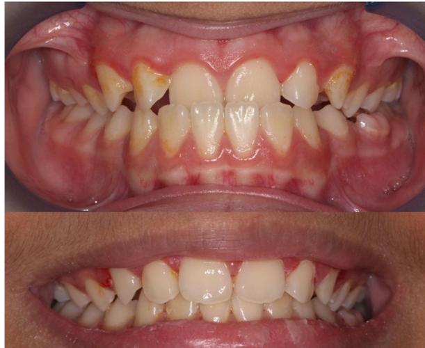
正畸期间牙齿松动是常见的现象,因为牙齿移动的本质是牙槽骨的改建过程——牙槽骨一侧吸收,另一侧增生,牙齿需要在轻微松动中调整位置,但这种松动通常在可控范围内,若出现“严重”松动(如牙齿明显晃动、疼痛、影响咀嚼),则需警惕病理性因素,及时干预,以下从原因、判断、处理及注意事项展开详细说明。
正畸期间牙齿松动的核心原因
牙齿松动程度与正畸过程中的“生物力反应”直接相关,但“严重”松动往往提示异常因素,具体可分为生理性和病理性两类:

生理性松动(正常现象,无需过度担心)
正畸治疗中,医生通过矫治器(如托槽、弓丝)对牙齿施加持续、轻柔的力(通常50-200g),此时牙槽骨内的成骨细胞和破骨细胞被激活,压力侧牙槽骨吸收,张力侧新骨形成,牙齿为适应移动方向会出现轻微动度(1mm),这种松动是暂时的,随着牙齿移动到位、牙槽骨改建完成,松动会逐渐消失,属于治疗中的“必经阶段”。
病理性松动(需及时干预的危险信号)
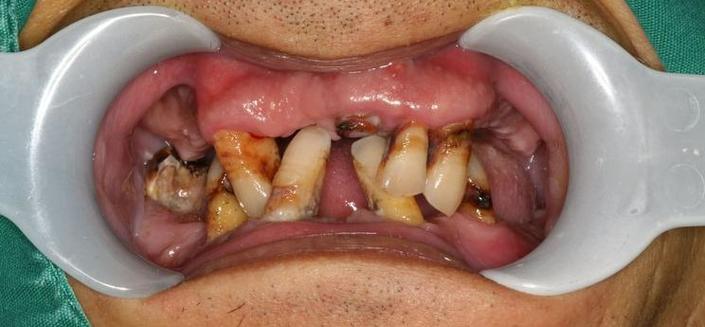
若松动超过生理范围,或伴随疼痛、牙龈出血、牙根吸收等症状,则可能与以下因素相关:
-
牙周支持组织破坏
牙齿的稳定性依赖牙周膜、牙槽骨和牙龈的健康,若患者正畸前存在未控制的牙周炎(如牙龈红肿、牙周袋深度>3mm、牙槽骨吸收),正畸力会进一步加剧牙周组织损伤,导致牙齿“过度松动”,正畸期间口腔卫生不良(如托槽周围食物残留、菌斑堆积)可能诱发牙龈炎、牙周炎,破坏牙周支持结构,引发松动。 -
咬合干扰与异常受力
若矫治器调整不当(如弓丝末端过长、咬合高点未及时打磨),或患者存在夜磨牙、紧咬牙等不良习惯,牙齿可能承受非正常方向的“创伤性力”,导致牙周组织超负荷,出现严重松动甚至咬合痛。
(图片来源网络,侵删) -
正畸力量过大或移动速度过快
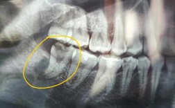
部分患者为追求“快速矫正”,要求医生加大矫治力,或医生未严格遵循“缓慢移动”原则(如每月移动距离超过1mm),可能超出牙槽骨改建的承受能力,导致牙齿“被动松动”,甚至引发牙根吸收(X光片可见牙根变短)。 -
个体差异与全身因素
年龄因素中,青少年(12-18岁)牙槽骨改建活跃,松动相对轻微;成年人骨密度较高,改建速度慢,若移动过快更易出现严重松动,糖尿病(影响牙周愈合)、骨质疏松(降低牙槽骨强度)、激素水平变化(如孕期雌激素升高)也可能加剧松动风险。
如何判断牙齿松动是否“严重”?
可通过“临床检查+症状观察”综合评估,具体分级及意义如下(建议用表格呈现更清晰):
| 松动分级 | 临床表现 | 伴随症状 | 意义 |
|---|---|---|---|
| 生理性松动(I度) | 唇舌向松动<1mm,无近远中/垂直向动度 | 无疼痛,牙龈轻微红肿(托槽周围) | 正常现象,牙槽骨改建中 |
| 轻度异常(II度) | 唇舌向松动1-2mm,近远向轻微松动 | 咀嚼时酸胀,牙龈易出血 | 提示口腔卫生或咬合问题,需调整 |
| 严重松动(III度) | 多方向松动>2mm,牙齿浮起感明显 | 持续疼痛,牙龈肿胀/溢脓,咬合无力 | 病理性可能,需立即干预 |
若出现以下“危险信号”,需尽快复诊:

- 牙齿移位异常(如原本内收的牙齿突然外翘、倾斜方向改变);
- X光片显示牙根吸收(牙根长度缩短>1/3);
- 牙龈退缩、牙根暴露(美观和功能受损)。
正畸期间牙齿松动的处理方法
根据松动原因和程度,采取针对性措施:
生理性松动:观察+基础护理
无需特殊处理,但需加强口腔卫生:
- 使用正畸专用牙刷(如“V”形刷毛牙刷)清洁托槽周围,每天至少3次,每次3分钟;
- 配合牙缝刷、冲牙器清除邻面菌斑,避免牙龈炎;
- 饮食避免过硬(如坚果、骨头)、过黏(如奶糖、年糕)食物,减少额外受力;
- 按时复诊(通常4-6周一次),医生通过调整矫治力(如更换更细的弓丝)引导牙齿缓慢移动。
病理性松动:对因治疗+紧急处理
-
牙周问题导致的松动
- 若为牙龈炎:医生会进行专业洁治(洗牙),清除托槽周围的菌斑和结石,并指导含漱氯己定漱口水(每日2次,连续1周);
- 若为牙周炎:需暂停正畸,先进行牙周系统治疗(如龈下刮治、根面平整),待炎症控制(牙周袋深度<3mm、牙龈无出血)后再恢复矫正,必要时牙周科医生与正畸医生会诊制定联合方案。
-
咬合异常导致的松动
- 医生会检查咬合关系,调磨早接触点(如过高牙尖),或制作颌垫(夜磨牙患者需夜间佩戴);
- 若为夜磨牙,需佩戴颌垫保护牙齿,必要时口服肌肉松弛剂(如乙哌立松)缓解咬肌紧张。
-
矫治力过大或移动过快
- 医生会调整矫治方案(如减小弓丝直径、延长复诊间隔),甚至暂停加力,给牙槽骨充分的改建时间(通常2-4周);
- 若已出现牙根吸收,需定期拍摄X光片监测,若吸收进展迅速,可能终止正畸或更换矫正方式(如隐形矫正的轻力系统)。
-
全身因素导致的松动
- 糖尿病患者需控制血糖(空腹血糖<7.0mmol/L),骨质疏松患者需补充钙剂和维生素D,必要时在医生指导下使用抗骨松药物;
- 激素水平异常者(如孕期女性),建议推迟正畸或选择对骨改建影响更小的矫正方式。
正畸期间牙齿松动的注意事项
- 切勿自行处理:不要用手晃动牙齿、拆卸托槽或弓丝,以免加重损伤;
- 加强口腔卫生:正畸患者菌斑堆积风险是普通人的3-5倍,建议使用含氟牙膏(防龋)和牙线(穿线器辅助清洁邻面);
- 避免不良习惯:戒除咬笔、咬唇、咬指甲等习惯,减少牙齿非正常受力;
- 定期复查:即使无不适也需按时复诊,医生通过临床检查和X光片可早期发现松动异常;
- 心理调节:正畸期间的轻微松动无需焦虑,过度紧张可能加重牙科恐惧症,影响治疗依从性。
相关问答FAQs
Q1:正畸期间牙齿松动到什么程度需要担心?
A:若牙齿松动为“II度及以上”(如唇舌向晃动明显、能感觉到近远向移动),或伴随持续疼痛、牙龈肿胀、咬合困难,需立即复诊,生理性松动(I度)通常无不适,仅轻微晃动,无需担心,但需加强口腔卫生观察变化。
Q2:正畸后牙齿松动会恢复吗?
A:生理性松动在牙齿移动到位、牙槽骨改建完成后(通常3-6个月)会逐渐稳定,恢复正常动度,病理性松动若及时干预(如牙周治疗、调整咬合),多数可恢复稳定;若因牙根吸收导致松动严重,可能影响长期稳定性,需终身佩戴保持器(夜间佩戴)并定期复查。
