隐形牙套作为现代正畸技术的一种,因其美观、舒适、可摘戴等特性,逐渐成为越来越多人的选择,但“不正畸只戴隐形牙套”这一说法可能存在一定误解——隐形牙套本身就是正畸治疗(牙齿矫正)的工具之一,所谓“只戴隐形牙套”通常指选择隐形矫正方式而非传统钢牙矫正,或针对特定牙齿问题通过隐形牙套实现简化治疗,要理解这一点,需从隐形牙套的原理、适用范围、优势及局限性等维度展开分析。
隐形牙套的本质与工作原理
隐形牙套并非“矫正工具之外的新选择”,而是正畸技术中“隐形矫治”的具体载体,与传统钢牙套通过托槽和弓丝施加持续力不同,隐形牙套采用医用高分子材料(如PETG或TPU)制成透明牙套,通过3D打印技术为患者定制一系列“量牙定制”的牙套,每副牙套的形态与前一副存在细微差异,佩戴后可对牙齿施加温和、精准的力,引导牙齿在牙槽骨中缓慢移动,逐步达到排列整齐、咬合正常的目标。

其核心原理在于“分步移动”与“生物力学控制”:通过计算机模拟牙齿移动路径(方案设计阶段需正畸医生评估牙齿情况、咬合关系、面部美学等),将整个矫正过程拆解为多个阶段(通常每副牙套佩戴1-2周,更换下一副进入下一阶段),每阶段移动量控制在0.25mm左右,确保牙齿在生理范围内安全移动,同时减少不适感。
“只戴隐形牙套”的适用场景:并非所有问题都能“简化处理”
隐形牙套的适用范围与传统正畸有重叠,但也有侧重,并非所有牙齿问题都能仅通过“戴牙套”解决,需结合具体病情判断:
适合“隐形牙套单独解决”的轻度问题
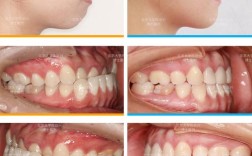
- 牙齿轻度拥挤:门牙、前磨牙等少量牙齿拥挤(拥挤度<4mm),通过隐形牙套的“扩弓”或“邻面去釉”(适当磨除少量牙釉质,为牙齿移动空间)即可改善排列。
- 牙缝过大:先天牙缝宽或牙周治疗后牙缝暴露,通过隐形牙套的“关闭牙缝”功能,将牙齿向中间聚拢。
- 个别牙齿扭转/错位:1-2颗牙齿(如尖牙、前磨牙)轻度扭转、唇倾或舌倾,可通过精准施力调整位置。
- 简单深覆合/深覆盖:上下牙垂直向或水平向覆盖轻微(深覆合<1/3牙冠高度,深覆盖<4mm),通过压低上前牙或推下前牙改善咬合关系。
需“隐形牙套联合其他治疗”的复杂问题
部分中重度问题需先通过隐形牙排齐,再结合辅助治疗:
- 中度拥挤(拥挤度4-8mm):需先通过隐形牙套排齐,再配合“微种植钉”增强支抗,避免后牙前移。
- 骨性轻度不调(如下颌轻度后缩):隐形牙排齐后,需配合“前方牵引”等矫形装置,或后期修复调整。
- 牙周病伴牙齿移位:需先治疗牙周病(控制炎症、牙槽骨修复),再通过隐形牙套矫正移位牙齿,避免加重牙周损伤。
隐形牙套“无法单独解决”的严重问题
以下情况仅靠“戴隐形牙套”无效,需传统正畸或正颌手术:

- 严重骨性畸形:如上颌前突(龅牙)、下颌后缩(地包天)伴随颌骨发育异常,需手术调整颌骨位置。
- 牙齿严重扭转/重叠:如完全180°扭转的牙齿,隐形牙套施力不足,需传统托槽精准控制扭转角度。
- 开合/反合:上下牙无法咬合(开合)或“天包地”(反合)伴有多颗牙齿错位,需复杂弓丝技术配合。
- 乳牙期/替牙期严重错颌:如功能性下颌前伸,需早期矫治装置(如肌功能矫治器)引导颌骨发育,而非直接戴隐形牙套。
隐形牙套的优势:“舒适美观”背后的正畸逻辑
与传统钢牙套相比,隐形牙套在特定场景下优势显著,这也是“只选隐形牙套”的核心吸引力:
| 对比维度 | 隐形牙套 | 传统钢牙套 |
|---|---|---|
| 美观度 | 透明材质,佩戴后不易察觉(“隐形”来源) | 金属托槽明显,影响社交美观 |
| 舒适度 | 无托槽/弓丝,边缘光滑,减少口腔黏膜摩擦 | 托槽可能刮嘴,初期疼痛感更明显 |
| 口腔清洁 | 可摘戴,正常刷牙、使用牙线,不易存留食物 | 需特殊正畸牙刷,清洁难度大,易蛀牙 |
| 饮食限制 | 无需忌口(摘下牙套即可正常进食) | 避免硬、黏食物(如坚果、口香糖) |
| 复诊频率 | 每4-8周复诊1次(部分远程可调整) | 每4-6周复诊1次(需调整弓丝力度) |
| 治疗周期 | 轻度问题约6-12个月,与传统正畸相近 | 中重度问题可能更长(复杂病例需1-3年) |
隐形牙套的“可视化方案”也是优势之一:通过3D模拟可提前看到矫正后的牙齿效果,患者可与医生共同调整方案,增强治疗参与感。
隐形牙套的局限性:“只戴”不等于“随便戴”
尽管优势明显,但隐形牙套并非“万能神器”,其效果高度依赖患者配合与医生专业度:
- 依从性要求高:需每天佩戴20-22小时(仅吃饭、刷牙时摘下),若佩戴时间不足,牙齿移动不到位可能导致矫正失败或延长周期。
- 复杂病例控制力不足:对牙齿三维移动(如垂直压低、旋转控制)的精度弱于传统托槽,需医生经验判断是否需辅助装置(如附件、种植钉)。
- 价格较高:国产隐形牙套(如时代天使、正雅)约2-5万元,进口(隐适美)约5-8万元,传统钢牙套约1.3-3万元,经济成本更高。
- 适应证限制:青少年替牙期(牙齿未完全萌出)、牙周炎未控制患者、牙齿过大/过小(牙套固位不佳)等均不适合。
“只戴隐形牙套”的关键:专业评估与规范流程
即便适合隐形矫正,也需严格遵循正畸治疗逻辑,而非“单纯戴牙套”:

- 术前检查:需拍X光片(全景片、头颅侧位片)、取模(或口扫),评估牙根、牙槽骨、颌骨关系,排除骨性问题。
- 方案设计:医生需结合美学目标(如微笑线、面部比例)和功能目标(咬合稳定),确定是否需“邻面去釉”“拔牙矫正”等步骤。
- 佩戴监控:定期复诊检查牙齿移动是否与方案一致,必要时调整牙套或添加附件(牙面上的小凸点,增强牙套固位力)。
- 保持器佩戴:矫正结束后需戴保持器(隐形保持器或传统保持器),防止牙齿复发(牙齿有记忆性,易移回原位)。
相关问答FAQs
Q1:隐形牙套能解决所有牙齿问题吗?为什么有些医生不建议只戴隐形牙套?
A:隐形牙套无法解决所有牙齿问题,其适用范围主要局限于牙性错颌(牙齿排列问题),对骨性畸形(颌骨发育异常)、严重扭转、复杂咬合问题控制力有限,部分医生不建议“只戴隐形牙套”,是因为:① 患者病情超出隐形牙套适应证(如需拔牙矫正的复杂病例,隐形方案可能效果不佳);② 患者依从性差(无法保证佩戴时间);③ 医生经验不足(隐形方案设计需精细生物力学知识,盲目佩戴可能导致牙齿损伤、咬合紊乱),是否适合隐形矫正需专业正畸医生评估,而非自行决定。
Q2:戴隐形牙套过程中,如果牙齿疼痛或牙套戴不上怎么办?
A:牙齿疼痛是正常现象:初期佩戴或更换新牙套时,牙齿受力会轻微酸胀(类似运动后肌肉酸痛),通常3-5天缓解,可通过温盐水漱口、吃软食缓解,若疼痛持续超过1周或加剧,需复诊检查牙套是否贴合、牙齿移动是否异常,牙套戴不上可能因:① 佩戴时间不足(牙齿未移动到下一阶段位置);② 牙套变形(温度过高或清洁不当导致);③ 牙齿移动偏差(方案需调整),此时不可强行戴入,应联系医生复诊,通过重制牙套或调整方案解决,避免损伤牙齿。
