正畸加力是口腔正畸治疗中的核心环节,通过矫治装置对牙齿施加持续、轻柔的生理性力量,引导牙齿在牙槽骨中按照预设方向移动,最终实现排列整齐、咬合协调的目标,加力的科学性与合理性直接影响治疗效果、治疗周期及患者舒适度,需根据个体差异、牙齿移动类型及矫治阶段综合设计。
正畸加力的基本原则
正畸加力需遵循“轻力、持续、个体化”原则,生理状态下,牙齿受力后牙槽骨会发生改建:受压侧骨吸收,受牵张侧骨沉积,这一过程需要持续的力量(通常50-200g)而非暴力,过大力量易导致牙根吸收、骨坏死或疼痛加剧,加力需结合患者年龄、骨质密度、牙齿移动类型(如整体移动、压低、伸长、旋转等)调整,例如青少年骨质改建活跃,加力可稍轻;成人需延长加力间隔,避免创伤。

常见正畸加力方法
传统固定矫治器加力
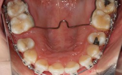
传统固定矫治器(如方丝弓矫治器、直丝弓矫治器)通过弓丝、结扎丝、托槽及附件传递力量,是临床最常用的加力方式,具体包括:
-
弓丝更换与调整:
- 镍钛圆丝/方丝:初始阶段使用超弹性镍钛丝(如0.012"-0.016"),利用其形状记忆效应排齐牙齿,无需频繁调整,更换间隔通常为4-6周。
- 不锈钢方丝:排齐后使用,通过弯制“关闭曲”(如T型曲、欧米茄曲)或“滑动曲”关闭拔牙间隙,通过打开/关闭曲的量控制牙齿移动距离(每打开1mm约产生100-150g力)。
- 转矩调整:用转矩钳方丝弯制转矩(如根舌向/根唇向转矩),纠正牙齿长轴倾斜,适用于前牙内收、后牙支抗控制等。
-
弹性牵引:
- 颌间牵引:使用橡皮圈连接上下颌牙(如Ⅱ类牵引纠正深覆颌、Ⅲ类牵引纠正反颌),力量通常100-150g,需患者每日佩戴20小时以上,每次复诊检查牵引效果及更换橡皮圈。
- 颌内牵引:用链状皮圈或螺旋弹簧牵引同颌牙齿(如磨牙向远中移动),通过弹簧压缩长度产生力量(螺旋弹簧每压缩1mm产生50-100g力)。
-
结扎方式调整:
(图片来源网络,侵删)通过更换结扎丝(如不锈钢丝结扎、弹性结扎圈)改变托槽与弓丝的紧密度,增强摩擦力或允许牙齿滑动,例如滑动法关闭间隙时需结扎丝宽松,而需要精细控制时需紧密结扎。
活动矫治器加力
活动矫治器(如 Hawley 保持器、功能性矫治器)通过机械部件产生力量,适用于早期矫治或简单病例调整:
- 螺旋扩大器:位于腭中缝的螺旋装置,每次旋转1/4圈(产生约200-300g力),扩大牙弓宽度,需每周复诊调整,避免过度扩弓导致骨开窗。
- 弹簧类附件:包括双曲唇弓(内收前牙)、分裂簧(扩大牙弓)、推簧(牙齿间加力),通过调整弹簧长度或形态施加力量,如推簧压缩后放置于牙齿间,每2-3周更换一次。
隐形矫治加力
隐形矫治器(如隐适美、时代天使)通过一系列透明牙套实现,加力方式与传统矫治器差异显著:
- 牙套预设加力:每副牙套通过3D打印预设0.25-0.3mm的牙齿移动量,患者更换牙套(通常1-2周一副)即完成一次加力,无需医生手动调整,力量持续且柔和。
- 附件辅助:在牙齿表面粘贴树脂附件(如小凸起、凹陷),增强牙套与牙齿的摩擦力,辅助复杂移动(如旋转、压低),附件形态需根据移动类型个性化设计。
- 橡皮圈配合:对于颌间关系调整(如Ⅱ类、Ⅲ类错颌),需额外佩戴隐形矫治专用橡皮圈,通过牙套上的牵引钩实现力量传递,每日佩戴22小时以上。
微种植体支抗加力
微种植体(如支钉)植入牙槽骨,作为绝对支抗对目标牙施加精准力量,适用于磨牙前移、颌间牵引增强等:

- 植入与加力:局部麻醉下植入微种植体(直径1.2-2.0mm,长度6-12mm),待骨结合(1-2个月)后,通过结扎丝、弹性链或拉簧连接种植体与牙齿,产生100-300g的持续力。
- 优势:支抗稳定,避免牙齿移动干扰,力量可直接作用于目标牙,缩短治疗周期。
不同矫治器加力特点对比
| 矫治器类型 | 加力原理 | 操作方式 | 复诊频率 | 适用场景 |
|---|---|---|---|---|
| 传统固定矫治器 | 弓丝形变、弹性牵引 | 更换弓丝、调整曲、结扎 | 4-6周 | 复杂错颌、牙齿旋转、间隙关闭 |
| 活动矫治器 | 螺旋、弹簧机械加力 | 旋转螺旋、调整弹簧 | 2-4周 | 早期矫治、简单牙弓调整 |
| 隐形矫治器 | 牙套预设移动、附件辅助 | 更换牙套、佩戴橡皮圈 | 1-2周 | 轻中度错颌、美观需求高 |
| 微种植体支抗 | 骨结合后直接施力 | 连接种植体与牙齿 | 4-8周(调整力) | 需强支抗、颌间关系调整 |
加力注意事项
- 避免暴力加力:力量过大会导致牙齿疼痛加剧、牙根吸收(根尖1/3处最常见)或骨组织坏死,需通过X光片定期监测牙根情况。
- 个体化调整:根据患者反馈(疼痛程度、咬合变化)及临床检查(牙齿移动速度、支抗稳定性)动态调整加力方案,例如疼痛明显时可延长加力间隔。
- 患者配合:传统矫治中橡皮圈、隐形矫治器佩戴时间直接影响效果,需加强宣教,确保患者依从性。
相关问答FAQs
Q1:正畸加力后疼痛正常吗?如何缓解?
A:正畸加力后1-3天出现轻微疼痛、酸胀是正常现象,因牙齿受力后牙周组织发生改建,压力侧释放炎症介质所致,通常3-5天逐渐缓解,可采取以下措施:① 避免咬硬物(如坚果、牛肉干),选择温凉、软食(如粥、面条);② 用冰袋冷敷面部(每次15分钟,间隔1小时),减轻局部炎症;③ 必要时遵医嘱服用布洛芬等非甾体抗炎药,若疼痛持续超过1周或加剧,需及时复诊排除加力过大、托槽刺激等问题。
Q2:隐形矫治和传统矫治的加力方式有什么区别?
A:隐形矫治与传统矫治的加力原理、操作方式及患者参与度差异显著:① 加力原理:隐形矫治通过每副牙套预设的“连续、轻柔”力量实现牙齿移动,无需医生手动调整;传统矫治则依赖弓丝弯制、曲的打开/关闭等“阶段性、精准”加力,需医生操作。② 操作方式:隐形矫治患者通过自行更换牙套完成加力,复诊仅需检查进度;传统矫治需医生在口内调整弓丝、结扎,复诊操作复杂。③ 舒适度:隐形矫治器光滑,摩擦力小,疼痛感较轻;传统矫治器托槽、弓丝可能刺激黏膜,需使用正畸蜡缓解。④ 适用范围:隐形矫治适用于轻中度错颌(如简单拥挤、前突),复杂病例(如严重旋转、骨性畸形)仍需传统矫治联合微种植体等支抗。
