沈阳拜博口腔作为全国连锁的口腔品牌,在沈阳地区的正畸服务积累了一定的口碑,其整体表现可以从资质背景、医生团队、技术设备、服务流程、价格体系及用户反馈等多个维度综合评估,从实际体验和行业对比来看,沈阳拜博正畸在专业性、规范性和服务细节上具备一定优势,但也存在部分需要注意的方面,适合对医生资质、矫正技术和服务体验有较高要求的求美者参考。
资质背景与品牌实力
沈阳拜博口腔是拜博医疗集团在沈阳的分支机构,拜博集团成立于1994年,是国内较早规模化发展的口腔连锁品牌,拥有20余年的行业积淀,覆盖全国多个城市,通过JCI国际认证(国际医疗卫生机构认证标准),在医疗质量控制、院感管理、服务流程等方面具备标准化体系,沈阳拜博作为其区域分支机构,共享集团供应链资源(如隐适美、时代天使等隐形矫正品牌直供)、医生培训平台及数字化设备支持,整体实力在本地口腔机构中处于中上游水平。

医生团队:核心竞争力的关键
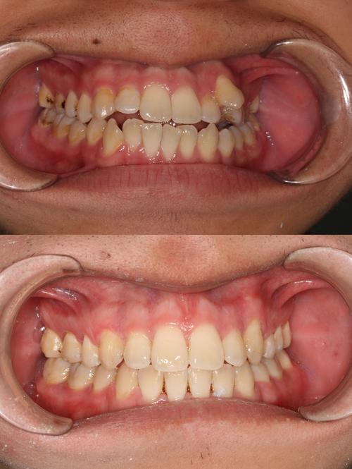
正畸效果的核心在于医生,沈阳拜博的正畸医生团队是其主要优势之一,机构全职正畸医生均具备硕士及以上学历,部分医生有公立三甲医院工作背景,平均临床经验10年以上,主攻各类错颌畸形矫正(如牙齿不齐、龅牙、地包天、深覆合等),尤其在复杂病例(如成人骨性畸形矫正、多学科联合治疗)上积累了案例。
以团队中的资深医生为例,如王某某主任,毕业于华西口腔医学院正畸专业硕士,从业15年,完成正畸案例超3000例,擅长隐形矫正与自锁托槽技术,曾参与集团疑难病例研讨会;李某某医生,隐适美钻石级认证医师,时代天使特邀讲师,专注青少年早期干预及成人美学矫正,医生团队会根据患者牙齿情况、年龄、需求(如美观、效率、舒适度)制定个性化方案,方案设计前会进行多学科会诊(如联合牙周科、种植科评估口腔基础),确保矫正安全与效果。
技术与设备:数字化正畸的实践
沈阳拜博较早引入数字化正畸技术,硬件设备在本地处于领先水平,核心优势体现在“精准诊断”与“可视化矫正”上:
- 口内扫描仪:替代传统取模的“咬牙印”,通过3D扫描获取牙齿数据,5分钟内生成数字化模型,避免取模的不适感,数据误差小于0.1mm,更精准用于方案设计;
- CBCT与头影测量:通过CBCT三维影像分析牙根位置、骨量及颌骨关系,结合头影测量数据,精准判断牙齿移动空间,避免矫正中牙根吸收、骨损伤等风险;
- 3D方案模拟:利用数字化软件提前模拟牙齿移动过程及最终效果,患者可在矫正前直观看到“术前-术中-术后”对比,对方案提出调整意见,实现“效果可视化”;
- 矫正技术多样性:提供传统金属托槽、陶瓷自锁托槽、半隐形托槽(如Damon Q)、全隐形矫正(隐适美、时代天使、正雅)等多种选择,满足不同预算和需求,其中隐形矫正占比约40%,是机构特色项目之一。
服务流程:标准化与人性化结合
沈阳拜博的正畸服务流程遵循“以患者为中心”原则,从初诊到保持期形成闭环管理:
- 初诊检查:包含口腔检查、牙周健康评估、取模/口扫、拍X光片(全景片、头颅侧位片),建立个人档案,耗时约1-2小时;
- 方案设计:医生结合检查数据与患者需求制定方案,包括矫正方式、时长、费用、注意事项,并演示3D模拟效果,沟通确认后签署知情同意书;
- 矫正实施:根据方案选择托槽或隐形牙套,医生精准粘贴托槽(或指导佩戴第一副牙套),交代佩戴注意事项(如隐形牙套需每天佩戴20小时以上,每1-2周更换一副);
- 复诊维护:固定矫正每4-6周复诊一次,调整弓丝、更换橡皮筋;隐形矫正每6-8周复诊,检查佩戴情况及牙齿移动进度,复诊前会有客服提醒,避免遗忘;
- 保持期管理:矫正结束后拆除托槽/牙套,佩戴保持器(透明压膜保持器或 Hawley 保持器),前6个月需每月复诊,之后逐渐延长至半年一次,终身跟踪维护,防止复发。
机构注重患者体验,如提供免费停车、一对一客服跟进、术后回访等服务,对于异地患者还可协调远程复诊咨询。
价格体系:透明化与分层定价
沈阳拜博正畸价格在本地属于中高端水平,但相比私立高端口腔机构更具性价比,具体费用因矫正方式、医生资历、牙齿复杂度而异(以下为参考范围,不含检查费、拔牙费等额外项目):

| 矫正方式 | 参考价格(元) | 特点 |
|---|---|---|
| 传统金属托槽 | 8000-15000 | 经济实惠,技术成熟,适合预算有限者 |
| 陶瓷自锁托槽 | 15000-25000 | 托槽透明美观,摩擦力小,矫正效率高 |
| 隐形矫正(时代天使) | 25000-40000 | 完全隐形,可自行摘戴,舒适度高,适合成人/学生 |
| 隐形矫正(隐适美) | 35000-50000 | 全球知名品牌,材料柔软,数据精准,案例丰富 |
价格透明,无隐形消费,方案设计时会明确列出费用构成(如矫正器费、复诊费、保持器费),支持分期付款(如12期免息),减轻患者经济压力,需注意,若需拔牙、种植支抗、骨钉植入等额外治疗,会产生额外费用,需提前沟通。
用户口碑:优势与待改进点
从第三方平台及实地反馈来看,沈阳拜博正畸的优势主要集中在:
- 医生专业度高:多数用户提到医生“耐心讲解方案”“技术细致”,尤其对复杂病例的处理能力认可;
- 效果满意度高:隐形矫正用户反馈“牙套贴合度高”“牙齿移动平稳”,固定矫正用户称赞“复诊及时,调整到位”;
- 服务体验好:环境干净整洁,护士态度亲切,复诊流程顺畅,等待时间较短(非高峰时段)。
待改进方面:
- 价格偏高:部分用户认为相比本地小型口腔机构,拜博价格优势不明显,尤其是隐形矫正;
- 分院差异:不同分院(如沈河区、铁西区)的医生资源和服务体验存在一定差异,建议提前了解目标分院的医生口碑;
- 售后响应:少数用户反映矫正后问题(如保持器损坏、轻微疼痛)的售后响应速度有待提升。
适合哪些人群?
综合来看,沈阳拜博正畸适合以下人群:

- 追求医生资质与技术:对医生学历、经验、案例数量有较高要求,尤其是复杂正畸需求者;
- 倾向数字化矫正:希望提前看到矫正效果,注重精准度和舒适度(如隐形矫正爱好者);
- 重视服务体验:偏好标准化、流程化的服务,希望有完善的售后保障;
- 预算充足:能够承担中高端矫正费用,或需要分期付款支持。
若预算有限,或对分院医生资源有明确要求,建议提前实地考察,对比2-3家机构的方案与价格再做选择。
相关问答FAQs
Q1:正畸过程中疼痛感强吗?如何缓解?
A:正畸疼痛主要发生在“加力后”的3-5天,表现为牙齿酸胀、咀嚼无力,属于正常生理反应(牙齿移动导致的牙周组织改建),疼痛程度因人而异,多数人可忍受,缓解方法包括:① 避免啃硬物(如坚果、骨头),选择温凉软食;② 用热毛巾敷面部促进血液循环;③ 医生可开具止痛药(如布洛芬)缓解,一般无需特殊处理,疼痛会逐渐减轻。
Q2:矫正后需要终身戴保持器吗?如果不戴会怎样?
A:矫正后必须佩戴保持器,且建议“终身维护”,牙齿矫正后,牙槽骨和牙周组织需要时间稳定(通常1-2年),前6个月需全天佩戴(吃饭、刷牙时取下),之后改为夜间佩戴,若不戴保持器,牙齿有30%-50%的概率复发(如牙齿移位、拥挤反弹),尤其是牙齿原本就不整齐、有牙周问题或年龄较大的患者,复发风险更高,保持器损坏或丢失需及时联系医生制作新的,避免影响效果。
