拔牙后即刻种植是指在拔除患牙后,立即在同一拔牙窝内植入种植体的技术,与传统延期种植(需等待3-6个月骨愈合后)相比,具有缩短治疗周期、减少手术次数、保存牙槽骨等优势,但需严格把控适应症与操作规范。
拔牙后即刻种植的适应症与禁忌症
并非所有拔牙患者都适合即刻种植,需结合全身状况、口腔局部条件综合评估,具体如下:

| 类别 | 具体条件 |
|---|---|
| 适应症 | 牙槽骨骨量充足:拔牙窝高度≥10mm、宽度≥6mm,无严重骨缺损; 无急性感染:拔牙前无根尖周急性炎症、牙周脓肿,术中彻底清创; 全身健康状况良好:无未控制的糖尿病(空腹血糖≤8mmol/L)、严重心血管疾病、骨质疏松症(未服用双膦酸盐类药物等); 口腔卫生良好:无未治疗的龋病、牙周炎,患者能配合术后维护。 |
| 禁忌症 | 严重骨缺损:拔牙窝骨壁破坏>50%,或需植骨才能获得初期稳定性; 急性感染期:拔牙前存在根尖周脓肿、牙周急性炎症; 全身禁忌症:未控制的系统性疾病、放疗史、长期服用抗凝药物且无法调整; 吸烟者:每日吸烟>10支,可能影响骨愈合,需谨慎评估。 |
拔牙后即刻种植的优势
- 缩短治疗周期:传统种植需经历拔牙-愈合-种植-愈合-戴冠等步骤,总时长约6-12个月;即刻种植将拔牙与种植合并,治疗周期可缩短至3-4个月,尤其适合对美观、效率要求高的患者。
- 保存牙槽骨:拔牙后牙槽骨会快速吸收(前牙区3个月吸收可达30%),即刻种植可利用种植体支撑拔牙窝周围的骨壁,延缓骨吸收,维持骨量与软组织形态。
- 减少手术创伤:避免二次手术切开牙龈、剥离骨膜,降低术后肿胀、疼痛风险,且能保留牙龈乳头,修复后美学效果更自然。
- 降低费用:减少一次手术及麻醉费用,虽种植体成本可能略高,但整体治疗费用仍低于传统种植。
拔牙后即刻种植的操作流程与注意事项
操作流程
- 术前评估:通过CBCT检查牙槽骨高度、宽度、密度,评估神经管位置;血常规、凝血功能等全身检查排除禁忌症。
- 微创拔牙:使用微创器械(如挺子、超声骨刀)拔除患牙,尽量保留牙槽骨壁完整性,避免暴力搔刮。
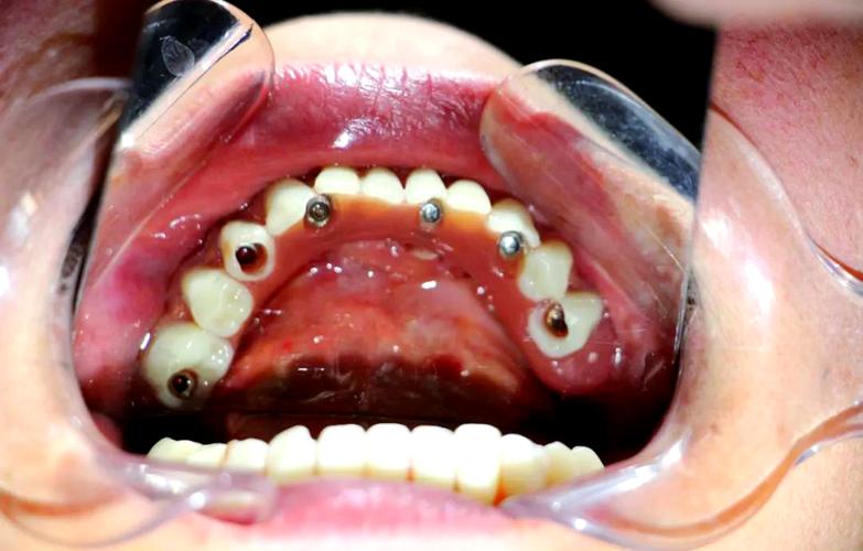
- 种植体植入:彻底清创拔牙窝,测量窝洞深度与宽度,选择合适直径(≥3.5mm)、长度(≥10mm)的种植体,植入扭矩达到35-50N·cm(确保初期稳定性)。
- 缝合与处理:若牙龈张力过大,可做松弛切口;若存在轻微骨缺损,可植入骨粉(如Bio-Oss)引导骨再生。
- 术后医嘱:24小时内不刷牙、不漱口,避免血块脱落;饮食温凉、软食(如粥、酸奶),避免用患侧咀嚼;遵医嘱服用抗生素(如阿莫西林)3-5天、止痛药(如布洛芬)2-3天。
注意事项
- 口腔卫生维护:术后1周使用漱口水(如氯己定),1周后软毛牙刷轻轻刷牙,避免种植体区域机械刺激。
- 定期复查:术后1周拆线,1个月、3个月、6个月复查CBCT,观察骨结合情况(一般3-6个月完成骨结合)。
- 避免不良习惯:戒烟(尼古丁影响骨愈合),避免咀嚼硬物(如坚果、骨头),防止种植体松动。
潜在风险与应对
即刻种植虽优势显著,但仍存在一定风险:
- 初期稳定性不足:若骨量不足或植入扭矩不够,可能导致种植体松动,应对:严格把握适应症,必要时选择延期种植或植骨。
- 感染:术中污染或术后口腔卫生差可能引发种植体周围炎,应对:严格无菌操作,术后强化口腔卫生指导,必要时局部上药。
- 骨吸收:术后骨改建可能导致种植体周围骨吸收,应对:选择表面处理良好的种植体(如SLA表面),定期复查,必要时行骨增量手术。
拔牙后即刻种植是高效、微创的牙列缺损修复方式,但需严格筛选适应症,由经验丰富的医生规范操作,患者在选择前应充分沟通,了解自身条件与预期效果,配合术后维护,才能获得长期稳定的修复效果。
相关问答FAQs
Q1:拔牙后马上种是不是所有人都适合?
A:不是,即刻种植需满足牙槽骨骨量充足(高度≥10mm、宽度≥6mm)、无急性感染、全身健康等条件,严重骨缺损、急性感染期、未控制的糖尿病或长期吸烟者(每日>10支)通常不适合,需医生通过CBCT和全身检查评估后决定。
Q2:即刻种植和延期种植有什么区别?
A:核心区别在于时间与骨条件要求:即刻种植在拔牙后立即进行,治疗周期短(3-4个月),但需拔牙窝骨量充足;延期种植需等待拔牙窝骨愈合3-6个月,适合骨量不足或存在感染的患者,手术次数多、周期长(6-12个月),即刻种植能更好地保存牙槽骨,美学效果更优,但对医生技术要求更高。

