种植牙是将纯钛或钛合金制成的种植体(类似人工牙根)通过外科手术植入人体颌骨内,待其与骨组织结合后,再安装基台和牙冠,从而恢复牙齿功能,种植牙具体种在什么地方呢?核心答案是“颌骨内”,但根据缺牙位置、骨量条件等不同,种植体的植入细节会有差异,需结合口腔解剖结构和患者具体情况综合判断。
主要植入位置:牙槽骨(颌骨的牙槽突)
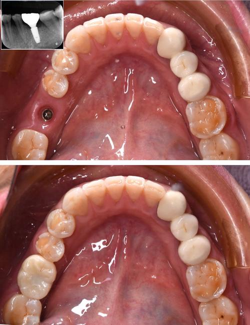
种植牙的“土壤”是缺牙区域的牙槽骨(即颌骨包裹牙齿的突起部分),牙槽骨的厚度、高度、密度直接影响种植的成功率和稳定性,不同位置的牙槽骨特点如下:

上颌牙槽骨
上颌骨位于鼻腔下方,牙槽骨与上颌窦(鼻窦底部)相邻,骨密度相对下颌较低,且血供稍弱,因此种植时需更关注骨量是否充足。
- 上颌前牙区(门牙、侧切牙):此区域牙槽骨较薄(厚度约1-3mm),但对美观要求高,种植体植入需避开鼻腔底,方向尽量与邻牙平行,避免穿通骨壁,若骨量不足,可能需进行植骨或引导骨再生术。
- 上颌后牙区(磨牙区):靠近上颌窦,牙槽骨高度常因缺牙后吸收而变低,若种植体尖端距离上颌窦底小于1mm,需进行“上颌窦提升术”(分为内提升和外提升),通过向窦内植入骨粉,增加骨高度,确保种植体稳定。
下颌牙槽骨
下颌骨骨质致密,骨密度较高,血供丰富,种植成功率相对较高,但需警惕重要的解剖结构——下颌神经管。
- 下颌前牙区:牙槽骨较厚实,植入空间充足,方向易于控制,是种植难度较低的区域之一。
- 下颌后牙区:下方有下颌神经管(内含下牙槽神经血管束),种植体植入时需精确避开,避免损伤导致下唇麻木,术前需通过CBCT(锥形束CT)测量神经管位置和骨高度,确保种植体尖端距离神经管至少2mm。
特殊情况下的植入位置调整
并非所有缺牙都能直接在“原位”种植,若骨量严重不足或解剖结构异常,需调整植入位置或进行骨增量:
- 骨量不足:对于牙槽骨宽度/高度不达标的情况,可采取“植骨术”(自体骨、人工骨)或“骨牵引成骨术”,在植入种植体前创造足够的骨空间。
- 即刻种植:在拔牙后立即植入种植体,此时种植体位于拔牙窝内,需严格把控拔牙窝形态与种植体匹配度,避免唇侧骨壁穿孔。
- 全口/半口种植:针对多颗或全口缺牙,可采用“All-on-4”等技术,种植体植入颌骨前部(避开下颌神经管)或颧骨(颧种植),通过倾斜角度实现即刻负重,减少种植体数量。
不同区域种植牙植入位置对比
| 区域 | 牙槽骨特点 | 种植注意事项 | 常见风险及应对 |
|---|---|---|---|
| 上颌前牙区 | 骨薄,对美观要求高 | 避开鼻腔底,控制植入角度 | 骨吸收→需植骨或选择细直径种植体 |
| 上颌后牙区 | 骨疏松,近上颌窦 | 评估上颌窦高度,必要时行上颌窦提升 | 上颌窦穿孔→提升术修补 |
| 下颌前牙区 | 骨致密,厚度充足 | 方向易控制,植入空间大 | 风险低,术后愈合快 |
| 下颌后牙区 | 骨厚实,但邻近下颌神经管 | CBCT定位神经管,确保安全距离 | 损伤神经管→避免植入过深或调整角度 |
种植牙的核心植入位置是“缺牙区域的牙槽骨”,但具体需结合上颌/下颌、前牙/后牙的解剖差异、骨量条件及患者需求综合判断,术前需通过口腔检查、CBCT、模型分析等制定个性化方案,确保种植体植入位置既符合生物力学要求,又能长期稳定行使功能,同时规避神经、血管等解剖风险。

相关问答FAQs
Q1:种牙一定要种在骨头里吗?可以种在牙龈上吗?
A:不行,种植牙的核心原理是“骨结合”,即种植体与牙槽骨形成牢固的连接,才能承受咀嚼力,若仅种在牙龈上(类似活动假牙的基托),无法稳定固定,容易松动、脱落,且无法有效刺激骨组织,长期会导致牙槽骨继续吸收,无法达到功能修复效果。
Q2:缺牙后多久种牙?位置会变化吗?
A:一般建议拔牙后3-6个月种牙,此时拔牙窝内的骨组织已初步愈合,牙槽骨吸收趋于稳定,种植体植入位置更精准,若拖延时间过长,缺牙区牙槽骨会因失去咀嚼刺激而快速吸收(宽度、高度均减少),可能导致原本充足的骨量不足,需植骨或调整种植位置,增加治疗难度和费用。

