牙床打孔种牙,在医学上称为“种植体植入术”,是种植牙手术的核心环节,也是决定种植牙成功与否的关键步骤,就是通过外科手术的方式,在缺失牙的牙槽骨(即“牙床”)中制备一个与种植体匹配的窝洞,然后将纯钛或钛合金制成的种植体(人工牙根)植入其中,待其与牙槽骨紧密结合后,再在上方安装基台和牙冠,最终恢复牙齿的形态与功能,这一技术不仅解决了传统假牙的固位和舒适度问题,更因能模拟天然牙的受力方式,有效避免邻牙松动和牙槽骨萎缩,成为目前公认的牙齿缺失首选修复方案。
牙床打孔种牙的必要性:为何要“打孔”?
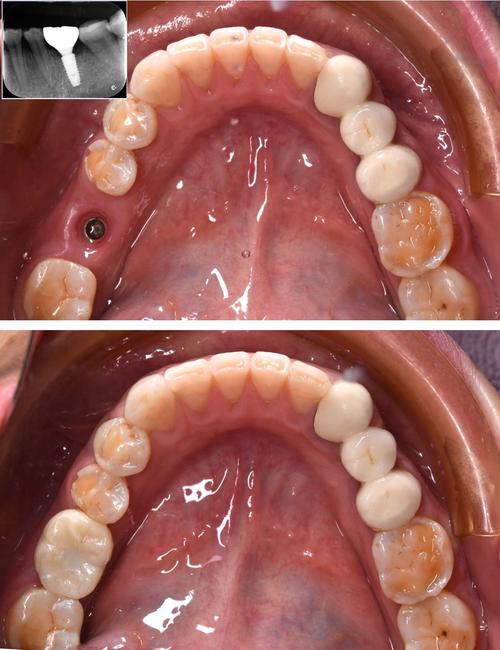
天然牙缺失后,牙槽骨会因失去咀嚼刺激而逐渐吸收、萎缩,导致牙床骨量不足、宽度或高度不够,若直接在萎缩的牙床上安装假牙,不仅固位差、易松动,还会加速牙槽骨进一步流失,而“打孔种牙”的本质,是为人工牙根(种植体)创造一个稳定的“家”,通过种植体与牙槽骨的“骨结合”(osseointegration),实现类似天然牙根的生理功能。

骨结合是瑞典学者Branemark于20世纪60年代提出的概念,指钛种植体与活体骨组织之间形成直接的、功能性的结构连接,无软组织介入,这一过程需要3-6个月(具体时间因个人骨条件而异),一旦成功,种植体就能承受咀嚼力,为后续牙冠提供稳定支撑,牙床打孔的精准度、种植体的植入位置和方向,直接关系到骨结合的质量和种植牙的长期使用效果。
牙床打孔种牙的详细操作步骤
种植体植入术是一个精细化、标准化的外科操作流程,通常在局部麻醉下进行,整个手术过程根据种植体数量和复杂程度,可能持续30分钟到2小时不等,以下是具体步骤:
术前准备:精准评估,规划方案
- 口腔检查与影像学分析:通过口腔CBCT(锥形束CT)三维重建,清晰观察牙槽骨的厚度、高度、密度,以及邻牙位置、神经管(如下牙槽神经管)、上颌窦等重要解剖结构,确保种植体植入路径避开危险区域。
- 全身健康评估:排除严重系统性疾病(如未控制的糖尿病、心脏病、骨质疏松等),评估患者是否适合手术,长期服用双膦酸盐类药物(如治疗骨质疏松的药物)的患者,需警惕颌骨坏死风险,需与专科医生沟通后再决定手术时机。
- 口腔卫生控制:术前需完成牙周治疗(如洗牙、龈下刮治),确保口腔内无活动性炎症(如牙龈炎、牙周炎),降低术后感染风险。
麻醉与消毒:无痛操作的基础
- 局部麻醉:在牙床植入区域注射利多卡因等局部麻醉药物,待麻醉起效后(约5-10分钟),患者术中基本无疼痛感,仅能感受到器械的轻微压力。
- 术区消毒:用含碘消毒液(如碘伏)对口腔术区及周围皮肤进行严格消毒,铺无菌手术巾,确保手术过程在无菌环境下进行,避免感染。
切开牙龈,暴露牙槽骨
- 切口设计:根据种植体位置和牙槽骨条件,选择“角形切口”“梯形切口”或“弧形切口”等,切开牙龈黏膜和骨膜,充分暴露牙槽骨表面,若牙龈较薄或附着不足,可能需同时进行“牙龈成形术”,为后期美学修复创造条件。
- 剥离骨膜:用骨膜剥离器小心剥离骨膜,暴露足够大的手术视野,确保种植体植入过程中能精准控制方向和深度。
逐级备洞:精准“打孔”的核心环节
“打孔”并非一次钻穿,而是通过一系列直径逐渐增大、尖端形态不同的钻头(称为“备洞钻”),逐级扩大窝洞,这一过程被称为“逐级备洞”或“阶梯式备洞”,其目的是:
- 避免一次性钻除过多骨组织,减少对牙槽骨的热损伤;
- 通过不同直径的钻头修整窝洞形态,使其与种植体外形匹配,提升初期稳定性;
- 保护牙槽骨周围的神经和血管,降低术后并发症风险。
具体步骤如下:

- 定位与导向:先用球钻在牙槽骨表面标记种植体植入的中心点,确定植入角度(通常与邻牙长轴平行,或根据咬合调整)。
- 起始备洞:用直径2-3mm的先锋钻(尖端呈锥形)以低速(800-1200转/分)钻入,深度达计划植入高度的1/3-1/2,同时持续用生理盐水冲洗,带走钻头产生的热量(骨组织温度超过47℃时会发生坏死),避免骨灼伤。
- 逐级扩大:更换直径更大的备洞钻(如3mm、4mm、5mm等),每次增加0.5-1mm,逐步加深窝洞深度,直至达到预设的种植体植入深度(通常为10-15mm,具体根据种植体长度而定)。
- 攻丝(部分情况):若牙槽骨密度较高(如致密皮质骨),需用攻丝钻在窝洞内攻出螺纹,便于种植体顺利植入;若为松质骨(较疏松的骨组织),部分种植体自身具备自攻功能,可直接植入。
植入种植体,确保初期稳定性
备洞完成后,将选定的种植体(通常为纯钛或钛合金材质,表面经喷砂酸蚀处理以增加骨结合面积)用植入器或手动扳手缓慢旋入窝洞中,植入过程中需注意:
- 方向控制:严格按照术前CBCT规划的植入角度进行,避免种植体偏向邻牙、神经管或上颌窦。
- 深度控制:种植体顶部应与牙槽骨表面平齐,或根据修复需求略微低于骨面(埋入式种植),为后续基台安装留出空间。
- 初期稳定性:种植体植入后需具备良好的“初期稳定性”(即植入瞬时的机械稳定性),这是骨结合的前提,可通过叩诊种植体(无松动感)或植入扭矩监测(通常植入扭矩>35N·cm)判断,若稳定性不足,可能需选择更粗的种植体或进行骨增量处理。
缝合与术后处理
- 缝合伤口:用可吸收缝线(如胶原线)或丝线关闭牙龈切口,若牙龈张力较大,可能需减张缝合。
- 术后医嘱:告知患者术后24小时内避免刷牙、漱口(可用棉签轻轻清洁口腔),饮食以温凉流食或半流食为主,避免患侧咀嚼;术后可冰敷面部(每次15-20分钟,间隔1小时)减轻肿胀;遵医嘱服用抗生素(如阿莫西林)和止痛药(如布洛芬);术后7-10天拆线。
不同骨条件下的“打孔”策略:骨量不足怎么办?
并非所有患者的牙床都具备理想的骨量,若因长期缺牙导致牙槽骨严重萎缩(如骨宽度<5mm、高度<8mm),直接“打孔”可能损伤神经、上颌窦,或导致种植体初期稳定性不足,此时需先进行“骨增量手术”,待骨量充足后再行种植体植入,常见骨增量方法如下:
| 骨增量方法 | 适用情况 | 操作原理 | 优点 | 缺点 |
|---|---|---|---|---|
| 引导骨再生术(GBR) | 局部骨缺损(如骨壁凹陷)、宽度不足5mm | 在骨缺损区放置生物膜(如胶原膜),阻挡软组织长入,同时植入骨移植材料(自体骨/异体骨/骨替代材料),引导骨细胞再生 | 操作相对简单,适用于小型骨缺损 | 需二次手术取自体骨(若用自体骨),成骨时间较长(约4-6个月) |
| 上颌窦提升术 | 上颌后牙区牙槽骨高度不足(<8mm) | 通过“开窗式”或“冲压式”将上颌窦底黏膜推起,在窦腔内填入骨移植材料,增加骨高度;严重不足时需同时植入种植体 | 解决上颌后牙骨量不足问题,成功率较高(>90%) | 手术风险较高(可能损伤上颌窦黏膜),术后可能出现鼻窦炎、出血等并发症 |
| 牙槽骨扩张术 | 牙槽骨宽度不足(5-8mm)、骨密度较高 | 用专用器械(如骨劈开钻)将牙槽骨横向扩张,无需大量植骨,直接在扩张区植入种植体 | 避免植骨手术,缩短治疗周期,适用于轻度骨宽度不足 | 对术者技术要求高,可能造成骨裂,仅适用于骨密度较高的患者 |
术后恢复与长期维护:种植牙“活”得久的关键
种植体植入后,需经历“骨结合期”(3-6个月),期间种植体与牙槽骨逐渐融合,期间需避免种植体承受过大咬合力(如不用患侧咀嚼、不啃咬硬物),骨结合完成后,需安装基台(连接种植体与牙冠的中间结构),再取模制作牙冠(全瓷冠、烤瓷冠等),最终完成修复。
种植牙并非“一劳永逸”,需长期维护:
- 口腔卫生:每天刷牙2次,使用牙线、冲牙器清洁种植体周围,避免种植体周围炎(类似于天然牙的牙周炎,会导致骨吸收、种植体松动)。
- 定期复诊:术后第1年每3-6个月复查1次,之后每年复查1次,检查种植体稳定性、咬合情况及牙周健康。
- 避免不良习惯:如咬硬物(坚果、螃蟹壳)、夜磨牙(需佩戴夜磨牙垫),以免种植体或牙冠损坏。
风险与并发症:虽然罕见,但需警惕
牙床打孔种牙作为成熟外科手术,成功率较高(95%以上),但仍存在一定风险:
- 术中并发症:神经损伤(如下牙槽神经损伤导致下唇麻木,多因种植体植入过深或偏向神经管,发生率<1%)、上颌窦穿孔(术中突破上颌窦黏膜,需立即修补)、出血(多因损伤血管,压迫即可止血)。
- 术后并发症:感染(术区红肿、疼痛、溢脓,需抗生素治疗或清创)、种植体松动(初期稳定性不足或过早负重,需取出种植体待骨愈合后重新植入)、种植体周围炎(口腔卫生维护不当导致,需进行刮治或植骨)。
相关问答FAQs
Q1:牙床打孔种牙手术会很痛吗?
A1:手术过程中会采用局部麻醉,患者基本无疼痛感,仅能感受到器械的轻微压力,术后麻醉消退后,部分患者可能出现轻微胀痛或不适,类似于拔牙后的反应,通常可通过服用止痛药(如布洛芬)缓解,疼痛持续2-3天会逐渐消失,若疼痛剧烈或持续加重,需及时复诊,排除感染或血肿等问题。
Q2:种植牙能用多久?是“终身”的吗?
A2:种植牙的使用寿命与多种因素相关:若患者口腔卫生良好、定期复诊、避免不良咬合习惯,种植体理论上可终身使用;牙冠部分(全瓷冠)通常可用10-15年,若出现磨损或崩瓷,可更换新牙冠,目前临床数据显示,种植牙10年成功率可达90%以上,20年成功率仍达80%左右,远高于传统活动假牙和固定桥修复。
