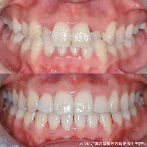
后牙咬合不齐是口腔正畸中常见的错颌畸形类型,指上下颌后牙(磨牙和前磨牙)在咬合时出现排列异常、咬合关系紊乱等问题,可能表现为个别后牙反颌、锁颌、深覆颌、深覆盖、牙齿扭转或拥挤等,这种异常不仅影响咀嚼功能,导致食物研磨效率下降,长期还可能引发颞下颌关节紊乱、牙周组织损伤、咬肌疲劳甚至头痛等问题,因此需要及时干预,局部正畸作为针对此类问题的精准治疗手段,通过聚焦异常后牙的移动,在最小化创伤的前提下重建咬合平衡,已成为临床常用的解决方案。
后牙咬合不齐的常见原因与危害
后牙咬合不齐的成因复杂,可分为先天与后天两大类,先天因素包括颌骨发育异常(如下颌骨过短或上颌骨过长导致后牙反颌)、牙齿数目异常(如多生牙或先天缺失牙)、牙齿形态异常(如上颌后牙颊尖过大或下颌后牙舌尖过高等);后天因素则更常见,如乳牙早失导致邻牙移位、替牙障碍(如恒牙萌出顺序异常)、不良口腔习惯(如长期单侧咀嚼、夜磨牙)、牙周病导致的牙齿松动移位,以及青少年时期因扁桃体肥大等呼吸道问题导致的口呼吸习惯,均可能引发后牙咬合关系紊乱。

其危害不容忽视:咀嚼功能下降会导致食物未被充分研磨就进入胃肠道,增加消化系统负担;咬合紊乱使牙齿受力不均,长期可能引发牙周创伤(如牙槽骨吸收、牙龈萎缩)、牙齿磨损(如牙釉质磨耗、牙本质敏感);后牙作为支撑颌间距离的关键,咬合异常还可能改变面部垂直高度,导致颞下颌关节(TMJ)负荷过重,引发关节弹响、疼痛甚至张口受限。
局部正畸的定义与优势
局部正畸是指在不需要全口牙齿移动的情况下,仅针对个别或少数后牙进行精准调整的正畸治疗,属于“微创正畸”的范畴,与传统全口正畸相比,其核心优势在于:
- 目标明确:聚焦异常后牙,解决咬合问题,无需改变其他正常牙齿的位置;
- 创伤小:对牙根、牙周组织的刺激更小,治疗过程中不适感较轻;
- 周期短:通常6-12个月即可完成,相比全口正畸(2-3年)大幅缩短时间;
- 费用低:仅涉及局部牙齿移动,矫治器使用量减少,治疗成本显著降低;
- 美观影响小:可选择舌侧矫治器或隐形矫治器,避免“钢牙”对外观的影响。
局部正畸的适用人群与禁忌症
适用人群
- 个别后牙反颌、锁颌(如上颌后牙舌倾或下颌后牙颊倾导致无法咬合);
- 后牙深覆颌(上后牙盖过下后牙牙冠过多)、深覆盖(上后牙牙冠边缘超出下后牙边缘过多);
- 后牙段拥挤或间隙(因个别牙齿移位导致排列不齐);
- 全口咬基本正常,仅存在局部后牙咬合异常者;
- 因牙周病、外伤等导致的继发性后牙咬合紊乱,且牙周条件稳定者。
禁忌症
- 严重颌骨发育畸形(如上颌前突、下颌后缩等需配合正颌手术者);
- 活动性牙周炎、牙槽骨吸收超过根1/2者;
- 口腔卫生极差,无法配合正畸清洁要求者;
- 全口牙齿普遍严重拥挤,需整体排齐者;
- 严重牙体缺损(如大面积龋坏、无保留价值的残根)。
局部正畸的常用方法与矫治器选择
针对后牙咬合不齐的具体类型,局部正畸可选择多种矫治技术,以下为临床常用方法及其特点对比:
| 矫治方法 | 原理 | 适用情况 | 优点 | 缺点 |
|---|---|---|---|---|
| 固定矫治器 | 通过粘接在牙齿上的托槽和弓丝施加持续、精准的力,移动后牙 | 个别后牙反颌、锁颌、深覆颌、扭转 | 控制力精准,移动效率高,适用范围广 | 口腔异物感强,需注意清洁,可能影响美观 |
| 活动矫治器 | 利用卡环固位于健康邻牙,通过弹簧、颌垫等附件调整后牙位置 | 后牙段轻度拥挤、间隙、反颌(青少年) | 可自行摘戴,便于清洁,费用较低 | 稳定性较差,复杂病例效果有限,依赖患者配合 |
| 隐形矫治器 | 利用3D打印技术定制透明牙套,通过每副牙套的微量移动调整后牙 | 后牙轻度反颌、深覆颌、拥挤(成人) | 美观舒适,可自行摘戴,便于清洁 | 费用较高,需严格佩戴(每天20小时以上),重度错颌效果有限 |
| 微种植体支抗 | 在颌骨内植入微型种植体作为“支抗点”,通过牵引装置移动后牙,避免支抗牙移位 | 后牙严重近中/远中移位、需要大幅度移动 | 支抗强大,可精准控制牙齿三维移动 | 需微创手术植入种植体,存在感染风险 |
局部正畸的治疗步骤
-
术前检查与评估
通过口腔检查、模型分析、X线片(根尖片、曲面断层片、CBCT)等明确后牙咬合异常的类型、程度及病因,判断是否存在颌骨发育问题或牙周疾病,制定个性化方案。
(图片来源网络,侵删) -
方案设计
根据检查结果,选择合适的矫治器(如固定矫治器+微种植体支抗、隐形矫治器等),明确目标(如解除反颌、调整咬合平面、关闭间隙等),并与患者沟通治疗周期、费用及预期效果。 -
矫治器粘戴/佩戴
- 固定矫治器:在目标后牙粘接托槽,弯制个性化弓丝(如镍钛圆丝、不锈钢方丝),通过结扎丝或橡皮圈固定;
- 活动矫治器:在模型上弯制弹簧、颌垫等附件,试戴调整固位力;
- 隐形矫治器:通过计算机模拟牙齿移动路径,制作系列牙套,指导患者按顺序佩戴;
- 微种植体支抗:在局部麻醉下植入种植体(通常植入上颌后牙区牙槽骨或下颌外斜线),等待2-4周骨结合后开始加力。
-
加力与复诊
固定矫治器每4-6周复诊一次,调整弓丝或更换橡皮圈;隐形矫治器每2周更换一副牙套,每6-8周复诊监控进展;微种植体支抗每4周加力一次,通过牵引钩或橡皮链施加牵引力,此阶段需重点观察牙齿移动是否按计划进行,有无疼痛、软组织损伤等并发症。 -
保持与随访
矫治完成后,拆除矫治器,佩戴保持器(如 Hawley 保持器、透明压膜保持器或固定式保持丝),防止后牙复发,保持时间通常为6-12个月,期间每3个月复诊一次,评估咬合稳定性及牙周健康状况。
(图片来源网络,侵删)
局部正畸的注意事项
- 口腔卫生维护:局部正畸仍需严格清洁,尤其是固定矫治器周围,使用正畸牙刷、牙缝刷、冲牙器等,避免食物残留导致龋齿或牙周炎;
- 饮食调整:避免过硬(如坚果、骨头)、黏性(如口香糖、软糖)食物,防止矫治器脱落或牙齿损伤;
- 疼痛管理:初戴矫治器或加力后3-5天可能出现轻微疼痛,可遵医嘱服用非甾体抗炎药(如布洛芬),或用温盐水漱口缓解;
- 并发症处理:若出现托槽脱落、弓丝刺伤黏膜或牙齿松动加剧,需及时复诊处理;
- 定期复诊:严格按医嘱复诊,避免因加力间隔过长影响治疗效果或导致牙齿移动异常。
相关问答FAQs
Q1:后牙咬合不齐一定要做全口正畸吗?
A1:并非所有后牙咬合不齐都需要全口正畸,若仅存在个别或少数后牙异常,且全口其他牙齿咬合关系基本正常,局部正畸是更优选择,全口正畸适用于牙齿普遍拥挤、咬合紊乱复杂或伴有颌骨发育异常的情况,而局部正畸通过精准调整后牙,能在更短时间、更低创伤下解决问题,具体需经医生检查后判断。
Q2:局部正畸需要多久?效果能维持多久?
A2:局部正畸的治疗周期通常为6-12个月,具体时间取决于咬合异常的严重程度、所选矫治方法及患者配合度(如隐形矫治器是否按佩戴要求使用),治疗后佩戴保持器是维持效果的关键,一般需保持6-12个月,之后可根据情况夜间长期佩戴,若保持期间注意口腔卫生、避免不良习惯(如夜磨牙),效果可长期稳定。
