红肿,咬合是否需要调整,若出现基托折裂、卡环变形等问题,需及时修补或重做,避免影响治疗效果。
相关问答FAQs
Q1:过渡牙能用多久?需要更换吗?
A:过渡牙的使用时间主要取决于种植体骨结合情况,通常为2-6个月,下颌骨结合较快(约2-4个月),上颌需4-6个月,期间若出现以下情况,需及时更换或调整:① 树脂磨损、折裂或变形;② 咬合过高导致牙齿酸痛;③ 牙龈红肿、出血(可能与边缘不密合有关);④ 邻牙发生移位导致过渡牙松动,医生会通过定期复查评估,必要时在骨结合期中期更换过渡牙,确保其功能与稳定性。
Q2:过渡牙吃东西有注意事项吗?能吃硬的吗?
A:使用过渡牙期间,饮食需以“温和、软质”为主,避免过硬、过黏、过韧的食物,具体包括:① 禁食坚果、硬糖、骨头等硬物,防止树脂牙冠或基托折裂;② 避免口香糖、糯米糕等黏性食物,以免活动式过渡义齿脱落或固定式过渡桥粘接剂溶解;③ 减少啃咬动作(如咬苹果、撕扯包装),改用刀具切割后食用;④ 尽量双侧咀嚼,避免长期用单侧导致咬合紊乱,后牙区过渡牙可适当承担咀嚼功能,但咀嚼效率约为天然牙的50%-70%,需避免过度使用。
