上海静安牙防所作为区域内专业的口腔健康服务机构,在正畸领域积累了丰富的临床经验,依托公立医疗机构的严谨性和专业性,为不同年龄段的患者提供个性化的牙齿矫正方案,其正畸团队由资深口腔正畸医师领衔,结合先进的技术设备和规范的诊疗流程,致力于解决牙齿排列不齐、咬合异常、面部美学等问题,帮助患者恢复口腔健康与自信笑容。
正畸团队与资质保障
上海静安牙防所的正畸医师团队均具备正规院校口腔正畸专业背景,多数拥有硕士及以上学历,并持有国家认证的正畸专科医师资格,团队核心成员平均临床经验超过10年,擅长处理各类复杂错颌畸形,如骨性畸形、埋伏牙阻生、成人矫治等,牙防所定期邀请国内知名正畸专家进行学术交流和病例会诊,确保诊疗方案与国际前沿技术接轨,作为公立医疗机构,其收费标准严格遵循上海市物价部门规定,价格透明无隐形消费,让患者安心接受治疗。

先进技术与个性化方案
在技术设备方面,牙防所引进了数字化正畸系统,包括口内扫描仪、CBCT影像设备及3D模拟矫正软件,可实现精准的牙齿数据采集和方案设计,针对不同患者的需求,提供多样化的矫正方式:
- 传统金属托槽矫正:性价比高,适用于各类错颌畸形,通过调整托槽位置实现牙齿移动;
- 陶瓷半隐形矫正:托槽材质接近牙齿颜色,美观度较好,适合对美观有一定要求的患者;
- 隐形矫正:采用3D打印制作的透明牙套,可自行摘戴,方便清洁,适合成人及青少年;
- 自锁托槽矫正:摩擦力小,矫正效率高,可缩短治疗周期,减少复诊次数。
在方案设计上,医师团队会结合患者的口腔状况、面部美学诉求及生活习惯,制定“一人一策”的个性化方案,对于青少年患者,会重点关注生长发育对矫治的影响,采用功能性矫治器引导颌骨正常发育;对于成人患者,则更注重咬合功能与面部协调性的平衡,必要时联合牙周科、修复科进行多学科联合治疗。
规范化诊疗流程与服务细节
上海静安牙防所的正畸诊疗流程严格遵循医疗规范,分为初诊检查、方案设计、矫治实施、保持器佩戴四个阶段,初诊时,医师会通过口腔检查、X光片、模型分析等全面评估患者口腔状况,与患者充分沟通后确定矫治目标,方案设计阶段,利用数字化软件模拟牙齿移动过程,让患者直观了解矫正效果,矫治过程中,医师定期调整矫治器,监测牙齿移动情况,确保治疗进度与方案一致,拆除矫治器后,需佩戴保持器维持疗效,防止牙齿复发。
牙防所注重患者的就诊体验,设立专门的客服人员解答疑问,提供预约提醒、复诊安排等便民服务,对于矫正期间可能出现的不适,如疼痛、口腔溃疡等,医师会及时给予指导和建议,帮助患者顺利度过矫治期。

典型案例与效果反馈
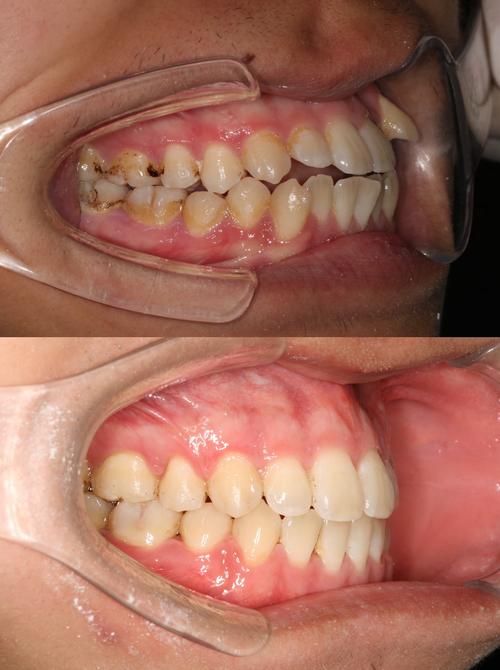
近年来,上海静安牙防所正畸团队成功完成了数千例正畸案例,涵盖儿童、青少年及成人群体,一名12岁的患者因“上颌前突、下颌后缩”导致面部凸出,通过功能性矫治器与固定矫治器联合治疗,1年后牙齿排列整齐,面部侧貌明显改善;一名35岁成人患者因“牙列拥挤、牙齿变色”选择隐形矫正,在18个月内达到理想效果,同时避免了传统托槽对美观的影响,患者的良好反馈不仅体现了团队的技术实力,也印证了公立医疗机构在正畸领域的专业与可靠。
费用参考(部分)
为帮助患者了解大致费用,以下是常见矫正方式的参考价格(具体以面诊后方案为准):
| 矫正方式 | 费用范围(元) | 特点 |
|---|---|---|
| 传统金属托槽 | 8000-15000 | 性价比高,适用范围广 |
| 陶瓷半隐形托槽 | 12000-20000 | 美观度较好,强度适中 |
| 隐形矫正(国产) | 15000-30000 | 透明舒适,可自行摘戴 |
| 隐形矫正(进口) | 30000-50000 | 精度高,品牌多样 |
| 自锁托槽 | 15000-25000 | 矫正周期短,复诊次数少 |
相关问答FAQs
Q1:成人矫正的最佳年龄是什么时候?会不会太晚?
A:成人矫正没有严格的年龄上限,只要牙周健康状况允许(无严重牙周病、牙槽骨吸收等)即可进行,成年人的颌骨已停止发育,矫正速度可能略慢于青少年,但通过数字化精准设计和规范治疗,仍能达到理想效果,上海静安牙防所针对成人患者会重点考量咬合功能与面部美学的平衡,必要时联合其他科室进行治疗,确保矫正效果与长期稳定性。
Q2:矫正过程中需要特别注意哪些事项?
A:矫正期间需保持良好的口腔卫生,每次进食后使用软毛牙刷清洁牙齿及矫治器,避免食物残留导致龋齿或牙周问题;避免食用过硬、黏性食物(如坚果、口香糖),防止托槽脱落;严格按照医师复诊,定期调整矫治器,确保牙齿按计划移动;若出现托槽脱落、钢丝刺口等异常情况,需及时联系医师处理,切勿自行调整,佩戴隐形矫正器需保证每日佩戴时间不少于20小时,同时避免用热水冲洗牙套,防止变形。

