正畸治疗中,“推磨牙向前”是一种常见的非拔牙矫治技术,指通过特定的生物力学装置,将上下颌后牙(主要是第一磨牙或第二磨牙)向远中(即牙弓后方)移动,从而为前牙区的拥挤或前突提供间隙,改善牙弓长度与牙齿排列的协调性,该技术核心在于通过磨牙的远中移动,实现“以空间换排列”的矫治目标,尤其适用于部分轻中度牙列拥挤、牙弓长度不足的患者,既避免了拔牙带来的创伤,又能维持牙弓的完整性,在临床应用中具有独特优势。
推磨牙向前的核心机制与常用装置
推磨牙向前的原理基于牙齿移动的生物力学规律:当持续、轻柔的力作用于磨牙时,牙周组织会发生改建——压力侧牙槽骨吸收,牵引侧牙槽骨沉积,从而使牙齿整体向远中移动,临床中常用的装置可分为固定式、活动式及种植支抗三类,各有特点:

固定式装置
推磨牙辅弓:固定在矫治器(如方丝弓矫治器、直丝弓矫治器)上的镍钛丝或不锈钢丝,通过弯制“Ω”形曲或“T”形曲,利用弹性力或弹力圈提供持续的远中移动力,优点是固位稳定,患者依从性低;缺点是力量控制需精细,易出现磨牙倾斜。
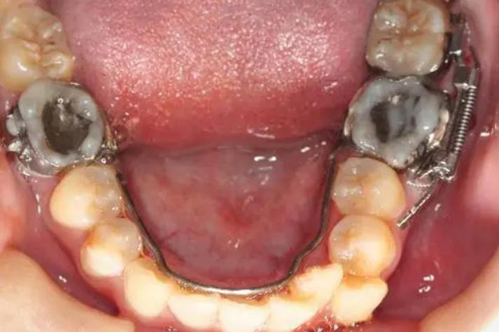
滑动杆装置:由横腭杆、舌弓及滑动杆组成,通过滑动杆的滑动带动磨牙远中移动,常用于上颌磨牙,可同时控制磨牙的垂直向位置,防止伸长或压低。
活动式装置
活动矫治器附推磨牙附件:如改良式Hawley矫治器,在磨牙区设计弹性牵引钩或弹簧,利用患者的佩戴时间(每天需14小时以上)提供间歇性力量,优点是舒适、可自行摘戴;缺点是力量较弱,依赖患者配合,适用于轻度拥挤。
可摘式推磨牙矫治器:如Jasper Jumper装置,通过弹性连接体连接磨牙与前牙区,利用颌骨的肌肉力量间接推动磨牙,适合青少年,可利用生长发育潜力,但需定期调整。

种植支抗装置
微种植钉(支抗钉):直径1.2-2.0mm的钛种植体,植入于上下颌骨(如上颌颧牙槽嵴、下颌外斜线),通过牵引钩直接施加远中力于磨牙,优点是提供“绝对支抗”,磨牙移动控制精准(可避免倾斜),移动效率高;缺点是有创操作,需患者耐受种植手术,费用较高。
适用人群与禁忌症
推磨牙向前并非适用于所有牙列拥挤患者,需通过全面的临床检查与影像学评估(如X线头影测量、全景片)判断,具体如下:
适应症
- 牙列拥挤度:轻中度拥挤(前牙区拥挤度4-6mm),磨牙前移后可解除拥挤,无需拔牙。
- 磨牙关系:中性或轻度近中磨牙关系(磨牙尖对磨牙尖),需通过磨牙远中移动调整为中性关系。
- 颌骨与牙弓:牙弓长度轻度不足,但上下颌骨发育基本协调(ANB角正常,无明显颌骨畸形)。
- 面部软组织:患者面部软组织协调,无明显的凸面型或凹面型,磨牙移动后不会破坏面型平衡。
- 牙周条件:牙周健康,无牙槽骨吸收、牙龈炎等疾病,可承受牙齿移动的生物学应力。
禁忌症
- 严重拥挤:前牙区拥挤度>8mm,磨牙前移后仍无法解除拥挤,或可能导致磨牙过度远移、咬合关系紊乱。
- 骨性错颌:II类或III类骨性畸形(如ANB角>5°或<0°),单纯磨牙移动无法解决颌骨不调,需配合正颌手术。
- 牙周疾病:活动性牙周炎、牙槽骨吸收>根长1/3,牙齿移动可能加重牙周损伤。
- 依从性差:无法按时复诊、佩戴装置(如活动矫治器),或口腔卫生维护不佳者。
表:推磨牙向前适用人群的评估指标
| 评估项目 | 适应标准 | 禁忌标准 |
|------------------|-----------------------------------|-----------------------------------|
| 前牙区拥挤度 | 4-6mm(轻度至中度) | >8mm(重度) |
| 磨牙关系 | 中性或轻度近中(Angle I类或II类1分类) | 严重近中或远中(Angle II类2分类、III类) |
| ANB角(骨性关系)| 0°-4°(正常) | >5°(II类骨性)或<0°(III类骨性) |
| 牙周状况 | 牙槽骨吸收<根长1/3,无牙龈出血 | 牙槽骨吸收>根长1/3,活动性牙周炎 |
| 患者年龄 | 青少年或成年人(颌骨已停止发育) | 乳牙列期(颌骨发育未完成) |
临床操作流程与注意事项
推磨牙向前的治疗需分阶段进行,严格把控每个环节的质量,以确保矫治效果与安全性。

诊断与设计
- 临床检查:记录患者牙列拥挤度、磨牙关系、覆颌覆盖、面部对称性等,拍摄全景片(评估牙根、牙槽骨)、头颅侧位片(测量ANB角、SN-Mg角、牙弓长度等)。
- 方案制定:根据检查结果,确定是否采用推磨牙向前技术,选择合适的装置(如青少年可选活动式,成年人优选种植支抗),计算磨牙需远移的距离(通常为3-5mm),并预测治疗后面型变化。
装置粘接与加力
- 固定式/种植支抗装置:在粘接矫治器或植入种植钉后,安装推磨牙附件(如辅弓、牵引钩),首次加力时力量不宜过大(约100-200g),避免牙周组织损伤。
- 活动式装置:指导患者正确佩戴(如睡前摘下清洁),每次复诊时检查装置磨损情况,调整弹簧或牵引力。
治疗中监测
- 定期复诊:固定式装置每4-6周复诊1次,活动式装置每2-4周复诊1次,拍摄全景片观察磨牙移动情况(是否倾斜、牙根平行度)。
- 调整方案:若磨牙出现倾斜,可通过弯制“停止曲”或增加“抗倾斜装置”纠正;若移动缓慢,可调整加力方式或更换支抗类型(如从活动式改为种植支抗)。
保持阶段
磨牙远移至目标位置后,需保持6-12个月,防止复发,保持器可选择 Hawley 保持器(活动式)或固定式保持丝(粘接于磨牙牙面),同时强调夜间佩戴的重要性。
注意事项
- 口腔卫生:佩戴固定装置或种植钉时,需使用正畸牙刷、冲牙器清洁,避免食物残渣堆积导致牙龈炎、种植体周围炎。
- 饮食禁忌:避免过硬、黏性食物(如坚果、口香糖),防止装置脱落或种植钉松动。
- 疼痛管理:加力后1-3天可能出现牙齿酸痛,可服用布洛芬等止痛药,若疼痛持续或加重需及时复诊。
效果与局限性
优势
- 避免拔牙:保留天然牙,减少治疗创伤,尤其对拔牙恐惧的患者友好。
- 维持牙弓完整性:磨牙移动后,牙弓长度增加,前牙排列整齐,可改善咀嚼功能与发音。
- 改善面型:对于轻度前突患者,磨牙前移可减少前牙代偿性唇倾,使唇部丰满度更自然。
局限性
- 拥挤度限制:仅适用于轻中度拥挤,严重拥挤仍需拔牙。
- 时间成本:磨牙移动速度较慢(每月约1-2mm),治疗时间可能延长至2-3年。
- 复发风险:若保持不当或牙齿移动过度,可能出现磨牙前移复发,需严格保持。
相关问答FAQs
Q1:推磨牙向前适合所有牙列拥挤的患者吗?
A:并非所有牙列拥挤患者都适合,该技术主要适用于轻中度拥挤(4-6mm)、磨牙关系中性或轻度近中、颌骨发育基本协调的患者,对于严重拥挤(>8mm)、骨性错颌(如II类/III类骨性畸形)或牙周疾病患者,推磨牙向前无法解决问题,甚至可能加重病情,需通过拔牙矫治或正颌手术矫正,是否适合需通过专业正畸医生的全面检查(包括临床检查、X线头影测量等)判断。
Q2:推磨牙向前治疗过程中牙齿酸痛正常吗?如何缓解?
A:加力后1-3天出现牙齿酸痛是正常现象,属于牙齿移动过程中的生理反应,通常在1周内逐渐缓解,这是因为牙周组织受到轻微压力,引发局部炎症反应,导致牙髓敏感性增加,缓解方法包括:① 避免用患侧咀嚼硬食;② 可服用布洛芬、对乙酰氨基酚等非处方止痛药(需遵医嘱);③ 用温盐水漱口,保持口腔卫生,若疼痛持续超过1周,或出现牙齿松动、咬合疼痛等异常情况,需及时复诊检查,排除装置力量过大或牙周损伤等问题。
