在口腔医疗领域,种植牙因功能、美观及使用寿命等优势,成为缺牙修复的首选方式,部分机构或医生为缩短诊疗时间、降低成本,或迎合患者“快速种牙”的需求,跳过关键影像检查环节,直接进行种植手术,即“不拍片就种牙”,这种看似高效的做法,实则隐藏着巨大风险,可能直接影响种植效果、患者安全及长期预后,本文将详细分析“不拍片就种牙”的潜在危害、拍片在种植牙中的核心作用,以及正规种植牙的必要流程,帮助患者建立正确认知,避免踏入诊疗误区。
“不拍片就种牙”的潜在风险:省略的是关键,埋下的是隐患
种植牙本质上是将人工种植体植入牙槽骨内,替代牙根支撑牙冠的外科手术,手术的成功与否,高度依赖对口腔内部情况的精准掌握,不拍片直接种植,相当于“盲操作”,可能引发以下严重问题:

骨量评估不足,导致种植失败
牙槽骨是种植体的“土壤”,其高度、宽度、密度及骨壁厚度直接决定种植体能否稳定植入,若不通过影像检查(如CBCT)评估骨量,可能出现骨量不足的情况:
- 骨量过少:种植体植入时缺乏足够支撑,易出现松动、脱落,或因过度挤压导致骨裂,需二次植骨,不仅增加痛苦,还延长治疗周期;
- 骨量不均:牙槽骨可能存在凹陷、缺损,未提前规划易导致种植体植入位置过浅或过深,影响受力分布,长期使用可能引发种植体周围炎、牙冠折裂等问题。
临床数据显示,因未评估骨量导致的种植失败案例占早期失败总数的30%以上,其中部分患者因骨量严重不足,最终不得不放弃种植,改用其他修复方式。
损伤重要解剖结构,危及患者安全
口腔内分布着密集的神经血管,如下牙槽神经、上颌窦、颏孔等,若不通过影像定位,种植体可能误伤这些结构:
- 损伤下牙槽神经:下颌骨内的下牙槽神经管是支配下唇、颏部感觉的重要神经,若种植体植入位置过深,可能压迫或损伤神经,导致下唇麻木,甚至永久性感觉障碍;
- 穿透上颌窦:上颌后牙区牙槽骨较薄,与上颌窦仅隔一层薄骨壁,若未提前判断骨壁厚度,种植体可能穿透上颌窦,引发鼻窦炎、出血、感染等并发症,需额外进行上颌窦提升术,增加手术风险;
- 损伤邻牙牙根:缺牙区邻牙的牙根位置、形态因人而异,不拍片种植时,种植体可能误伤邻牙牙根,导致邻牙坏死,甚至引发根尖周炎,造成“缺牙未补,邻牙又损”的后果。
无法精准设计种植方案,影响长期效果
种植牙并非“一种了之”,需结合患者咬合关系、面部美学、邻牙位置等多因素综合设计,不拍片的情况下,医生无法:

- 确定种植角度:为避免咬合创伤、保证种植体受力均匀,种植体需与咬合平面呈特定角度(如前牙区唇倾、后牙区垂直),不拍片可能导致种植体角度偏差,影响咀嚼功能;
- 规划修复空间:牙冠的厚度、邻牙的邻接关系需预留足够空间,未评估骨量和软组织厚度,可能导致牙冠过薄易折裂,或与邻牙接触不良,引发食物嵌塞;
- 判断软组织条件:牙龈厚度、附着关系影响种植体周围软组织的稳定性,不拍片可能忽略软组织缺损,导致术后牙龈萎缩、种植体暴露,影响美观。
拍片在种植牙中的核心作用:影像是医生的“第三只眼”
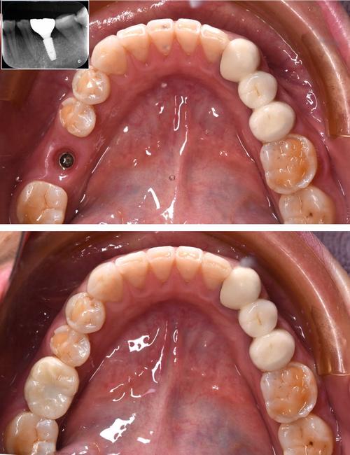
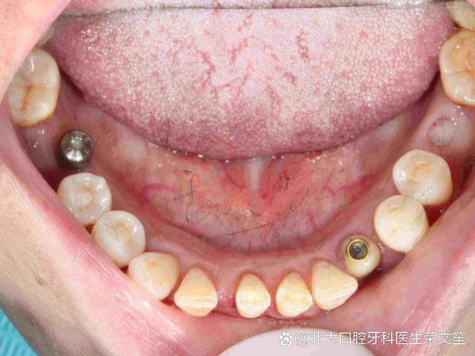
种植牙的成功,离不开精准的影像检查,现代口腔种植常用的影像技术包括根尖片、曲面断层片及锥形束CT(CBCT),其中CBCT因三维成像、高分辨率、辐射剂量可控等优势,已成为种植术前的“金标准”,拍片的核心作用体现在以下方面:
精确测量骨量,制定安全植入方案
CBCT可三维重建牙槽骨形态,清晰显示骨的高度、宽度、密度,以及骨内凹陷、缺损区域,医生通过软件分析,可精确计算种植体的直径、长度,选择合适的种植体型号,确保种植体植入后周围有至少1-2mm的骨壁包裹,提供初期稳定性,对于牙槽骨严重萎缩的患者,可通过CBCT判断是否需要植骨、骨增量手术的量及范围,避免盲目种植。
定位重要解剖结构,规避手术风险
CBCT能清晰显示下牙槽神经管、上颌窦底、颏孔、鼻腭管等解剖结构的位置及走行,下颌后牙区的种植体需距离下牙槽神经管至少2mm,上颌后牙区的种植体需距离上颌窦底至少1mm,CBCT可帮助医生精准标记安全植入范围,避免神经损伤和上颌窦穿孔,对于邻牙牙根倾斜、弯曲的情况,CBCT可明确牙根形态,确保种植体与牙根间保持足够距离(至少1.5mm)。
评估全身及口腔整体状况,排除种植禁忌症
拍片不仅是局部检查,还可结合患者全身情况(如是否有糖尿病、骨质疏松症等)及口腔整体健康(如是否有根尖炎症、囊肿、埋伏牙等)综合评估种植可行性,CBCT可发现牙槽骨内的囊肿或病变,需先治疗再种植;对于骨质疏松患者,可评估骨密度,调整种植体植入方案(如选择表面粗糙的种植体增强初期稳定性)。

正规种植牙的必要流程:拍片是不可跳过的“第一步”
规范的种植牙诊疗流程应严格遵循“检查-设计-手术-修复”的原则,拍片是术前检查的核心环节,具体流程如下:
| 步骤 | 拍片的作用 | |
|---|---|---|
| 术前咨询与检查 | 全身病史评估(糖尿病、心脏病等)、口腔检查(缺牙位置、牙龈状况、咬合关系)、影像学检查(CBCT、根尖片等) | 明确种植禁忌症,评估骨量、神经血管位置,判断是否需要植骨、治疗其他口腔疾病(如牙周炎) |
| 方案设计 | 结合影像数据,设计种植体数量、型号、植入角度,制定修复方案(牙冠类型、咬合调整) | 确保种植体位置符合力学分布和美学要求,规避解剖结构风险 |
| 手术植入 | 局部麻醉、切开牙龈、逐级备洞、植入种植体、缝合伤口 | 实际操作中实时参考影像数据,调整植入深度和角度,确保种植体位于理想位置 |
| 戴牙冠 | 种植体愈合3-6个月后,取模、制作牙冠、试戴、粘接 | 确保牙冠与种植体、邻牙的咬合关系协调,功能与美观兼顾 |
| 术后复查 | 定期检查种植体稳定性、牙龈状况、咬合情况,维护口腔卫生 | 通过影像复查(如CBCT)观察骨结合情况,及时发现种植体周围炎等问题 |
如何避免“不拍片就种牙”:选择正规机构,主动要求检查
为避免陷入“不拍片就种牙”的陷阱,患者需从以下几方面着手:
选择正规口腔机构及专业医生
优先选择具备口腔种植资质的医院或诊所,医生需持有《医师执业证书》及种植专业培训证书,正规机构会严格遵循诊疗规范,主动要求患者拍片检查,而非“跳过检查直接种牙”。
主动了解拍片必要性,拒绝“低价诱惑”
部分机构以“低价种牙”吸引患者,实则通过省略拍片、简化流程降低成本,患者需明确:拍片(尤其是CBCT)是种植牙的必要成本,通常费用在几百元至上千元,但相比因不拍片导致的并发症修复费用(如植骨、神经治疗等),这笔投入是“小投入,大保障”。
术前要求查看影像报告,参与方案设计
正规种植前,医生应向患者展示CBCT影像,解释牙槽骨情况、重要解剖结构位置及种植方案,患者可主动询问:“我的骨量够吗?种植体离神经有多远?是否需要植骨?”等,确保对治疗方案有充分了解。
相关问答(FAQs)
Q1:不拍片直接种牙真的能省钱吗?
A:表面看,不拍片省下了影像检查费用,但实际可能“因小失大”,若因骨量不足导致种植失败,需二次植骨(费用约3000-8000元/区),或因损伤神经需修复治疗(费用约5000-10000元),甚至可能永久性损伤,后续修复成本更高,种植失败导致的痛苦、时间成本及心理压力,远超几百元的拍片费用。“不拍片种牙”看似省钱,实则隐藏巨大经济和健康风险。
Q2:拍片有辐射,对身体有害吗?
A:种植牙常用的CBCT辐射剂量较低,相当于一次胸部CT的1/5-1/10,或乘坐飞机从北京到纽约的辐射剂量,且辐射范围仅局限于口腔局部,对身体影响极小,根据国际辐射防护委员会(ICRP)标准,单次CBCT检查的辐射风险远低于其带来的诊断价值,对于孕妇、儿童等特殊人群,医生会权衡利弊,必要时采用低剂量扫描或替代检查方式,无需过度担心辐射问题。
