正畸治疗中,拔牙是常见的调整手段之一,尤其是拔除上颌第一前磨牙(俗称“上4”)和下颌第一前磨牙(俗称“下5”),在临床上应用广泛,这一方案并非随意选择,而是基于牙齿、颌骨、咬合及面部美观等多维度综合评估的结果,其核心目的是通过有限度的牙齿移位,解决牙齿拥挤、咬合异常等问题,最终实现功能与健康的统一。
为什么选择拔除“上4下5”?
前磨牙位于牙弓中段,介于前牙(切牙、尖牙)和后牙(磨牙)之间,其形态、位置及功能特点使其成为拔牙矫治的“理想选择”,上颌第一前磨牙(上4)通常为单根牙(少数为双根),牙根较短且直,拔除创伤小、愈合快;下颌第一前磨牙(下5)多为双根,但牙根分离度适中,拔除难度较低,更重要的是,拔除这两颗牙后,可通过牙齿移动高效利用空间:前牙可向舌侧内收改善前突,后牙可向近中移动调整磨牙关系,同时减少对邻牙(如尖牙、磨牙)的干扰,避免过度移动导致牙根吸收或牙周损伤。

拔除“上4下5”的常见适应症
并非所有正畸患者都需要拔牙,是否拔除“上4下5”需严格依据临床检查结果,以下是主要的适应症情况,可通过表格更直观呈现:
| 评估维度 | 具体表现 | 拔牙必要性 |
|---|---|---|
| 牙齿拥挤度 | 牙弓内牙齿实际宽度大于牙弓 available 长度,拥挤度≥4mm(中度以上拥挤) | 拔牙可释放足够空间,排列整齐牙齿,避免单纯扩弓导致牙根外露或面型增宽 |
| 咬合关系异常 | Ⅲ类错合(反合)、Ⅱ类错合(深覆盖、深覆合),需通过前牙内收或后牙前移调整咬合 | 拔除中段牙齿可协调上下颌牙弓长度,建立中性咬合关系,改善咀嚼功能 |
| 面部突度 | 上颌前突(“龅牙”)、双颌前突,嘴唇闭合困难,影响美观 | 内收前牙可减少上下唇前突度,使面型更协调,避免“瘪嘴”或“凸嘴” |
| 牙弓比例不调 | Bolton指数异常(上前牙总宽度与下前牙总宽度比例不调),导致咬合干扰 | 拔除一侧上4、下5可调整牙齿总量匹配,避免修复或过度移动导致咬合紊乱 |
| 牙周健康与骨骼因素 | 牙量骨量不匹配(牙齿过大、颌骨过小),无严重牙周疾病 | 拔牙是“量体裁衣”的必要手段,避免在有限骨量内强行排牙导致牙龈萎缩或牙槽骨吸收 |
拔牙后的牙齿移动机制与效果
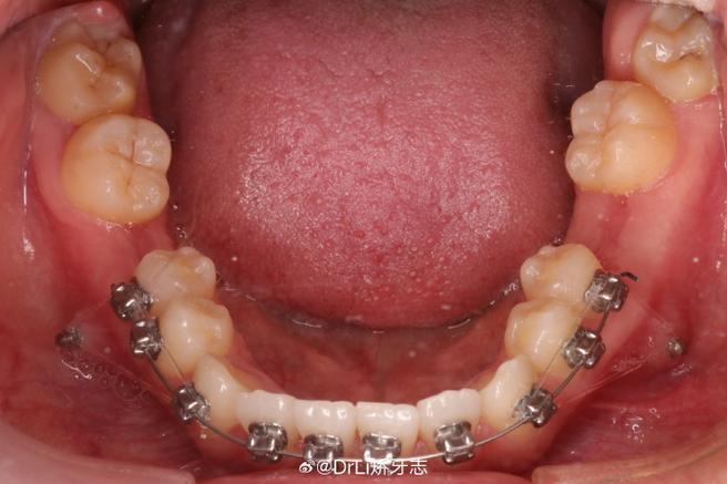
拔除“上4下5”后,正畸医生会通过固定矫治器(如金属托槽、陶瓷托槽)或隐形矫治器,施加持续、轻柔的生物力,引导牙齿按预设方向移动,具体移动机制包括:
- 前牙内收:上颌前牙(切牙、尖牙)在弓丝牵引下向舌侧移动,关闭拔牙间隙,改善前突;下颌前牙同步内收,协调上下唇关系。
- 后牙前移:上颌后牙(第一磨牙、第二前磨牙)向近中移动,与下颌磨牙建立中性咬合(上颌第一磨牙近中颊尖咬合于下颌第一磨牙颊沟);下颌后牙前移调整咬合接触点,分散咀嚼压力。
- 垂直向控制:通过颌间牵引(如橡皮筋)或种植支抗,避免后牙过度伸长或压低,维持咬合平面稳定,防止“地包天”或“深覆合”复发。
这一过程通常需要18-24个月,期间医生会通过定期复诊(4-6周一次)调整矫治力,确保牙齿移动符合预期,治疗结束后,需佩戴保持器(通常为透明保持器或 Hawley 保持器)至少2年,防止牙齿因牙周韧带记忆而复发。
拔牙矫治的流程与注意事项
拔牙并非正畸治疗的“终点”,而是“起点”,整个流程需严格把控,确保安全与效果。

术前准备:全面评估是前提
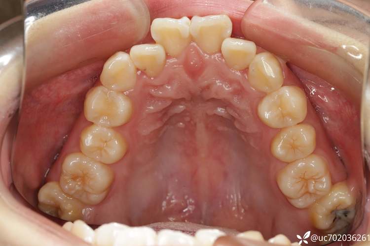
拔牙前需完成多项检查:全口曲面断层片(观察牙根形态、牙槽骨高度、埋伏牙);头颅侧位片(分析骨骼型、牙齿倾斜度、软组织侧貌);口腔模型(测量拥挤度、 Bolton 指数);牙周检查(评估牙龈健康状况,若有牙周炎需先控制炎症),排除拔牙禁忌症(如凝血功能障碍、严重骨质疏松等)。
拔牙操作:分次拔除减少创伤
为降低术后反应,通常采用“分次拔除”策略:先拔除一侧上4和下5,间隔1-2周后再拔除另一侧,拔牙时,医生会局部麻醉,使用微创拔牙器械(如牙挺、牙钳),尽量减少牙槽骨损伤,保护邻牙牙根,拔牙后需咬棉球30-60分钟压迫止血,24小时内不刷牙、不漱口,避免吮吸动作,防止血凝块脱落(干槽症)。
正畸治疗:精细调整是关键
拔牙后1-2周,待拔牙创口初步愈合,即可开始戴矫治器,初期牙齿会有轻微酸胀感,属正常现象,1周内可逐渐缓解,治疗期间需特别注意口腔卫生:使用正畸牙刷、牙间刷、冲牙器清洁托槽周围,避免食物残留导致龋齿或牙龈炎;避免啃食硬物(如坚果、骨头),防止托槽脱落或弓丝变形。
术后护理:长期维护保效果
拆除矫治器后,保持器是“稳定器”,白天佩戴透明保持器,夜间佩戴 Hawley 保持器(金属丝+基托),前6个月需全天佩戴(进食、刷牙取下),之后逐渐减少夜间佩戴时间,每半年进行一次口腔检查和牙周维护,确保牙齿长期稳定。

相关问答FAQs
Q1:正畸拔上4下5会导致脸型变丑吗?
A:不会,反而可能改善面型,拔除前磨牙主要解决牙齿拥挤和前突问题,通过内收前牙,减少上下唇的突度,使面部轮廓更协调,对于“龅牙”患者,拔牙后嘴唇不再紧绷或外翻,笑容更自然;对于双颌前突患者,面型从“凸面型”向“直面型”改善,视觉上更美观,需要注意的是,若拔牙后牙齿移动过度(如过度内收前牙),可能导致“瘪嘴”,但专业医生会通过精确控制移动距离和支抗设计,避免此类问题。
Q2:拔牙后老了牙齿更容易掉吗?
A:不会,反而可能更稳固,牙齿松动脱落的主要原因是牙周病(牙龈萎缩、牙槽骨吸收)和咬合创伤,而非拔牙本身,正畸拔牙通过调整牙齿位置,改善咬合关系,减少牙齿之间的异常干扰(如咬合创伤、食物嵌塞),反而有利于牙周健康,只要在正畸过程中保持良好口腔卫生(定期洁牙、正确刷牙),治疗后佩戴保持器防止复发,牙齿会长期稳定,不会因“拔牙史”导致早脱落。
