唯亭医院口腔科作为区域内口腔种植的重要服务窗口,依托医院综合医疗平台的优势,在牙齿种植领域形成了以“精准、微创、高效”为特色的技术体系,为缺牙患者提供从术前评估到术后维护的全流程诊疗服务,医院口腔科现有种植医生团队8人,平均临床经验10年以上,累计完成种植病例超5000例,尤其擅长即刻种植、全口/半口负重种植等复杂技术,配备德国Sirona CBCT、3D打印导板导航系统、超声骨刀等先进设备,实现了种植手术的精准化与个性化设计。
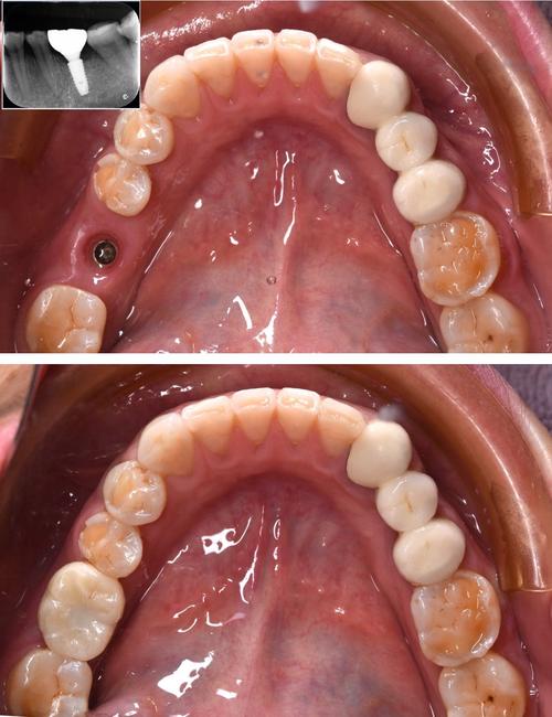
在种植技术方面,唯亭医院采用数字化种植流程:术前通过CBCT获取口腔三维数据,结合口内扫描仪建立数字化模型,由医生团队在电脑上模拟种植位点、角度及深度,3D打印个性化手术导板,术中精准引导种植体植入,误差控制在0.1mm以内,有效避开神经血管,降低手术风险,对于牙槽骨条件较差的患者,可采用骨增量技术(如引导骨再生GBR、上颌窦提升术),结合PRP(富血小板血浆)促进骨愈合,确保种植体初期稳定性,种植体选用国际一线品牌,如瑞士Straumann、瑞典Nobel Biocare、韩国Osstem等,均通过国家药监局认证,生物相容性与长期稳定性得到临床验证。

种牙流程严格遵循医疗规范,通常分为五个阶段:第一阶段为术前检查,包括口腔检查、CBCT影像学检查、血常规及凝血功能检测,评估全身健康状况及骨条件;第二阶段为方案设计,医生与患者充分沟通,根据缺牙位置、骨量、经济预算制定个性化方案;第三阶段为手术植入,在局部麻醉下,通过导板引导将种植体植入牙槽骨,手术时间单颗约30-60分钟,创伤小、出血少;第四阶段为骨愈合期,一般需3-6个月,期间种植体与牙槽骨形成骨结合;第五阶段为修复戴牙,愈合后取模制作牙冠,试戴调整后完成最终修复,恢复咀嚼功能与美观。
关于费用,唯亭医院实行透明化收费,主要包含种植体、基台、牙冠及医疗服务费四部分,具体如下(单位:元/颗):
| 项目 | 国产种植体 | 进口种植体(欧美) | 进口种植体(韩国) |
|---|---|---|---|
| 种植体 | 800-2000 | 5000-8000 | 3000-5000 |
| 基台 | 500-1000 | 1200-2000 | 800-1500 |
| 全瓷牙冠 | 1500-3000 | 3000-5000 | 2000-3500 |
| 医疗服务费 | 1000-2000(含检查、手术、复查) |
总费用单颗种植牙约3000-10000元,全口/半口种植根据种植体数量及技术类型(如All-on-4即刻负重)费用为8万-20万不等,医院支持医保个人账户支付及分期付款,减轻患者经济压力。
术后护理是种植成功的关键,患者需注意:术后24小时内避免刷牙漱口,进食温凉流食;术后1周内避免术区咀嚼,不吸烟饮酒;使用软毛牙刷配合牙线、冲牙器清洁口腔,定期复查(术后1个月、3个月、6个月),每年进行一次专业洁牙和维护,通过规范的术后护理,种植体10年成功率可达95%以上。

相关问答FAQs
Q1:种牙过程会疼痛吗?
A1:种植手术在局部麻醉下进行,术中基本无疼痛感,术后麻药消退后,部分患者可能出现轻微胀痛或不适,通常服用止痛药(如布洛芬)1-2天即可缓解,疼痛程度类似于拔牙后反应,多数患者可耐受。
Q2:种植牙能用多久?会影响正常饮食吗?
A2:种植牙的使用寿命与患者口腔卫生维护、种植体材料及医生技术相关,若日常护理得当,定期复查,种植体可长期使用,甚至伴随终身,术后经过3-6个月骨愈合期,即可恢复80%-100%的咀嚼功能,可正常进食肉类、坚果等硬质食物,效果接近天然牙。

