大牙作为口腔中承担主要咀嚼功能的关键牙齿,其位置异常不仅会影响食物研磨效率,还可能引发咬合紊乱、颞下颌关节问题,甚至影响面部美观,针对大牙拥挤、龅牙、反颌、扭转等错颌畸形,现代口腔医学提供了多种矫正方法,患者可根据自身情况选择合适方案。
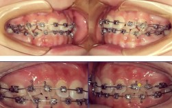
传统金属托槽矫正是应用最广泛的基础方法,通过将金属托槽粘贴在大牙表面,再用弓丝连接托槽,施加持续轻力移动牙齿,这种方法技术成熟,性价比高,适用于各种复杂的大牙错颌畸形,如严重拥挤、深覆颌等,缺点是美观度较差,托槽和弓丝易刮伤口腔黏膜,且口腔清洁难度较大,需特别注意避免食物残渣残留,以防龋齿和牙周问题。

陶瓷托槽矫正则在金属托槽基础上进行了美观升级,托槽材料采用透明或牙色陶瓷,与牙齿颜色接近,美观度显著提升,其矫正原理与金属托槽相同,但陶瓷材质脆性较大,受力时易破裂,因此更适合对美观要求高的大牙轻度错颌患者,矫正期间需避免啃咬硬物,如坚果、骨头等,以防托槽损坏。
自锁托槽矫正属于传统托槽的升级技术,托槽自带闭锁结构,无需结扎丝固定弓丝,减少了弓丝与托槽的摩擦力,牙齿移动更顺畅,可缩短矫正周期约3-6个月,复诊间隔可延长至6-8周,适合学业或工作繁忙的患者,但自锁托槽价格较高,且对医生技术要求更高,需精确控制矫正力度,避免牙齿移动过快导致牙根吸收。
隐形矫正采用透明高分子材料制作的一系列牙套,通过每副牙套的微小移动逐步调整大牙位置,患者可自行摘戴,不影响进食和口腔清洁,美观度和舒适度极佳,隐形矫正对大牙严重扭转、埋伏阻生等情况效果有限,且需患者严格佩戴每天20小时以上,否则可能影响矫正效果,其价格相对较高,通常在3万-8万元不等,具体取决于矫正难度和牙套数量。
舌侧矫正将托槽粘贴在牙齿舌侧面,完全隐藏于口腔内,是目前美观度最高的矫正方式,其原理与其他托槽矫正类似,但操作难度极大,需医生有丰富的数字化设计和临床经验,且价格昂贵(通常是传统矫正的3-5倍),矫正期间患者可能需要更长时间适应发音和咀嚼,适合对美观要求极高的成人患者。

针对大牙后移或前移的特殊需求,还可配合种植体支抗技术,即在牙槽骨中植入微型种植钉(直径约1.5-2mm),作为移动大牙的“支点”,有效控制牙齿移动方向,避免其他牙齿受到不必要的干扰,这种方法常用于推磨牙向后或内收前牙,为拥挤的大牙创造空间,尤其适用于骨量不足的患者。
为了更直观对比不同矫正方法的特点,可参考下表:
| 矫正方法 | 美观度 | 舒适度 | 价格(万元) | 矫正周期(月) | 适用情况 |
|---|---|---|---|---|---|
| 传统金属托槽 | 低 | 一般 | 5-3 | 18-36 | 各种复杂错颌 |
| 陶瓷托槽 | 中 | 一般 | 2-4 | 18-36 | 轻度错颌,美观需求高 |
| 自锁托槽 | 中 | 较高 | 3-5 | 15-30 | 复杂错颌,希望缩短周期 |
| 隐形矫正 | 高 | 高 | 3-8 | 12-24 | 轻中度错颌,注重美观舒适 |
| 舌侧矫正 | 极高 | 一般 | 8-15 | 18-36 | 成人,对美观要求极高 |
矫正大牙前,需进行全面口腔检查,包括X光片、口腔模型及数字化口扫,由医生制定个性化方案,矫正期间需保持口腔卫生,使用正畸专用牙刷、牙缝刷,避免食用过硬、黏性食物,并定期复诊调整,矫正结束后,需佩戴保持器至少2年,防止牙齿复发移位。
相关问答FAQs:
Q1:大牙矫正过程中会疼痛吗?
A1:矫正初期及每次加力后3-5天,牙齿可能出现轻微酸胀感,属于正常现象,通常可自行缓解,若疼痛持续加重,需及时复诊检查是否有托槽脱落或弓丝刺激黏膜。

Q2:成年人大牙矫正和青少年有什么区别?
A2:成年人大牙矫正主要区别在于:①颌骨发育已完成,牙齿移动速度较青少年慢,矫正周期可能延长;②可能存在牙周问题,需先治疗牙周炎再矫正;③对美观要求更高,更倾向选择隐形或舌侧矫正;④牙槽骨改建能力较弱,需更轻柔的矫正力度。
